相关产品推荐更多 >

CD144/VE Cadherin Rabbit pAb, PerCP-Cy7 conjugated(bs-22363R-PerCP-Cy7)-100ul
¥2980
PIRH2 Rabbit pAb, AP conjugated(bs-4895R-AP)-100ul
¥2980
SFRP1 Rabbit pAb(bs-1303R)-50ul/100ul/200ul
¥1180
Adenylate cyclase 1 Rabbit pAb, Biotin conjugated(bs-4288R-Bio)-100ul
¥2980
CD147 Rabbit pAb(bs-0684R)-50ul/100ul/200ul
¥1180
万千商家帮你免费找货
0 人在求购买到急需产品
- 详细信息
- 文献和实验
- 技术资料
- 应用范围:
产品信息以Bioss网站为准
- 规格:
100ul/50ul
| 规格: | 100ul | 产品价格: | ¥2500.0 |
|---|---|---|---|
| 规格: | 50ul | 产品价格: | ¥1400.0 |
| 产品编号 | bsm-52904R |
| 英文名称 | ATPB Recombinant Rabbit mAb |
| 中文名称 | ATP合成酶β5重组兔单克隆抗体 |
| 英文别名 | ATP 5B; ATP synthase H+transporting mitochondrial F1 complex beta polypeptide; ATP Synthase H+Transporting Mitochondrial F1 Complex Subunit beta; ATP synthase subunit beta mitochondrial; ATP synthase subunit beta, mitochondrial; ATP5B; ATPB; ATPB_HUMAN; ATPMB; ATPSB; MGC5231; Mitochondrial ATP synthase beta subunit; Mitochondrial ATP Synthase Subunit beta; Mitochondrial ATP synthetase beta subunit. |
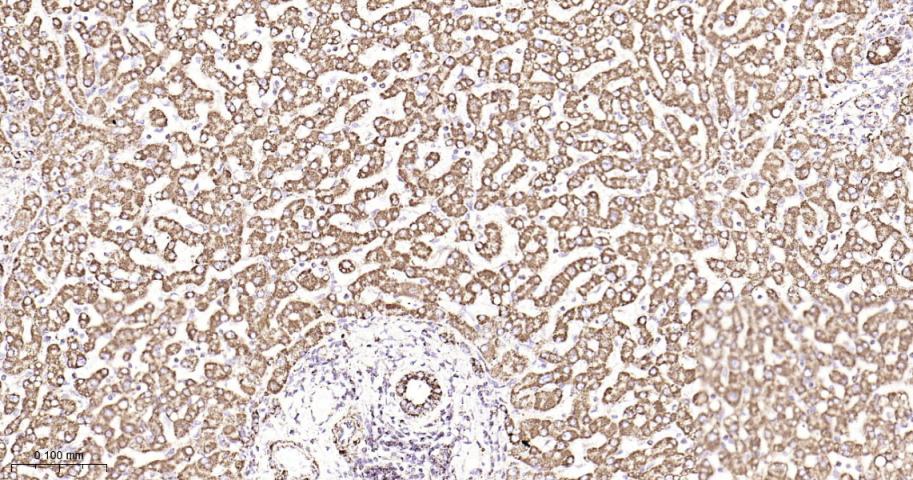
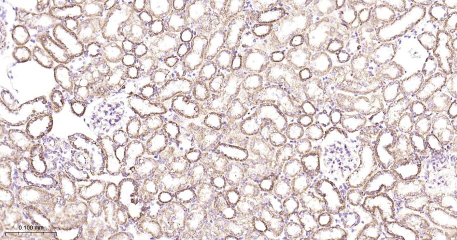
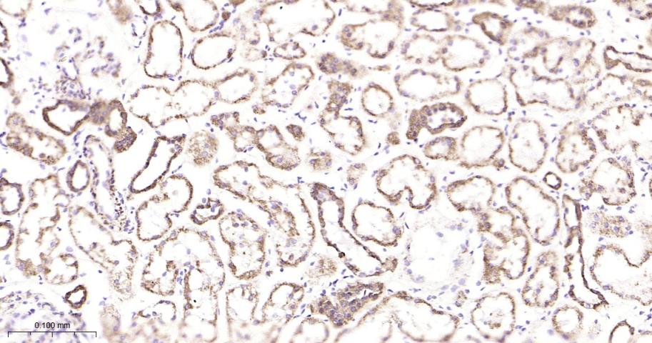
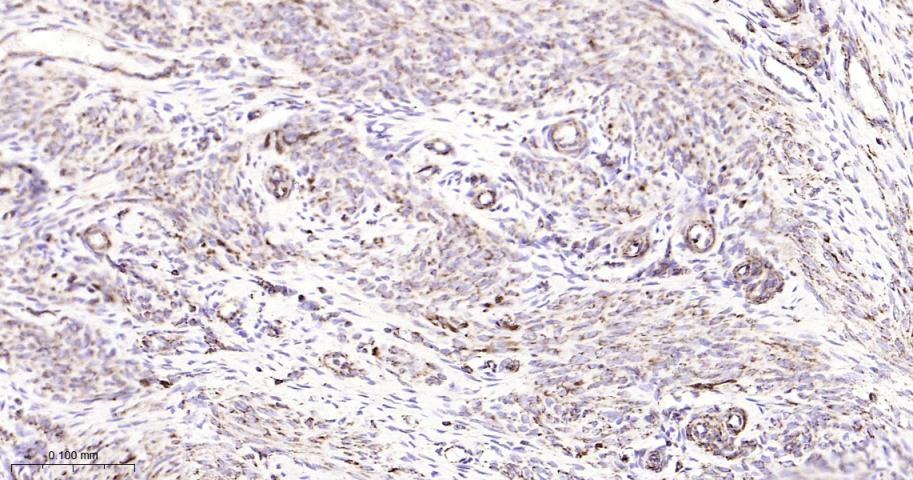
| 产品应用 | WB=1:500-2000, IHC-P=1:100-500, IF=1:100-500, IP=1:10-50, ICC/IF=1:50-200, IHC-F=1:100-500 Not yet tested in other applications. |
| 交叉反应 | Human, Mouse, Rat |
| 抗体来源 | Rabbit |
| 免疫原 | A synthesized peptide derived from human ATP5F1B |
| 亚型 | IgG |
| 性状 | Liquid |
| 纯化方法 | affinity purified by Protein G |
| 克隆类型 | Recombinant |
| 理论分子量 | 56 kDa |
| 浓度 | 1mg/ml |
| 储存液 | 0.01M TBS (pH7.4) with 1% BSA, 0.02% Proclin300 and 50% Glycerol. |
| 亚基 | F-type ATPases have 2 components, CF(1) - the catalytic core - and CF(0) - the membrane proton channel. CF(1) has five subunits: alpha(3), beta(3), gamma(1), delta(1), epsilon(1). CF(0) has three main subunits: a, b and c. Component of an ATP synthase complex composed of ATP5F1, ATP5G1, ATP5E, ATP5H, ATP5I, ATP5J, ATP5J2, MT-ATP6, MT-ATP8, ATP5A1, ATP5B, ATP5D, ATP5C1, ATP5O, ATP5L, USMG5 and MP68 |
| 亚细胞定位 | Mitochondrion. Mitochondrion inner membrane. Peripheral membrane protein. |
| 相似性 | Belongs to the ATPase alpha/beta chains family. |
| 功能 | Mitochondrial membrane ATP synthase (F(1)F(0) ATP synthase or Complex V) produces ATP from ADP in the presence of a proton gradient across the membrane which is generated by electron transport complexes of the respiratory chain. F-type ATPases consist of two structural domains, F(1) - containing the extramembraneous catalytic core, and F(0) - containing the membrane proton channel, linked together by a central stalk and a peripheral stalk. During catalysis, ATP synthesis in the catalytic domain of F(1) is coupled via a rotary mechanism of the central stalk subunits to proton translocation. Subunits alpha and beta form the catalytic core in F(1). Rotation of the central stalk against the surrounding alpha(3)beta(3) subunits leads to hydrolysis of ATP in three separate catalytic sites on the beta subunits. |
