相关产品推荐更多 >
万千商家帮你免费找货
0 人在求购买到急需产品
- 详细信息
- 文献和实验
- 技术资料
- 应用范围:
产品信息以Bioss网站为准
- 规格:
50ul/100ul/200ul
| 规格: | 50ul | 产品价格: | ¥1180.0 |
|---|---|---|---|
| 规格: | 100ul | 产品价格: | ¥1980.0 |
| 规格: | 200ul | 产品价格: | ¥2800.0 |
| 产品编号 | bs-3906R |
| 英文名称 | HSD3B1 Rabbit pAb |
| 中文名称 | 滋养层细胞抗原3β-HSD抗体 |
| 英文别名 | 3BHS1_HUMAN; 3 beta-hydroxysteroid dehydrogenase/delta 5-->4-isomerase type 1; beta-hydroxysteroid dehydrogenase/delta 5-->4-isomerase type I; 3-beta-HSD I; 3-beta-hydroxy-5-ene steroid dehydrogenase 1; 3-beta-hydroxy-delta(5)-steroid dehydrogenase 1; EC:1.1.1.145; 3-beta-hydroxysteroid 3-dehydrogenase 1; EC:1.1.1.270; delta-5-3-ketosteroid isomerase; Dihydrotestosterone oxidoreductase. EC:1.1.1.210; Steroid delta-isomerase 1; EC:5.3.3.1; Trophoblast antigen FDO161G; 3BH; HSDB3A; |
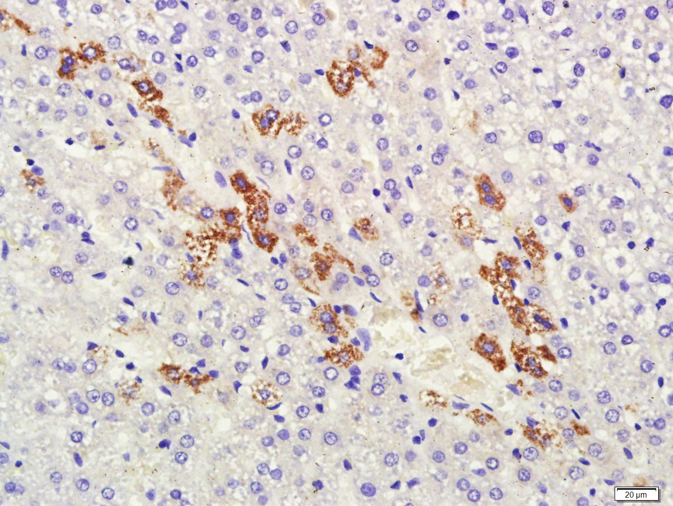
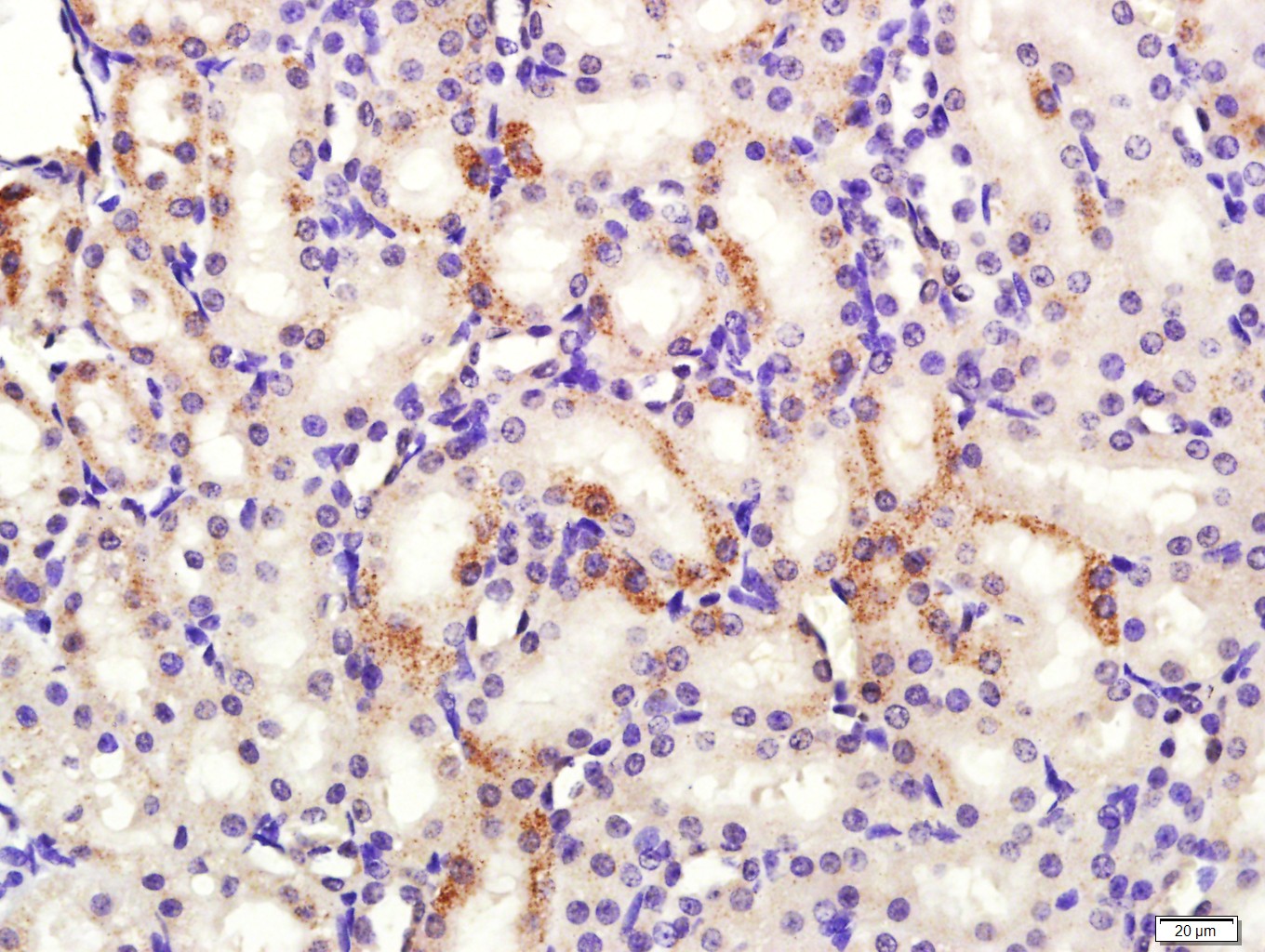
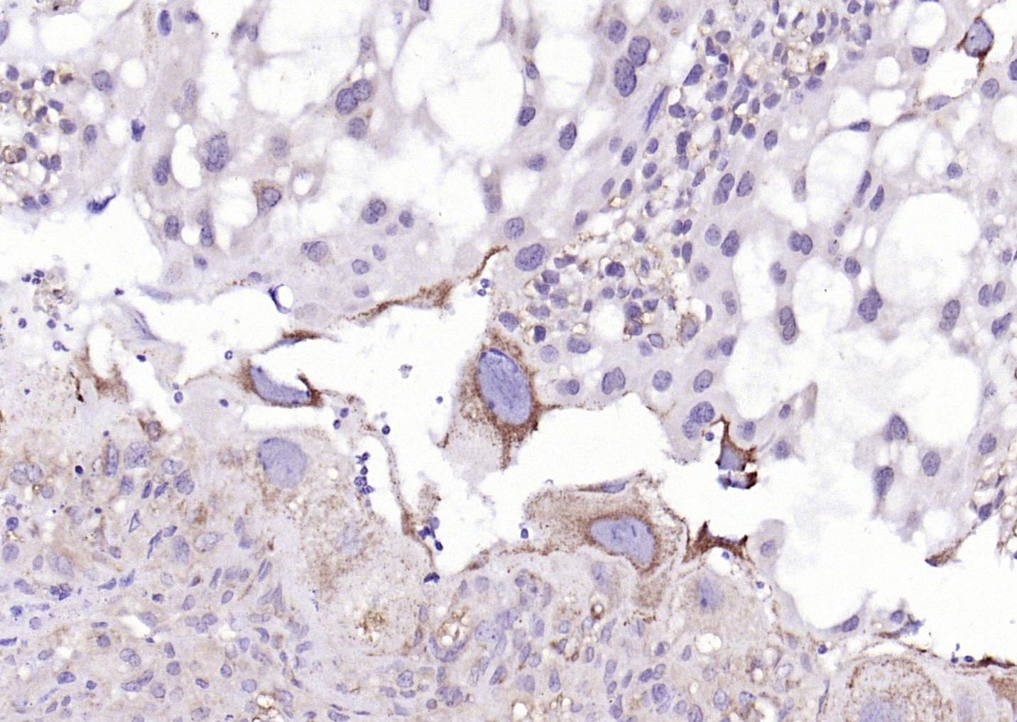
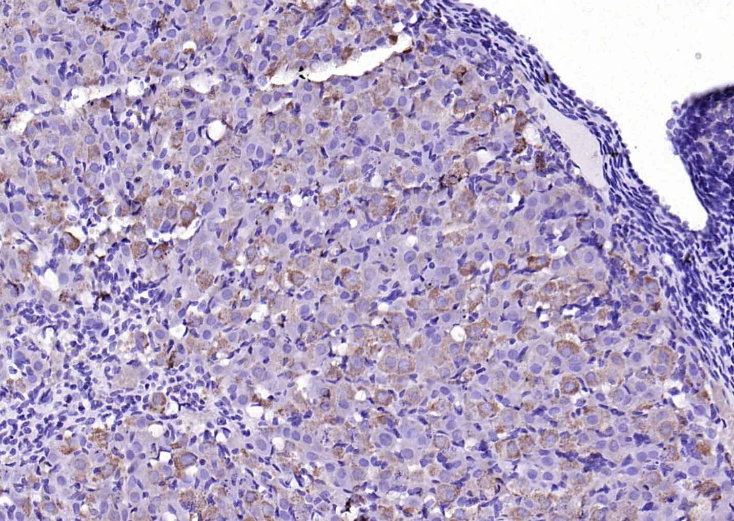
| 产品应用 | IHC-P=1:100-500, IHC-F=1:100-500, IF=1:100-500 Not yet tested in other applications. |
| 交叉反应 | Mouse, Rat (Human, Dog, Cow, Horse) |
| 抗体来源 | Rabbit |
| 免疫原 | KLH conjugated synthetic peptide derived from human HSD3B1 |
| 亚型 | IgG |
| 性状 | Liquid |
