相关产品推荐更多 >

Interferon alpha 2b Rabbit pAb(bs-0536R)-50ul/100ul/200ul
¥1180
Oct-3/Oct-4 Rabbit pAb, HRP conjugated(bs-1111R-HRP)-100ul
¥2980
Anti-human CDCP1 / CD318 (U.California patent Anti-CDCP1 Biosimilar)(BIO0131SM)-1mg/5mg/20mg
¥3200
MINPP1 Rabbit pAb(bs-18942R)-50ul/100ul/200ul
¥1180
UNC80 Rabbit pAb(bs-12121R)-50ul/100ul/200ul
¥1180
万千商家帮你免费找货
0 人在求购买到急需产品
- 详细信息
- 文献和实验
- 技术资料
- 应用范围:
产品信息以Bioss网站为准
- 规格:
50ul/100ul/200ul
| 规格: | 50ul | 产品价格: | ¥1180.0 |
|---|---|---|---|
| 规格: | 100ul | 产品价格: | ¥1980.0 |
| 规格: | 200ul | 产品价格: | ¥2800.0 |
| 产品编号 | bs-0272R |
| 英文名称 | Visfatin Rabbit pAb |
| 中文名称 | 内脂素/内脏脂肪素/前B细胞克隆增强因子1抗体 |
| 英文别名 | pre-B-cell colony-enhancing factor 1; PBEF1 protein; AI480535; 1110035O14Rik; AI314458; DKFZP666B131; EC 2.4.2.12; MGC117256; NAmPRTase; NAMPT; Nicotinamide phosphoribosyltransferase; PBEF; PBEF1; Pre B cell colony enhancing factor 1; Pre B cell colony enhancing factor; Pre B cell enhancing factor; Visfatin; NAMPT_HUMAN. |
| 产品应用 | IHC-P=1:100-500, IHC-F=1:100-500, IF=1:100-500, Flow-Cyt=1ug/Test Not yet tested in other applications. |
| 交叉反应 | Human, Rat (Mouse, Chicken, Pig, Cow, Horse, Monkey) |
| 抗体来源 | Rabbit |
| 免疫原 | KLH conjugated synthetic peptide derived from human PBEF |
| 亚型 | IgG |
| 性状 | Liquid |
| 纯化方法 | affinity purified by Protein A |
| 克隆类型 | Polyclonal |
| 理论分子量 | 55 kDa |
| 浓度 | 1mg/ml |
| 储存液 | 0.01M TBS (pH7.4) with 1% BSA, 0.02% Proclin300 and 50% Glycerol. |
| 研究领域 | Cardiovascular > Blood > Serum Proteins Cardiovascular > Hypoxia > Hypoxia-Regulated Immunology > Adaptive Immunity > B Cells > Non-CD Immunology > Innate Immunity > Cytokines Metabolism > Pathways and Processes > Metabolism processes > Hypoxia Neuroscience > Neurology process > Metabolism Signal Transduction > Growth Factors/Hormones > Insulin / Insulin-like |
| 亚基 | Homodimer. |
| 亚细胞定位 | Cytoplasm. |
| 组织特异性 | Expressed in large amounts in bone marrow, liver tissue, and muscle. Also present in heart, placenta, lung, and kidney tissues. |
| 相似性 | Belongs to the NAPRTase family. |
| 功能 | Catalyzes the condensation of nicotinamide with 5-phosphoribosyl-1-pyrophosphate to yield nicotinamide mononucleotide, an intermediate in the biosynthesis of NAD. It is the rate limiting component in the mammalian NAD biosynthesis pathway. |
| 保存条件 | Shipped at 4℃. Store at -20℃ for one year. Avoid repeated freeze/thaw cycles. |
| 注意事项 | This product as supplied is intended for research use only, not for use in human, therapeutic or diagnostic applications. |
| 背景资料 | This gene encodes a protein that catalyzes the condensation of nicotinamide with 5-phosphoribosyl-1-pyrophosphate to yield nicotinamide mononucleotide, one step in the biosynthesis of nicotinamide adenine dinucleotide. The protein belongs to the nicotinic acid phosphoribosyltransferase (NAPRTase) family and is thought to be involved in many important biological processes, including metabolism, stress response and aging. This gene has a pseudogene on chromosome 10. [provided by RefSeq, Feb 2011]. |
| 应用 | 推荐稀释比例 |
| {IHC-P} | {1:100-500} |
| {IHC-F} | {1:100-500} |
| {IF} | {1:100-500} |
| {Flow-Cyt} | {1ug/Test} |

