相关产品推荐更多 >

PKNOX1 Rabbit pAb, Biotin conjugated(bs-12695R-Bio)-100ul
¥2980
Anti-human TNFRSF4 / OX40 / CD134 (BMS-986178 Biosimilar)(BIO0797SM)-1mg/5mg/20mg
¥3200
MMP-2 Rabbit pAb, PE-Cy7 conjugated(bs-4599R-PE-Cy7)-100ul
¥2980
FREAC3 Rabbit pAb, BF750 conjugated(bs-6642R-BF750)-100ul
¥2980
Nmnat1 Rabbit pAb, HRP conjugated(bs-11738R-HRP)-100ul
¥2980
万千商家帮你免费找货
0 人在求购买到急需产品
- 详细信息
- 文献和实验
- 技术资料
- 应用范围:
产品信息以Bioss网站为准
- 规格:
50ul/100ul/200ul
| 规格: | 50ul | 产品价格: | ¥1180.0 |
|---|---|---|---|
| 规格: | 100ul | 产品价格: | ¥1980.0 |
| 规格: | 200ul | 产品价格: | ¥2800.0 |
| 产品编号 | bs-1452R |
| 英文名称 | GATA3 Rabbit pAb |
| 中文名称 | GATA结合蛋白3抗体 |
| 英文别名 | GATA 3; GATA-3; GATA binding factor 3; GATA binding protein 3; HDR; MGC2346; MGC5199; MGC5445; Trans acting T cell specific transcription factor GATA 3; GATA3_HUMAN; Trans-acting T-cell-specific transcription factor GATA-3; GATA-binding factor 3. |
| 产品应用 | IHC-P=1:100-500, IHC-F=1:100-500, IF=1:100-500, Flow-Cyt=1ug/test Not yet tested in other applications. |
| 交叉反应 | Human (Mouse, Rat, Chicken, Dog, Pig, Cow, GuineaPig) |
| 抗体来源 | Rabbit |
| 免疫原 | KLH conjugated synthetic peptide derived from human GATA3 |
| 亚型 | IgG |
| 性状 | Liquid |
| 纯化方法 | affinity purified by Protein A |
| 克隆类型 | Polyclonal |
| 理论分子量 | 49 kDa |
| 浓度 | 1mg/ml |
| 储存液 | 0.01M TBS (pH7.4) with 1% BSA, 0.02% Proclin300 and 50% Glycerol. |
| 研究领域 | Developmental Biology > Lineage specification > Ectoderm Epigenetics and Nuclear Signaling > ChIP assays > ChIP antibodies Epigenetics and Nuclear Signaling > Transcription > Domain Families > Zinc Finger Immunology > Adaptive Immunity > T Cells > Non-CD Stem Cells > Lineage Markers > Ectoderm |
| 亚细胞定位 | Nucleus. |
| 组织特异性 | T-cells and endothelial cells. |
| 相似性 | Contains 2 GATA-type zinc fingers. |
| 功能 | Transcriptional activator which binds to the enhancer of the T-cell receptor alpha and delta genes. Binds to the consensus sequence 5'-AGATAG-3'. |
| 保存条件 | Shipped at 4℃. Store at -20℃ for one year. Avoid repeated freeze/thaw cycles. |