| 纯化方法 | affinity purified by Protein A |
| 克隆类型 | Polyclonal |
| 理论分子量 | 41 kDa |
| 浓度 | 1mg/ml |
| 储存液 | 0.01M TBS (pH7.4) with 1% BSA, 0.02% Proclin300 and 50% Glycerol. |
| 研究领域 | Cancer > Cancer Metabolism > Metabolic signaling pathway > Hormone biosynthesis Cancer > Cancer Metabolism > Metabolic signaling pathway > Metabolism of lipids and lipoproteins Metabolism > Pathways and Processes > Endocrine metabolism > Hormone biosynthesis Metabolism > Pathways and Processes > Metabolic signaling pathways > Lipid and lipoprotein metabolism > Lipid metabolism Metabolism > Types of disease > Cancer Signal Transduction > Growth Factors/Hormones > Hormones |
| 亚细胞定位 | Endoplasmic reticulum membrane; Single-pass membrane protein. Mitochondrion membrane; Single-pass membrane protein. |
| 组织特异性 | Placenta and skin. Predominantly expressed in mammary gland tissue. |
| 相似性 | Belongs to the 3-beta-HSD family. |
| 保存条件 | Shipped at 4℃. Store at -20℃ for one year. Avoid repeated freeze/thaw cycles. |
| 注意事项 | This product as supplied is intended for research use only, not for use in human, therapeutic or diagnostic applications. |