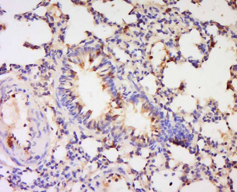
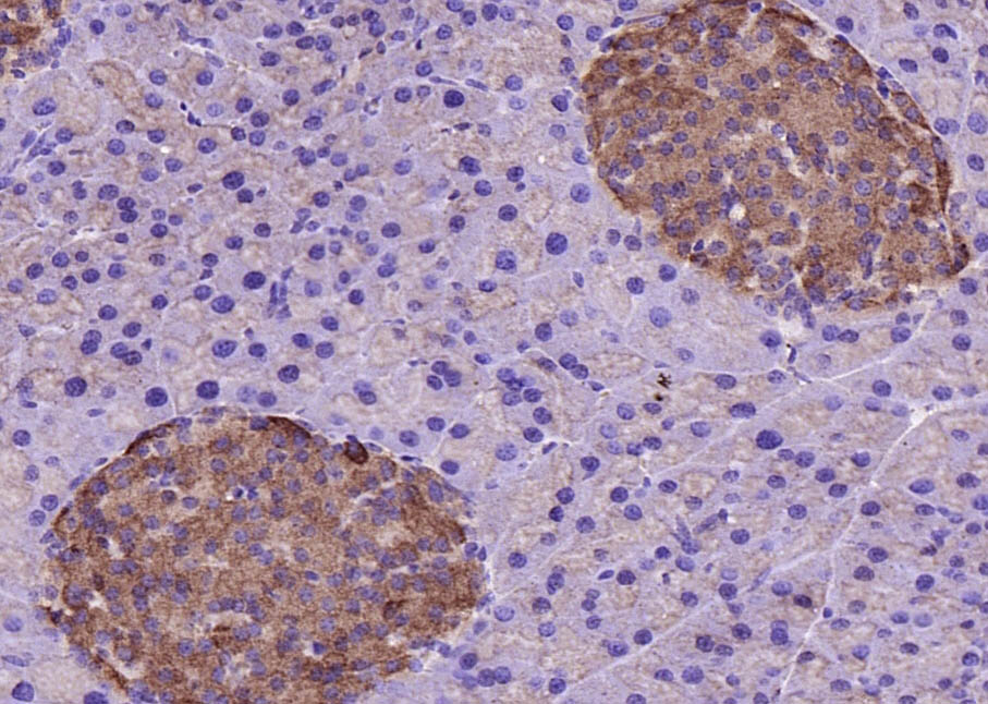
Antigen retrieval: citrate buffer ( 0.01M, pH 6.0 ), Boiling bathing for 15min; Block endogenous peroxidase by 3% Hydrogen peroxide for 30min; Blocking buffer (normal goat serum,C-0005) at 37℃ for 20 min;
Incubation: Anti- Visfatin Polyclonal Antibody, Unconjugated(bs-0272R) 1:200, overnight at 4°C, followed by conjugation to the secondary antibody(SP-0023) and DAB(C-0010) staining

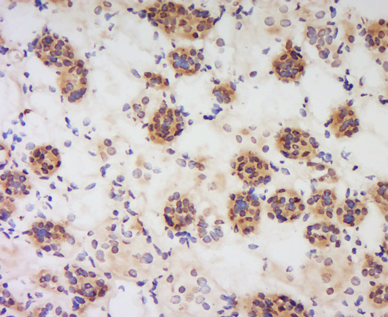
Antigen retrieval: citrate buffer ( 0.01M, pH 6.0 ), Boiling bathing for 15min; Block endogenous peroxidase by 3% Hydrogen peroxide for 30min; Blocking buffer (normal goat serum,C-0005) at 37℃ for 20 min;
Incubation: Anti- Visfatin Polyclonal Antibody, Unconjugated(bs-0272R) 1:200, overnight at 4°C, followed by conjugation to the secondary antibody(SP-0023) and DAB(C-0010) staining

Primary Antibody (green line): Rabbit Anti-Visfatin antibody (bs-0272R)
Dilution: 1ug/Test;
Secondary Antibody : Goat anti-rabbit IgG-FITC
Dilution: 0.5ug/Test.
Protocol
The cells were fixed with 4% PFA (10min at room temperature)and then permeabilized with 90% ice-cold methanol for 20 min at -20℃.The cells were then incubated in 5%BSA to block non-specific protein-protein interactions for 30 min at room temperature .Cells stained with Primary Antibody for 30 min at room temperature. The secondary antibody used for 40 min at room temperature. Acquisition of 20,000 events was performed.

风险提示:丁香通仅作为第三方平台,为商家信息发布提供平台空间。用户咨询产品时请注意保护个人信息及财产安全,合理判断,谨慎选购商品,商家和用户对交易行为负责。对于医疗器械类产品,请先查证核实企业经营资质和医疗器械产品注册证情况。
文献和实验[IF={{ 5.032 }}] {Cai, Bolin. et al. circPTPN4 regulates myogenesis via the miR-499-3p/NAMPT axis. J Anim Sci Biotechno. 2022 Dec;13(1):1-15} {WB} {Chicken}
[IF={{ 1.77 }}] {Lin, Li-Wen, et al. "Visfatin/pre-B cell colony-enhancing factor immunohistochemical overexpression in oral cancers." Journal of Applied Biomedicine (2014).} {IHC} {="Human"}
= NAL), appears to form upon oxidative cyclization of the nonfluorescent 2:1 lysine-HNE Michael adduct-Schiff base cross-link (Scheme 1). Polyclonal antibody (PAb) to the NAL-HNE fluorophore was raised in rabbit and found to be highly specific
/96T 2000/3000 进口分装 F0021 骨成型蛋白-9(BMP-9) ELISA 48T/96T 2000/3000 进口分装 F0022 BMP-R1A ELISA 48T/96T 2000/3000 进口分装 F0023 BMP-R2 ELISA 48T/96T 2000/3000 进口分装 F0024 BTC ELISA 48T/96T 2000/3100 进口分装 F0030 CAE-Ab ELISA 96
/96T 2000/3000 进口分装 F0021 骨成型蛋白-9(BMP-9) ELISA 48T/96T 2000/3000 进口分装 F0022 BMP-R1A ELISA 48T/96T 2000/3000 进口分装 F0023 BMP-R2 ELISA 48T/96T 2000/3000 进口分装 F0024 BTC ELISA 48T/96T 2000/3100 进口分装 F0030 CAE-Ab ELISA 96
技术资料暂无技术资料 索取技术资料






