相关产品推荐更多 >

Bid Rabbit pAb, AP conjugated(bs-24248R-AP)-100ul
¥2980
Snake poison Protein Rabbit pAb(bs-0763R)-50ul/100ul/200ul
¥1180
Phospholipase C beta 1 Rabbit pAb, PE conjugated(bs-6976R-PE)-100ul
¥2980
Growth hormone receptor Rabbit pAb, PE-Cy5 conjugated(bs-0654R-PE-Cy5)-100ul
¥2980
RFIP3 Rabbit pAb, Biotin conjugated(bs-16089R-Bio)-100ul
¥2980
万千商家帮你免费找货
0 人在求购买到急需产品
- 详细信息
- 文献和实验
- 技术资料
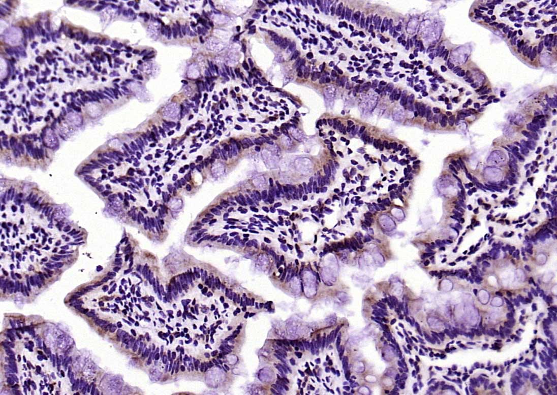
- 应用范围:
产品信息以Bioss网站为准
- 规格:
50ul/100ul/200ul
| 规格: | 50ul | 产品价格: | ¥1180.0 |
|---|---|---|---|
| 规格: | 100ul | 产品价格: | ¥1980.0 |
| 规格: | 200ul | 产品价格: | ¥2800.0 |
| 产品编号 | bs-0689R |
| 英文名称 | PEPT1 Rabbit pAb |
| 中文名称 | 肠道肽转运蛋白1/小肽转运蛋白1抗体 |
| 英文别名 | SLC15A1; Oligopeptide transporter, small intestine isoform; Peptide transporter 1; Intestinal H(+)/peptide cotransporter; Solute carrier family 15 member 1(SLC15A1); +peptide cotransporter; HPECT1; HPEPT1; Human peptide transporter(HPEPT1) mRNA complete cds; Intestinal H; Oligopeptide transporter small intestine isoform; PEPT1; Peptide transporter 1; Solute carrier family 15(oligopeptide transporter) member 1; S15A1_HUMAN. |
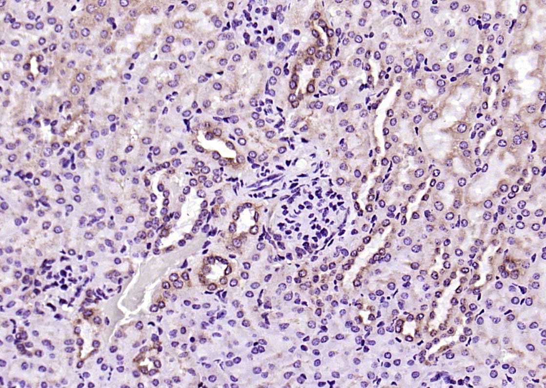
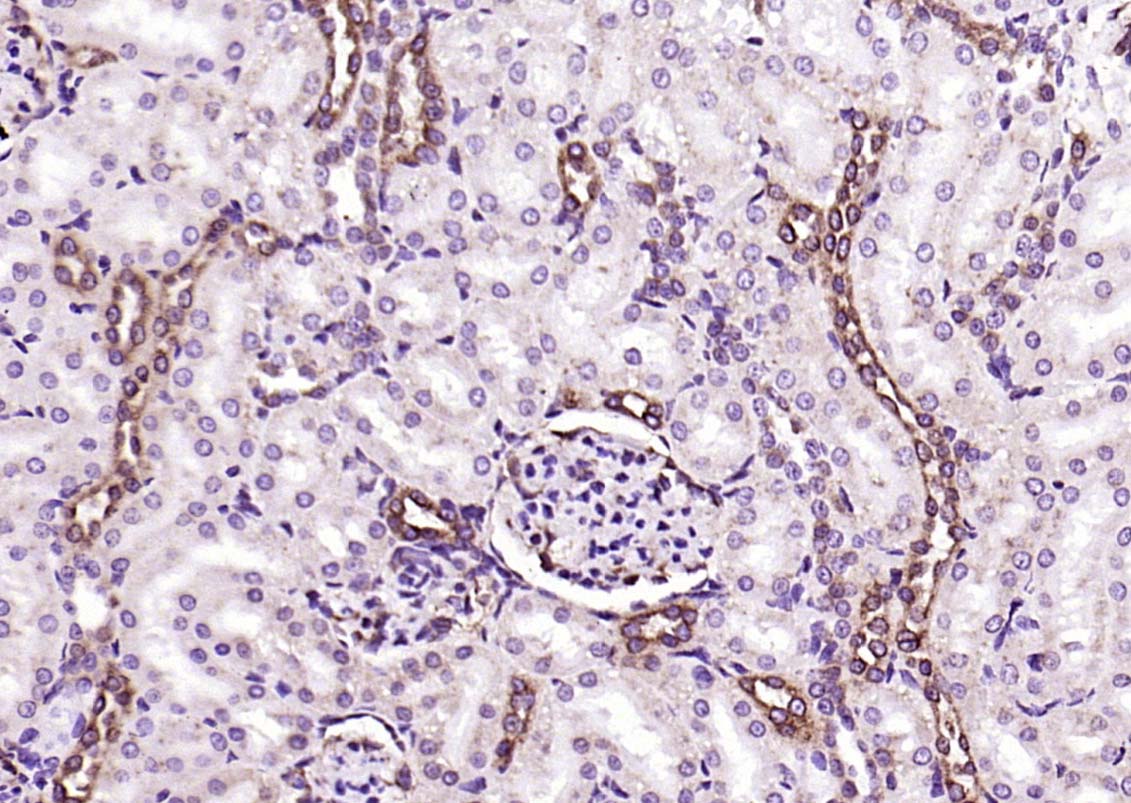
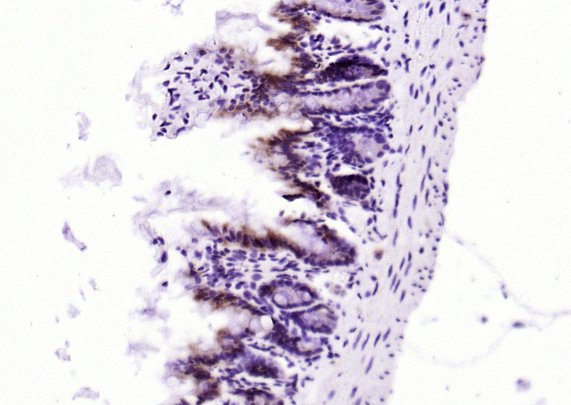
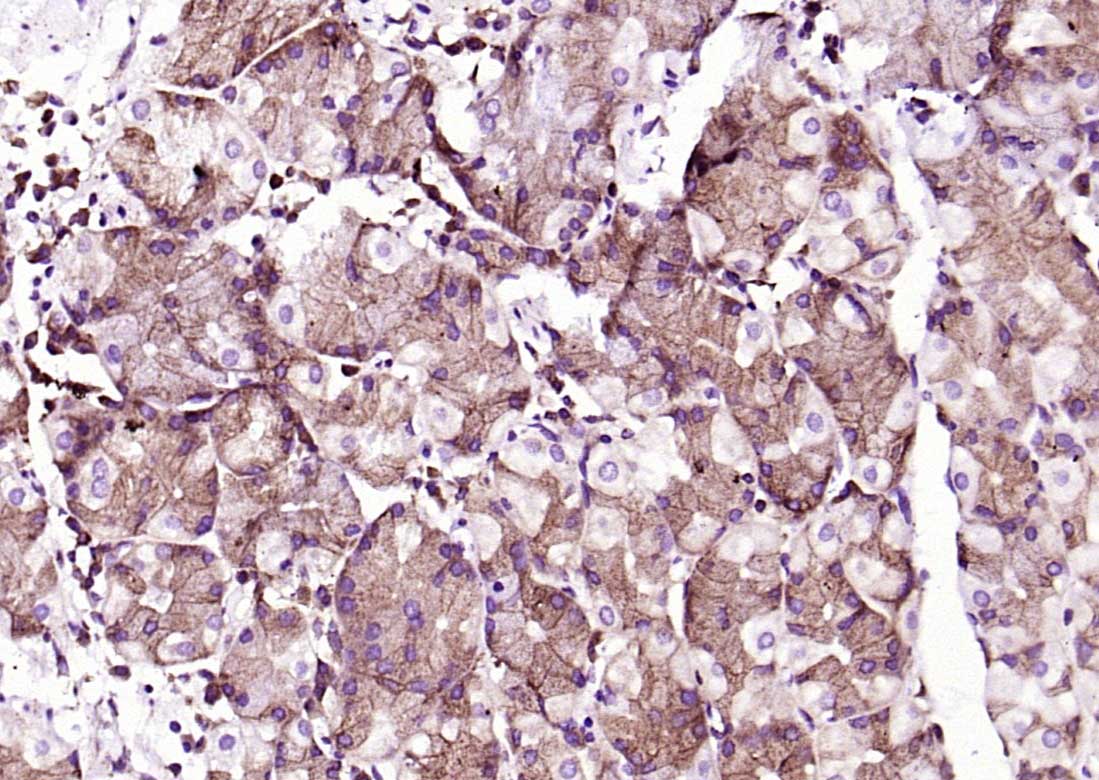
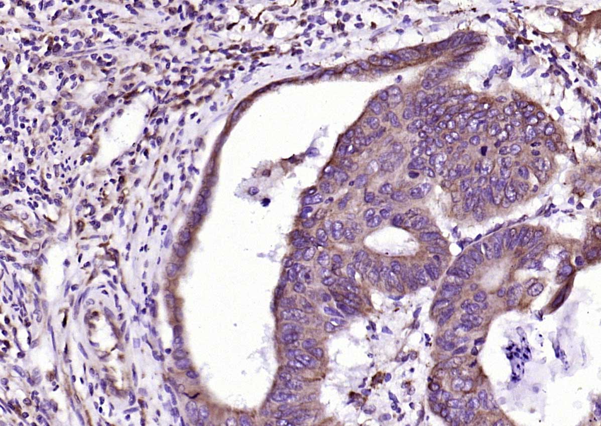