| 背景资料 | The protein encoded by this gene is a bifunctional enzyme that catalyzes the oxidative conversion of delta(5)-ene-3-beta-hydroxy steroid, and the oxidative conversion of ketosteroids. It plays a crucial role in the biosynthesis of all classes of hormonal steroids. This gene is predominantly expressed in the adrenals and the gonads. Mutations in this gene are associated with 3-beta-hydroxysteroid dehydrogenase, type II, deficiency. Alternatively spliced transcript variants have been found for this gene. [provided by RefSeq, Oct 2009] |
| 应用 | 推荐稀释比例 |
| {IHC-P} | {1:100-500} |
| {IHC-F} | {1:100-500} |
| {IF} | {1:100-500} |






风险提示:丁香通仅作为第三方平台,为商家信息发布提供平台空间。用户咨询产品时请注意保护个人信息及财产安全,合理判断,谨慎选购商品,商家和用户对交易行为负责。对于医疗器械类产品,请先查证核实企业经营资质和医疗器械产品注册证情况。
文献和实验[IF={{ 7.129 }}] {Hui Zhao. et al. Alleviating effects of selenium on fluoride-induced testosterone synthesis disorder and reproduction toxicity in rats. ECOTOX ENVIRON SAFE. 2022 Dec;247:114249} {WB,IHC} {Rat}
[IF={{ 6.551 }}] {Daojuan Wanget al. Exposure to hyperandrogen drives ovarian dysfunction and fibrosis by activating the NLRP3 inflammasome in mice. Sci Total Environ . 2020 Nov 25;745:141049.} {WB} {mouse}
[IF={{ 6.208 }}] {Sijie Fan. et al. Seasonal Change in Adiponectin Associated with Ovarian Morphology and Function in Wild Ground Squirrels (Citellus dauricus Brandt). INT J MOL SCI. 2022 Jan;23(23):14698} {IHC} {Squirrel}