| 保存条件 | Shipped at 4℃. Store at -20℃ for one year. Avoid repeated freeze/thaw cycles. |
| 注意事项 | This product as supplied is intended for research use only, not for use in human, therapeutic or diagnostic applications. |
| 背景资料 | Mitochondrial ATP synthase is composed of two multi-subunit complexes that utilize an inner membrane electrochemical gradient to catalyze the synthesis of ATP during oxidative phosphorylation. The two multi-subunit complexes are designated F1 and F0, the former of which comprises the soluble catalytic core and the latter of which comprises the membrane-spanning proton channel of ATP synthase. F1 consists of five distinct subunits, designated ATP5A, ATP5B, ATP5C1, ATP5D and ATP5E, while F0 consists of ten subunits, designated ATP5H, ATP5G1, ATP5I, ATP5G2, ATP5J2, ATP5J, ATP5G3, ATP5S, ATP5F1 and ATP5L. ATP5B, also designated ATPMB, ATPSB or mitochondrial ATP synthetase, beta subunit, is a 529 amino acid protein that localizes to the mitochondrial membrane and exists as a subunit of the F0 complex. ATP5B is encoded by a nuclear gene and assembled with the other subunits encoded by both mitochondrial and nuclear genes. The ATP5B gene is activated by members of the Ets family of transcription factors, suggesting that Ets transcription factors are involved in the enhanced expression of the ATP5B gene in highly proliferating cells and in the coordinate transcription of nuclear genes for mitochondrial proteins. ATP5B mRNA levels vary among species through transcriptional control with high expression levels in heart, lower levels in skeletal muscle and the lowest levels in liver and kidney. |
| 应用 | 推荐稀释比例 |
| {WB} | {1:500-2000} |
| {IHC-P} | {1:100-500} |
| {IF} | {1:100-500} |
| {IP} | {1:10-50} |
| {ICC/IF} | {1:50-200} |
| {IHC-F} | {1:100-500} |












风险提示:丁香通仅作为第三方平台,为商家信息发布提供平台空间。用户咨询产品时请注意保护个人信息及财产安全,合理判断,谨慎选购商品,商家和用户对交易行为负责。对于医疗器械类产品,请先查证核实企业经营资质和医疗器械产品注册证情况。
文献和实验到 PVDF 膜上,同时减少蛋白不必要降解,这对于最终获得清晰、可信结果也是需要考虑因素。抗体信息:1.ACC1, Recombinant Rabbit monoclonal IgG. HuaAn. HuaAn biotechnology , inc.2.ATGL, Mouse mAb IgG1, Cat#:RT1058. HuaAn biotechnology , inc.3.p-PERK(Thr981), Rabbit Polyclonal IgG primary antibodies, Cat
The OP9-DL1 System: Generation of T-Lymphocytes from Embryonic or Hematopoietic Stem Cells In Vitro
al. 2006b ). MATERIALS Reagents Anti-CD24 monoclonal antibody (mAb) (J11d clone) (for Protocol 3) Use either culture supernatant that contains anti-CD24 mAb or purified anti-CD24 mAb (see Step 55). BDPharmLyse (red blood cell lysing
技术资料暂无技术资料 索取技术资料