| 产品应用 | WB=1:500-1000, IHC-P=1:50-200, IHC-F=1:400-800, IF=1:100-500 Not yet tested in other applications. |
| 交叉反应 | Human, Mouse, Rat |
| 抗体来源 | Rabbit |
| 免疫原 | KLH conjugated synthetic peptide derived from human PEPT1 |
| 亚型 | IgG |
| 性状 | Liquid |
| 纯化方法 | affinity purified by Protein A |
| 克隆类型 | Polyclonal |
| 理论分子量 | 79 kDa |
| 浓度 | 1mg/ml |
| 储存液 | 0.01M TBS (pH7.4) with 1% BSA, 0.02% Proclin300 and 50% Glycerol. |
| 研究领域 | Metabolism > Pathways and Processes > Metabolic signaling pathways > Amino acid metabolism Signal Transduction > Metabolism > Amino Acids Signal Transduction > Metabolism > Plasma Membrane > Channels |
| 亚细胞定位 | Membrane; Multi-pass membrane protein. |
| 相似性 | Belongs to the PTR2/POT transporter (TC 2.A.17) family. |
| 功能 | Proton-coupled intake of oligopeptides of 2 to 4 amino acids with a preference for dipeptides. May constitute a major route for the absorption of protein digestion end-products. |
| 保存条件 | Shipped at 4℃. Store at -20℃ for one year. Avoid repeated freeze/thaw cycles. |
| 注意事项 | This product as supplied is intended for research use only, not for use in human, therapeutic or diagnostic applications. |
| 背景资料 | PEPT1(Oligopeptide transporter, small intestine isoform (Peptide transporter 1) (Intestinal H(+)/peptide cotransporter) (Solute carrier family 15 member 1) Proton-coupled intake of oligopeptides of 