| 注意事项 | This product as supplied is intended for research use only, not for use in human, therapeutic or diagnostic applications. |
| 背景资料 | Members of the GATA family share a conserved zinc finger DNA-binding domain and are capable of binding the WGATAR consensus sequence. GATA-1 is erythroid-specific and is responsible for the regulated transcription of erythroid genes. It is an essential component in the generation of the erythroid lineage. GATA-2 is expressed in embryonic brain and liver, HeLa and endothelial cells, as well as in erythroid cells. Studies with a modified GATA consensus sequence, AGATCTTA, have shown that GATA-2 and GATA-3 recognize this mutated consensus while GATA-1 has poor recognition of this sequence. This indicates broader regulatory capabilities of GATA-2 and GATA-3 than GATA-1. GATA-3 is highly expressed in T lymphocytes. GATA-4, GATA-5 and GATA-6 comprise a subfamily of transcription factors. Both GATA-4 and GATA-6 are found in heart, pancreas and ovary; lung and liver tissues exhibit GATA-6, but not GATA-4 expression. GATA-5 expression has been observed in differentiated heart and gut tissues and is present throughout the course of development in the heart. Although expression patterns of the various GATA transcription factors may overlap, it is not yet apparent how the GATA factors are able to discriminate in binding their appropriate target sites. |
| 应用 | 推荐稀释比例 |
| {IHC-P} | {1:100-500} |
| {IHC-F} | {1:100-500} |
| {IF} | {1:100-500} |
| {Flow-Cyt} | {1ug/test} |

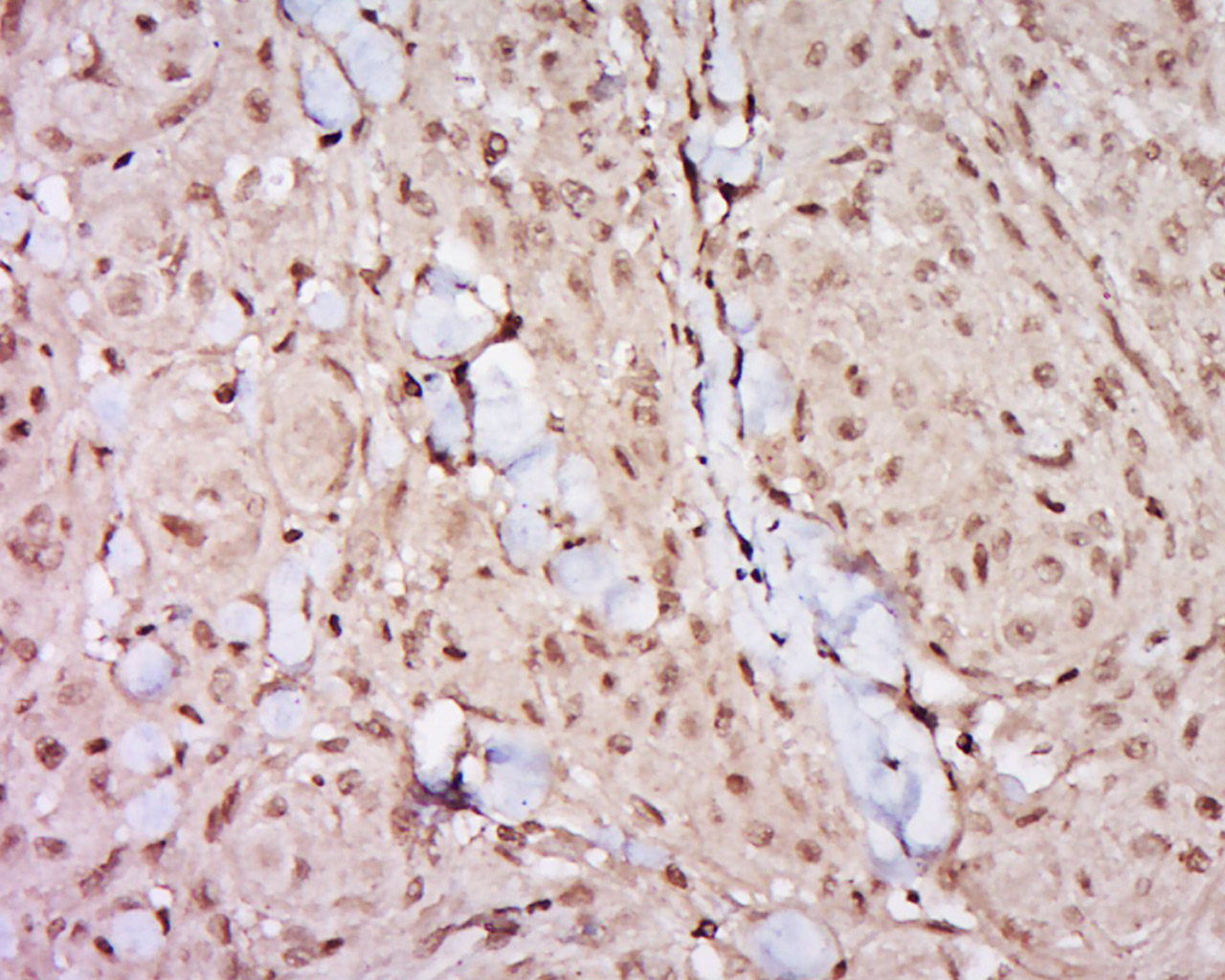
Antigen retrieval: citrate buffer ( 0.01M, pH 6.0 ), Boiling bathing for 15min; Block endogenous peroxidase by 3% Hydrogen peroxide for 30min; Blocking buffer (normal goat serum,C-0005) at 37℃ for 20 min;
Incubation: Anti-GATA3 Polyclonal Antibody, Unconjugated(bs-1452R) 1:500, overnight at 4°C, followed by conjugation to the secondary antibody(SP-0023) and DAB(C-0010) staining

Primary Antibody (green line): Rabbit Anti-GATA3 antibody (bs-1452R)
Dilution: 1μg /10^6 cells;
Isotype Control Antibody (orange line): Rabbit IgG .
