相关产品推荐更多 >

TNFSF13B Rabbit pAb, APC-Cy5.5 conjugated(bs-2431R-APC-Cy5.5)-100ul
¥2980
TIE2 Rabbit pAb, PE conjugated(bs-1300R-PE)-100ul
¥2980
C8orf76 Rabbit pAb(bs-15301R)-50ul/100ul/200ul
¥1180
ZNF137 Rabbit pAb, AP conjugated(bs-7153R-AP)-100ul
¥2980
Histone H3 (tri methyl K79) Mouse mAb(bsm-33098M)-50ul/100ul/200ul/200ug
¥1180
万千商家帮你免费找货
0 人在求购买到急需产品
- 详细信息
- 文献和实验
- 技术资料
- 应用范围:
产品信息以Bioss网站为准
- 规格:
50ul/100ul/200ul
| 规格: | 50ul | 产品价格: | ¥1180.0 |
|---|---|---|---|
| 规格: | 100ul | 产品价格: | ¥1980.0 |
| 规格: | 200ul | 产品价格: | ¥2800.0 |
| 产品编号 | bs-8394R |
| 英文名称 | Fbxw7 Rabbit pAb |
| 中文名称 | Fbxw7蛋白抗体 |
| 英文别名 | AGO; Archipelago homolog; Archipelago, Drosophila, homolog of antibody CDC4; DKFZp686F23254; F box and WD 40 domain protein 7(archipelago homolog, Drosophila); F box and WD 40 domain protein 7; F box and WD repeat domain containing 7; F box protein FBW7; F box protein FBX30; F box protein SEL10; F-box and WD-40 domain-containing protein 7; F-box protein FBX30; F-box/WD repeat-containing protein 7; FBW6; FBW7; FBX30; FBXO30; FBXW6; FBXW7; FBXW7_HUMAN; FLJ16457; hAgo; hCdc4; Homolog of C elegans sel 10; Homolog of C.elegans sel10; SEL-10; SEL10. |
| 产品应用 | IHC-P=1:100-500, IHC-F=1:100-500, IF=1:100-500, Flow-Cyt=1ug/Test Not yet tested in other applications. |
| 交叉反应 | Human, Mouse, Rat (Dog, Pig, Cow, Horse) |
| 抗体来源 | Rabbit |
| 免疫原 | KLH conjugated synthetic peptide derived from human Fbxw7/CDC4 |
| 亚型 | IgG |
| 性状 | Liquid |
| 纯化方法 | affinity purified by Protein A |
| 克隆类型 | Polyclonal |
| 理论分子量 | 78 kDa |
| 浓度 | 1mg/ml |
| 储存液 | 0.01M TBS (pH7.4) with 1% BSA, 0.02% Proclin300 and 50% Glycerol. |
| 研究领域 | Cancer > Oncoproteins/suppressors > Tumor suppressors Cell Biology > Proteolysis / Ubiquitin > Proteasome / Ubiquitin > Ubiquitin E3 Enzymes > SCF Complex E3 Ligase |
| 亚基 | Component of the SCF(FBXW7) complex consisting of CUL1, RBX1, SKP1 and FBXW7. Interacts with PSEN1, cyclin E, NOTCH1 NICD, NOTCH4 NICD and SKP1. Interacts with MYC (when phosphorylated). Isoform 1 interacts with USP28, leading to counteract ubiquitination of MYC. Isoform 4 interacts (via WD repeats) with SV40 large T antigen (via CPD region). Forms a trimeric complex with NOTCH1 and SGK1. |
| 亚细胞定位 | Isoform 1: Nucleus, nucleoplasm. Isoform 2: Cytoplasm. Isoform 4: Nucleus, nucleolus. Nucleus. |
| 组织特异性 | Isoform 1 is widely expressed. Isoform 4 is expressed in brain. |
| 翻译后修饰 | Phosphorylated upon DNA damage, probably by ATM or ATR. |
| 相似性 | Contains 1 F-box domain. Contains 7 WD repeats. |
| 功能 | Substrate recognition component of a SCF (SKP1-CUL1-F-box protein) E3 ubiquitin-protein ligase complex which mediates the ubiquitination and subsequent proteasomal degradation of target proteins. Probably recognizes and binds to phosphorylated target proteins. Involved in the degradation of cyclin-E, MYC, NOTCH1 released notch intracellular domain (NICD), and probably PSEN1. |
| 保存条件 | Shipped at 4℃. Store at -20℃ for one year. Avoid repeated freeze/thaw cycles. |
| 注意事项 | This product as supplied is intended for research use only, not for use in human, therapeutic or diagnostic applications. |
| 背景资料 | Fbw7 is a member of the F box protein family which are characterized by an approximately 40 amino acid motif, the F box. The F box proteins constitute one of the four subunits of ubiquitin protein ligase complex called SCFs (SKP1-cullin-F box), which function in phosphorylation-dependent ubiquitination. The F box proteins are divided into 3 classes: Fbws containing WD40 domains, Fbls containing leucine rich repeats, and Fbxs containing either different protein-protein interaction modules or no recognizable motifs. Fbw7 belongs to the Fbws class; in addition to an F box, this protein contains 7 tandem WD40 repeats. It binds directly to cyclin E and probably targets cyclin E for ubiquitin mediated degradation. Mutations of this gene are detected in ovarian and breast cancer cell lines. Alternative splicing of this gene generates 2 transcript variants diverging at the 5' termini. |
| 应用 | 推荐稀释比例 |
| {IHC-P} | {1:100-500} |
| {IHC-F} | {1:100-500} |
| {IF} | {1:100-500} |
| {Flow-Cyt} | {1ug/Test} |