2 to 4 amino acids with a preference for dipeptides. May constitute a major route for the absorption of protein digestion end-products. Subcellular Location:membrane; Multi-pass membrane protein. Tissue Specificity Intestine, kidney, liver and low in brain. Belongs to the PTR2/POT transporter (TC 2.A.17) family. |
| 应用 | 推荐稀释比例 |
| {WB} | {1:500-1000} |
| {IHC-P} | {1:50-200} |
| {IHC-F} | {1:400-800} |
| {IF} | {1:100-500} |

Lane 1: Liver (Mouse) Lysate at 40 ug
Lane 2: Liver (Rat) Lysate at 40 ug
Lane 3: Panc-1 (Human) Cell Lysate at 30 ug
Primary: Anti-SLC15A1 (bs-0689R) at 1/1000 dilution
Secondary: IRDye800CW Goat Anti-Rabbit IgG at 1/20000 dilution
Predicted band size: 80 kD
Observed band size: 83 kD






风险提示:丁香通仅作为第三方平台,为商家信息发布提供平台空间。用户咨询产品时请注意保护个人信息及财产安全,合理判断,谨慎选购商品,商家和用户对交易行为负责。对于医疗器械类产品,请先查证核实企业经营资质和医疗器械产品注册证情况。
文献和实验[IF={{ 7.514 }}] {Yi Wu. et al. Selective transportation and energy homeostasis regulation of dietary advanced glycation end-products in human intestinal Caco-2 cells. FOOD CHEM. 2022 Oct;391:133284} {FCM} {Human}
[IF={{ 6.383 }}] {Yang Wen. et al. Different copper sources and levels affect growth performance, copper content, carcass characteristics, intestinal microorganism and metabolism of finishing pigs. Anim Nutr. 2021 Nov;:} {WB} {Pig}
