相关产品推荐更多 >

phospho-Hsp90 beta (Ser226) Rabbit pAb, APC-Cy7 conjugated(bs-18074R-APC-Cy7)-100ul
¥2980
AMPK b1 Mouse mAb(bsm-33427M)-50ul/100ul/200ul/200ug
¥1180
ULBP1 Rabbit pAb(bs-4655R)-50ul/100ul/200ul
¥1180
JEV NS1 Rabbit pAb(bs-41388R)-50ul/100ul/200ul
¥1180
EZH1 Rabbit pAb, Cy5.5 conjugated(bs-6528R-Cy5.5)-100ul
¥2980
万千商家帮你免费找货
0 人在求购买到急需产品
- 详细信息
- 文献和实验
- 技术资料
- 应用范围:
产品信息以Bioss网站为准
- 规格:
50ul/100ul/200ul
| 规格: | 50ul | 产品价格: | ¥1180.0 |
|---|---|---|---|
| 规格: | 100ul | 产品价格: | ¥1980.0 |
| 规格: | 200ul | 产品价格: | ¥2800.0 |
| 产品编号 | bs-1854R |
| 英文名称 | MMP12 Rabbit pAb |
| 中文名称 | 基质金属蛋白酶-12抗体 |
| 英文别名 | matrix metalloproteinase 12; MMP12; EC 3.4.24.65; HME; Macrophage elastase; Macrophage metaloelastase; Matrix metalloprotease 12; ME; MGC138506; MME; MMP 12; MMP12_HUMAN; MMP 12; MMP-12; MMP12. |
| 产品应用 | WB=1:500-2000, IHC-P=1:100-500, IHC-F=1:100-500, IF=1:100-500 Not yet tested in other applications. |
| 交叉反应 | Human, Mouse, Rat |
| 抗体来源 | Rabbit |
| 免疫原 | KLH conjugated synthetic peptide derived from human MMP12 |
| 亚型 | IgG |
| 性状 | Liquid |
| 纯化方法 | affinity purified by Protein A |
| 克隆类型 | Polyclonal |
| 理论分子量 | 42/52 kDa |
| 浓度 | 1mg/ml |
| 储存液 | 0.01M TBS (pH7.4) with 1% BSA, 0.02% Proclin300 and 50% Glycerol. |
| 研究领域 | Cancer > Invasion/microenvironment > Angiogenesis > ECM enzymes > MMPs Cancer > Tumor biomarkers > Enzymes > MMPs Cardiovascular > Angiogenesis > Adhesion / ECM > Matrix Metalloproteinases > MMP Cardiovascular > Atherosclerosis > Thrombosis Signal Transduction > Cytoskeleton / ECM > Extracellular Matrix > ECM Enzymes > MMP |
| 亚细胞定位 | Secreted, extracellular space, extracellular matrix (Probable). |
| 组织特异性 | Found in alveolar macrophages but not in peripheral blood monocytes. |
| 相似性 | Belongs to the peptidase M10A family. Contains 4 hemopexin-like domains. |
| 保存条件 | Shipped at 4℃. Store at -20℃ for one year. Avoid repeated freeze/thaw cycles. |
| 注意事项 | This product as supplied is intended for research use only, not for use in human, therapeutic or diagnostic applications. |
| 背景资料 | Proteins of the matrix metalloproteinase (MMP) family are involved in the breakdown of extracellular matrix in normal physiological processes, such as embryonic development, reproduction, and tissue remodeling, as well as in disease processes, such as arthritis, metastasis, and atherosclerosis. Most MMP's are secreted as inactive proproteins which are activated when cleaved by extracellular proteinases.MMP12 was first described in murine macrophages, later in human macrophages, and more recently in other cell types. Also known as metalloelastase, MMP12 is able to degrade elastin, entactin, laminin 1, fibronectin, type IV collagen as well as insulin B-chain and casein. MMP12 is often confused with the Serine proteinase, Leukocyte elastase (EC 