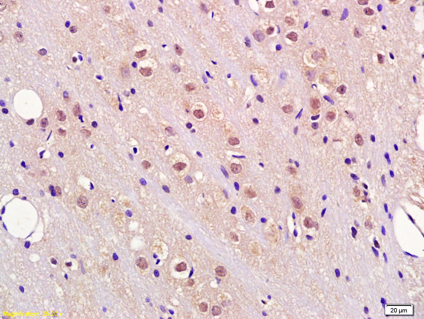
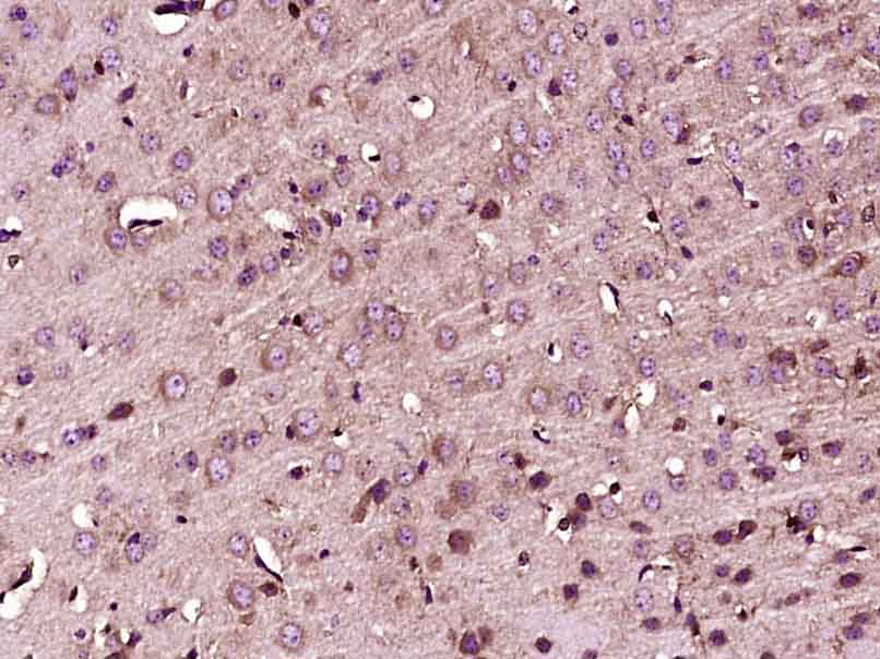
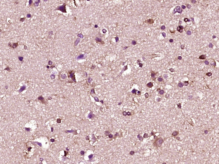
Antigen retrieval: citrate buffer ( 0.01M, pH 6.0 ), Boiling bathing for 15min; Block endogenous peroxidase by 3% Hydrogen peroxide for 30min; Blocking buffer (normal goat serum,C-0005) at 37℃ for 20 min;
Incubation: Anti-Fbxw7/CDC4 Polyclonal Antibody, Unconjugated(bs-8394R) 1:200, overnight at 4°C, followed by conjugation to the secondary antibody(SP-0023) and DAB(C-0010) staining

