相关产品推荐更多 >

E Tag Rabbit pAb, AP conjugated(bs-2116R-AP)-100ul
¥2980
Fbx32 Rabbit pAb, PE-Cy7 conjugated(bs-2591R-PE-Cy7)-100ul
¥2980
Parvalbumin Rabbit pAb, PerCP-Cy5.5 conjugated(bs-1299R-PerCP-Cy5.5)-100ul
¥2980
Tyrosine Hydroxylase Rabbit pAb, Cy5 conjugated(bs-0016R-Cy5)-100ul
¥2980
PPP4C Rabbit pAb(bs-0490R)-50ul/100ul/200ul
¥1180
万千商家帮你免费找货
0 人在求购买到急需产品
- 详细信息
- 文献和实验
- 技术资料
- 应用范围:
产品信息以Bioss网站为准
- 规格:
50ul/100ul/200ul
| 规格: | 50ul | 产品价格: | ¥1180.0 |
|---|---|---|---|
| 规格: | 100ul | 产品价格: | ¥1980.0 |
| 规格: | 200ul | 产品价格: | ¥2800.0 |
| 产品编号 | bs-2047R |
| 英文名称 | CPT1A Rabbit pAb |
| 中文名称 | 肉毒碱棕榈酰基转移酶1A抗体 |
| 英文别名 | CPT 1; CPT1A; CPTI-L; CPT1-L; carnitine palmitoyl transferase 1; Carnitine O-palmitoyltransferase 1, liver isoform; CPT I; Carnitine palmitoyltransferase 1A; carnitine O-palmitoyltransferase 1, liver isoform isoform 1; CPT1A_HUMAN. |
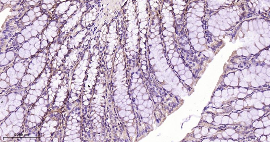
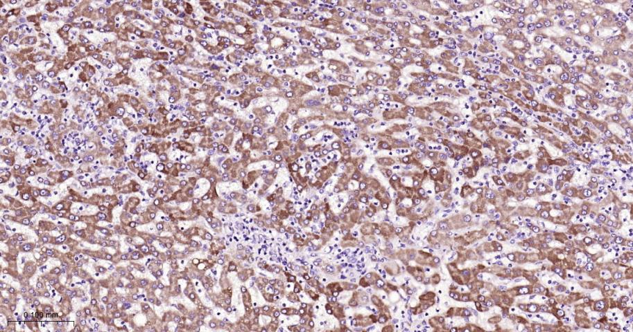
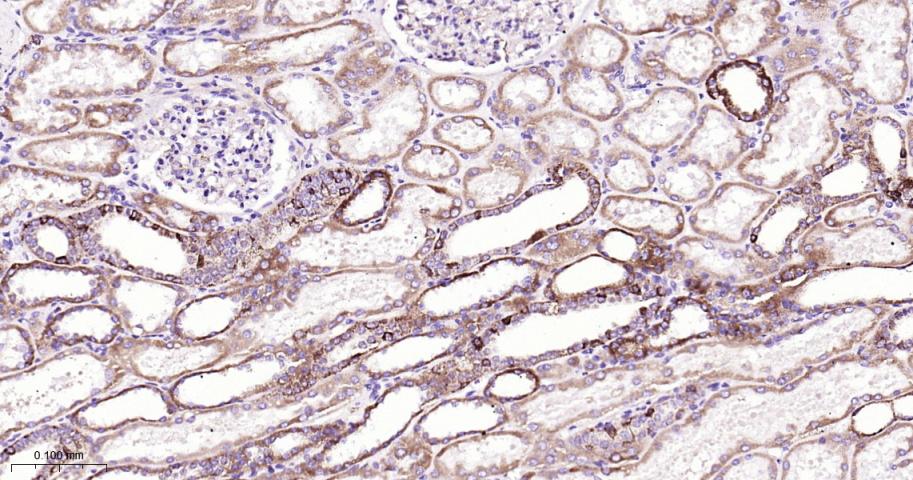
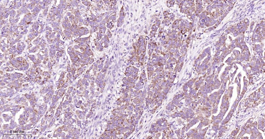
| 产品应用 | IHC-P=1:100-500, IHC-F=1:100-500, IF=1:100-500 Not yet tested in other applications. |
| 交叉反应 | Human, Mouse, Rat |
| 抗体来源 | Rabbit |
| 免疫原 | KLH conjugated synthetic peptide derived from human CPT1A |
| 亚型 | IgG |
| 性状 | Liquid |
| 纯化方法 | affinity purified by Protein A |
| 克隆类型 | Polyclonal |
| 理论分子量 | 86 kDa |
| 浓度 | 1mg/ml |
| 储存液 | 0.01M TBS (pH7.4) with 1% BSA, 0.02% Proclin300 and 50% Glycerol. |
| 研究领域 | Cancer > Cancer Metabolism > Metabolic signaling pathway > Metabolism of lipids and lipoproteins Cardiovascular > Lipids / Lipoproteins > Fatty Acids > Metabolism Metabolism > Pathways and Processes > Metabolic signaling pathways > Lipid and lipoprotein metabolism > Fatty acids Metabolism > Pathways and Processes > Metabolic signaling pathways > Lipid and lipoprotein metabolism > Lipid metabolism Metabolism > Pathways and Processes > Mitochondrial Metabolism > Mitochondrial markers Metabolism > Pathways and Processes > Redox metabolism > Fatty acid oxidation Metabolism > Types of disease > Obesity Signal Transduction > Metabolism > Lipid metabolism Signal Transduction > Metabolism > Mitochondrial Tags & Cell Markers > Subcellular Markers > Organelles > Mitochondria |
| 亚基 | Homohexamer and homotrimer. Identified in a complex that contains at least CPT1A, ACSL1 and VDAC1. Also identified in complexes with ACSL1 and VDAC2 and VDAC3. |
| 亚细胞定位 | Mitochondrion outer membrane; Multi-pass membrane protein. |
| 组织特异性 | Strong expression in kidney and heart, and lower in liver and skeletal muscle. |
| 相似性 | Belongs to the carnitine/choline acetyltransferase family. |
| 功能 | Catalyzes the transfer of the acyl group of long-chain fatty acid-CoA conjugates onto carnitine, an essential step for the mitochondrial uptake of long-chain fatty acids and their subsequent beta-oxidation in the mitochondrion. Plays an important role in triglyceride metabolism. |