[IF={{ 6.1 }}] {Guangxin Yang. et al. Dietary methionine supplementation during the estrous cycle improves follicular development and estrogen synthesis in rats. FOOD FUNCT. 2023 Dec;:} {WB} {Rat}
[IF={{ 4.8 }}] {Wenjing Lu. et al. Vitamin D status alters genes involved in ovarian steroidogenesis in muskrat granulosa cells. BBA-MOL CELL BIOL L. 2024 May;1869:159469} {IHC} {Muskrat}
= NAL), appears to form upon oxidative cyclization of the nonfluorescent 2:1 lysine-HNE Michael adduct-Schiff base cross-link (Scheme 1). Polyclonal antibody (PAb) to the NAL-HNE fluorophore was raised in rabbit and found to be highly specific
GE Healthcare Benzamidine Sepharose™ 6B is p-aminobenzamidine covalently attached to Sepharose 6B by the epoxy coupling method. p-Aminobenzamidine (PAB), is a synthetic inhibitor of trypsin-like serine protease. Trypsin and trypsin
Nucleic Acid Programmable Protein Arrays: Versatile Tools for Array‐Based Functional Protein Studies
.g., Sigma) 50 mg/ml bis‐sulfosuccinimdylsuberate (BS3 ;Pierce, cat. no. PI 21580) in dimethylsulfoxide (DMSO) 5 mg/ml
技术资料暂无技术资料 索取技术资料