3.4.21.37) because of similar nomenclature. MMP12 is structurally similar to the classical MMPs (MMP1, MMP3); it contains a propeptide with autoinhibitory cysteine switch site, a well-conserved zinc site, hinge region and hemopexin domain. MMP12 lacks a transmembrane domain and furin cleavage site. The zymogen for MMP-12 is about 54 kD, and is quickly activated to the 45 kD form; and this breaks down to cascade of active forms, ending with the common 22 kD form. Stimulated macrophages produce MMP12; it has also been found in osteosarcoma cells, synovial fibroblasts and lung fibroblasts. |
| 应用 | 推荐稀释比例 |
| {WB} | {1:500-2000} |
| {IHC-P} | {1:100-500} |
| {IHC-F} | {1:100-500} |
| {IF} | {1:100-500} |







风险提示:丁香通仅作为第三方平台,为商家信息发布提供平台空间。用户咨询产品时请注意保护个人信息及财产安全,合理判断,谨慎选购商品,商家和用户对交易行为负责。对于医疗器械类产品,请先查证核实企业经营资质和医疗器械产品注册证情况。
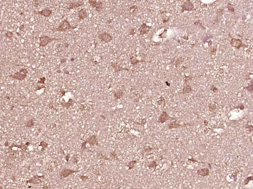
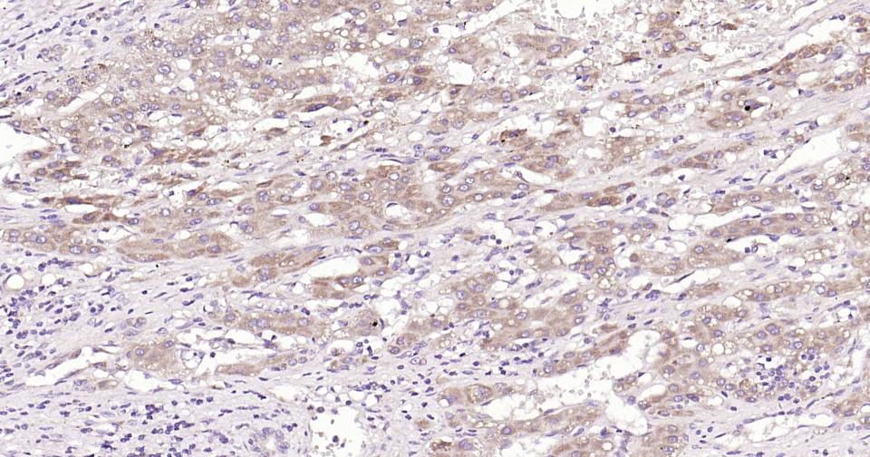
文献和实验[IF={{ 7.419 }}] {Hirona Kugo. et al. Tricaprin can prevent the development of AAA by attenuating aortic degeneration. BIOMED PHARMACOTHER. 2023 Apr;160:114299} {IHC} {Rat}
[IF={{ 6.656 }}] {Mingzhu Xiao. et al. Nuciferine attenuates atherosclerosis by regulating the proliferation and migration of VSMCs through the Calm4/MMP12/AKT pathway in ApoE(-/-) mice fed with High-Fat-Diet. PHYTOMEDICINE. 2023 Jan;108:154536} {WB} {Mouse}
[IF={{ 6.2 }}] {Xiaolan Guo. et al. Involvement of M2 macrophages polarization in PM2.5-induced COPD by upregulating MMP12 via IL4/STAT6 pathway. ECOTOX ENVIRON SAFE. 2024 Sep;283:116793} {IF} {Mouse}
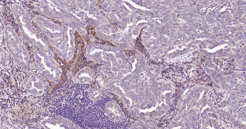
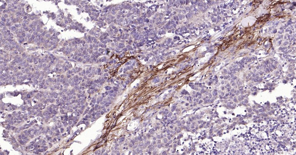
[IF={{ 4.162 }}] {Wenwen Chen. et al. Identification of Active Compounds and Mechanism of Huangtu Decoction for the Treatment of Ulcerative Colitis by Network Pharmacology Combined with Experimental Verification. Drug Des Dev Ther. 2021; 15: 4125–4140} {IHC} {mouse}
[IF={{ 4.011 }}] {Bai S et al. Comparative analysis of pathophysiological parameters between emphysematous smokers and emphysematous patients with COPD. Sci Rep. 2020 Jan 15;10(1):420.} {WB} {Human}
= NAL), appears to form upon oxidative cyclization of the nonfluorescent 2:1 lysine-HNE Michael adduct-Schiff base cross-link (Scheme 1). Polyclonal antibody (PAb) to the NAL-HNE fluorophore was raised in rabbit and found to be highly specific
GE Healthcare Benzamidine Sepharose™ 6B is p-aminobenzamidine covalently attached to Sepharose 6B by the epoxy coupling method. p-Aminobenzamidine (PAB), is a synthetic inhibitor of trypsin-like serine protease. Trypsin and trypsin
Nucleic Acid Programmable Protein Arrays: Versatile Tools for Array‐Based Functional Protein Studies
.g., Sigma) 50 mg/ml bis‐sulfosuccinimdylsuberate (BS3 ;Pierce, cat. no. PI 21580) in dimethylsulfoxide (DMSO) 5 mg/ml
技术资料暂无技术资料 索取技术资料