Primary Antibody (green line): Rabbit Anti-Fbxw7 antibody (bs-8394R)
Dilution: 2μg /10^6 cells;
Isotype Control Antibody (orange line): Rabbit IgG .
Secondary Antibody : Goat anti-rabbit IgG-FITC
Dilution: 1μg /test.
Protocol
The cells were fixed with 4% PFA (10min at room temperature)and then permeabilized with 90% ice-cold methanol for 20 min at-20℃. The cells were then incubated in 5%BSA to block non-specific protein-protein interactions for 30 min at room temperature .Cells stained with Primary Antibody for 30 min at room temperature. The secondary antibody used for 40 min at room temperature. Acquisition of 20,000 events was performed.



Primary Antibody (green line): Rabbit Anti-Fbxw7 antibody (bs-8394R)
Dilution:1ug/Test;
Secondary Antibody(white blue line): Goat anti-rabbit IgG-AF488
Dilution: 0.5ug/Test.
Isotype control(orange line): Normal Rabbit IgG
Protocol
The cells were fixed with 4% PFA (10min at room temperature)and then permeabilized with 90% ice-cold methanol for 20 min at -20℃, The cells were then incubated in 5%BSA to block non-specific protein-protein interactions for 30 min at room temperature .Cells stained with Primary Antibody for 30 min at room temperature. The secondary antibody used for 40 min at room temperature. Acquisition of 20,000 events was performed.

Primary Antibody (green line): Rabbit Anti-Fbxw7 antibody (bs-8394R)
Dilution:1ug/Test;
Secondary Antibody(white blue line): Goat anti-rabbit IgG-AF488
Dilution: 0.5ug/Test.
Isotype control(orange line): Normal Rabbit IgG
Protocol
The cells were fixed with 4% PFA (10min at room temperature)and then permeabilized with 90% ice-cold methanol for 20 min at -20℃, The cells were then incubated in 5%BSA to block non-specific protein-protein interactions for 30 min at room temperature .Cells stained with Primary Antibody for 30 min at room temperature. The secondary antibody used for 40 min at room temperature. Acquisition of 20,000 events was performed.
风险提示:丁香通仅作为第三方平台,为商家信息发布提供平台空间。用户咨询产品时请注意保护个人信息及财产安全,合理判断,谨慎选购商品,商家和用户对交易行为负责。对于医疗器械类产品,请先查证核实企业经营资质和医疗器械产品注册证情况。
文献和实验[IF={{ 8.74 }}] {Chen et al. STAT1 inhibits human hepatocellular carcinoma cell growth through induction of p53 and Fbxw7. (2015) Cancer.Cell.Int. 15:111} {WB} {Human}
[IF={{ 7 }}] {Chan Dedrick Kok Hong. et al. Biallelic FBXW7 knockout induces AKAP8-mediated DNA damage in neighbouring wildtype cells. CELL DEATH DISCOV. 2023 Jun;9(1):1-15} {WB} {Human}
[IF={{ 2.28 }}] {Wang, Haihe, et al. "RBP-J-interacting and tubulin-associated protein induces apoptosis and cell cycle arrest in human hepatocellular carcinoma by activating the p53-Fbxw7 pathway." Biochemical and Biophysical Research Communications (2014).} {WB} {="Human"}
= NAL), appears to form upon oxidative cyclization of the nonfluorescent 2:1 lysine-HNE Michael adduct-Schiff base cross-link (Scheme 1). Polyclonal antibody (PAb) to the NAL-HNE fluorophore was raised in rabbit and found to be highly specific
GE Healthcare Benzamidine Sepharose™ 6B is p-aminobenzamidine covalently attached to Sepharose 6B by the epoxy coupling method. p-Aminobenzamidine (PAB), is a synthetic inhibitor of trypsin-like serine protease. Trypsin and trypsin
Nucleic Acid Programmable Protein Arrays: Versatile Tools for Array‐Based Functional Protein Studies
.g., Sigma) 50 mg/ml bis‐sulfosuccinimdylsuberate (BS3 ;Pierce, cat. no. PI 21580) in dimethylsulfoxide (DMSO) 5 mg/ml
技术资料暂无技术资料 索取技术资料