| 保存条件 | Shipped at 4℃. Store at -20℃ for one year. Avoid repeated freeze/thaw cycles. |
| 注意事项 | This product as supplied is intended for research use only, not for use in human, therapeutic or diagnostic applications. |
| 背景资料 | The mitochondrial oxidation of long-chain fatty acids is nitiated by the sequential action of carnitine palmitoyltransferase I (which is located in the outer membrane and is detergent-labile) and carnitine palmitoyltransferase II (which is located in the inner membrane and is detergent-stable), together with a carnitine-acylcarnitine translocase. CPT I is the key enzyme in the carnitine-dependent transport across the mitochondrial inner membrane and its deficiency results in a decreased rate of fatty acid beta-oxidation. Alternatively spliced transcript variants encoding different isoforms have been found for this gene. [provided by RefSeq, Jul 2008]. |
| 应用 | 推荐稀释比例 |
| {IHC-P} | {1:100-500} |
| {IHC-F} | {1:100-500} |
| {IF} | {1:100-500} |







风险提示:丁香通仅作为第三方平台,为商家信息发布提供平台空间。用户咨询产品时请注意保护个人信息及财产安全,合理判断,谨慎选购商品,商家和用户对交易行为负责。对于医疗器械类产品,请先查证核实企业经营资质和医疗器械产品注册证情况。
文献和实验[IF={{ 7.425 }}] {Kaiyang Chen. et al. Oligosaccharide and short-chain fatty acid: A double-edged sword in obese mice by regulating food intake and fat synthesis. FOOD RES INT. 2022 Sep;159:111619} {WB} {Mouse}
[IF={{ 7.3 }}] {Yang Haoqing. et al. Inhibition of miR-615-3p enhances dentinogenesis in scaps via PVT1-mediated mitochondrial regulation. STEM CELL RES THER. 2025 Dec;16(1):1-20} {IHC} {Rabbit}
[IF={{ 6.7 }}] {Yan Zhang. et al. Pterosin B improves cognitive dysfunction by promoting microglia M1/M2 polarization through inhibiting Klf5/Parp14 pathway. PHYTOMEDICINE. 2024 Oct;:156152} {WB} {Mouse}
[IF={{ 5.4 }}] {Chunqiu Fang. et al. Tiaogan Jiejiu Tongluo Formula attenuated alcohol-induced chronic liver injury by regulating lipid metabolism in rats. J ETHNOPHARMACOL. 2023 Dec;317:116838} {WB} {Rat}
[IF={{ 4.55 }}] {Fan, Chen-Yu, et al. "Betaine supplementation protects against high fructose-induced renal injury in rats." The Journal of Nutritional Biochemistry (2013).} {WB} {="Rat"}
= NAL), appears to form upon oxidative cyclization of the nonfluorescent 2:1 lysine-HNE Michael adduct-Schiff base cross-link (Scheme 1). Polyclonal antibody (PAb) to the NAL-HNE fluorophore was raised in rabbit and found to be highly specific
GE Healthcare Benzamidine Sepharose™ 6B is p-aminobenzamidine covalently attached to Sepharose 6B by the epoxy coupling method. p-Aminobenzamidine (PAB), is a synthetic inhibitor of trypsin-like serine protease. Trypsin and trypsin
Nucleic Acid Programmable Protein Arrays: Versatile Tools for Array‐Based Functional Protein Studies
.g., Sigma) 50 mg/ml bis‐sulfosuccinimdylsuberate (BS3 ;Pierce, cat. no. PI 21580) in dimethylsulfoxide (DMSO) 5 mg/ml
技术资料暂无技术资料 索取技术资料