Secondary Antibody : Goat anti-rabbit IgG-AF647
Dilution: 1μg /test.
Protocol
The cells were fixed with 4% PFA (10min at room temperature)and then permeabilized with 90% ice-cold methanol for 20 min at-20℃. The cells were then incubated in 5%BSA to block non-specific protein-protein interactions for 30 min at at room temperature .Cells stained with Primary Antibody for 30 min at room temperature. The secondary antibody used for 40 min at room temperature. Acquisition of 20,000 events was performed.
风险提示:丁香通仅作为第三方平台,为商家信息发布提供平台空间。用户咨询产品时请注意保护个人信息及财产安全,合理判断,谨慎选购商品,商家和用户对交易行为负责。对于医疗器械类产品,请先查证核实企业经营资质和医疗器械产品注册证情况。
文献和实验[IF={{ 5.988 }}] {Yang Liu. et al. Platycodon grandiflorus polysaccharides deeply participate in the anti-chronic bronchitis effects of platycodon grandiflorus decoction, a representative of "the lung and intestine are related". FRONT PHARMACOL. 2022 Sep 7;13:927384} {IHC} {Rat}
[IF={{ 19 }}] {Jingrong Wang. et al. Pro-Regenerative Glycopeptide Hydrogel Activates Type 2 Immune Response for Wound Healing via Macrophage-T Cell Crosstalk. ADV FUNCT MATER. 2024 Jan;:2307711} {IF} {Mouse}
[IF={{ 13.258 }}] {Chen et al. Water-soluble chitosan inhibits nerve growth factor and attenuates allergic inflammation in mite allergen-induced allergic rhinitis.J Allergy Clin Immunol. 2017 Oct;140(4):1146-1149.e8.} {IHC} {Mouse}
= NAL), appears to form upon oxidative cyclization of the nonfluorescent 2:1 lysine-HNE Michael adduct-Schiff base cross-link (Scheme 1). Polyclonal antibody (PAb) to the NAL-HNE fluorophore was raised in rabbit and found to be highly specific
GE Healthcare Benzamidine Sepharose™ 6B is p-aminobenzamidine covalently attached to Sepharose 6B by the epoxy coupling method. p-Aminobenzamidine (PAB), is a synthetic inhibitor of trypsin-like serine protease. Trypsin and trypsin
Nucleic Acid Programmable Protein Arrays: Versatile Tools for Array‐Based Functional Protein Studies
.g., Sigma) 50 mg/ml bis‐sulfosuccinimdylsuberate (BS3 ;Pierce, cat. no. PI 21580) in dimethylsulfoxide (DMSO) 5 mg/ml
技术资料暂无技术资料 索取技术资料