[IF={{ 3.73 }}] {Xu, Qingbiao, et al. "Establishment and Characterization of an Omasal Epithelial Cell Model Derived from Dairy Calves for the Study of Small Peptide Absorption." PLOS ONE 9.3 (2014): e88993.} {Other} {="Bovine"}
[IF={{ 3.357 }}] {Morita M et al. Fluorescence‐based discrimination of breast cancer cells by direct exposure to 5‐aminolevulinic acid. Cancer Med. 2019 Aug 5.} {WB} {Human}
[IF={{ 10.317 }}] {Yaxian Zheng. et al. Tailored elasticity combined with biomimetic surface promotes nanoparticle transcytosis to overcome mucosal epithelial barrier. Biomaterials. 2020 Dec;262:120323} {IF} {Human}
= NAL), appears to form upon oxidative cyclization of the nonfluorescent 2:1 lysine-HNE Michael adduct-Schiff base cross-link (Scheme 1). Polyclonal antibody (PAb) to the NAL-HNE fluorophore was raised in rabbit and found to be highly specific
【资源】全面归类网址:毕赤酵母表达各种来源蛋白(细菌,真菌,植物,人类等)
, 12 mg/L, α-MF or endogenous signal507Porcine pepsinogenS, PHO, 30 mg/L, active504Rabbit intestinal peptide transporter (PepT1)I[177]Rabbit intestinal peptide transporter (PEPT2)I[178]Rabbit antibody: monoclonal single-chain Fv specific for recombinant
GE Healthcare Benzamidine Sepharose™ 6B is p-aminobenzamidine covalently attached to Sepharose 6B by the epoxy coupling method. p-Aminobenzamidine (PAB), is a synthetic inhibitor of trypsin-like serine protease. Trypsin and trypsin
技术资料暂无技术资料 索取技术资料






