相关产品推荐更多 >

Cystatin-C(8F14) Mouse mAb(bsm-41183M)-50ul/100ul/200ul/200ug
¥1180
CDX2 Mouse mAb(bsm-33063M)-50ul/100ul/200ul/200ug
¥1180
Growth hormone receptor Rabbit pAb, Cy5 conjugated(bs-0654R-Cy5)-100ul
¥2980
TNF alpha Rabbit pAb, Cy3 conjugated(bs-10802R-Cy3)-100ul
¥2980
MDR1/P Glycoprotein Rabbit pAb, BF680 conjugated(bs-1468R-BF680)-100ul
¥2980
万千商家帮你免费找货
0 人在求购买到急需产品
- 详细信息
- 文献和实验
- 技术资料
- 应用范围:
产品信息以Bioss网站为准
- 规格:
50ul/100ul/200ul
| 规格: | 50ul | 产品价格: | ¥1180.0 |
|---|---|---|---|
| 规格: | 100ul | 产品价格: | ¥1980.0 |
| 规格: | 200ul | 产品价格: | ¥2800.0 |
| 产品编号 | bs-3555R |
| 英文名称 | CDC42 Rabbit pAb |
| 中文名称 | 细胞分化周期CDC42蛋白抗体 |
| 英文别名 | CDC 42; CDC42Hs; Cell division control protein 42 homolog; Cell division cycle 42; Cell division cycle 42 isoform 1; Cell division cycle 42 isoform 2; dJ224A6.1.1; dJ224A6.1.2; G25K; G25K GTP binding protein; Growth regulating protein; GTP binding protein 25kD; Small GTP binding protein CDC42; CDC42_HUMAN. |
| 产品应用 | WB=1:500-2000, IHC-P=1:100-500, IHC-F=1:100-500, IF=1:100-500 Not yet tested in other applications. |
| 交叉反应 | Mouse, Rat (Human, Chicken, Dog, Pig, Cow, Horse, Rabbit) |
| 抗体来源 | Rabbit |
| 免疫原 | KLH conjugated synthetic peptide derived from human CDC42 |
| 亚型 | IgG |
| 性状 | Liquid |
| 纯化方法 | affinity purified by Protein A |
| 克隆类型 | Polyclonal |
| 理论分子量 | 25 kDa |
| 浓度 | 1mg/ml |
| 储存液 | 0.01M TBS (pH7.4) with 1% BSA, 0.02% Proclin300 and 50% Glycerol. |
| 研究领域 | Cancer > Signal transduction > G protein signaling > Small G proteins > Ras family Cell Biology > Cell Cycle > Cell Division > Cytokinesis Epigenetics and Nuclear Signaling > Cell cycle > Kinases/Phosphatases Signal Transduction > Protein Trafficking > Vesicle Transport > Regulation Signal Transduction > Signaling Pathway > G Protein Signaling > Small G Proteins |
| 亚基 | The GTP-bound form interacts with CCPG1. Interacts with CDC42EP1, CDC42EP2, CDC42EP3, CDC42EP4, CDC42EP5, CDC42SE1, CDC42SE2, PARD6A, PARD6B and PARD6G (in a GTP-dependent manner). Interacts with activated CSPG4 and with BAIAP2. Interacts with Zizimin1/DOCK9 and Zizimin2/DOCK11, which activate it by exchanging GDP for GTP. Interacts with NET1 and ARHGAP33/TCGAP. Part of a complex with PARD3, PARD6A or PARD6B and PRKCI or PRKCZ. Interacts with USP6. May interact with ARHGEF16; responsible for the activation of CDC42 by the viral protein HPV16 E6. Interacts with NEK6. Part of a collagen stimulated complex involved in cell migration composed of CDC42, CRK, TNK2 and BCAR1/p130cas. |
| 亚细胞定位 | Cell membrane; Lipid-anchor; Cytoplasmic side (Potential). Cytoplasm, cytoskeleton, centrosome. Cytoplasm, cytoskeleton, spindle. Midbody. |
| 翻译后修饰 | AMPylation at Tyr-32 and Thr-35 are mediated by bacterial enzymes in case of infection by H.somnus and V.parahaemolyticus, respectively. AMPylation occurs in the effector region and leads to inactivation of the GTPase activity by preventing the interaction with downstream effectors, thereby inhibiting actin assembly in infected cells. It is unclear whether some human enzyme mediates AMPylation; FICD has such ability in vitro but additional experiments remain to be done to confirm results in vivo. |
| 相似性 | Belongs to the small GTPase superfamily. Rho family. CDC42 subfamily. |
| 功能 | Plasma membrane-associated small GTPase which cycles between an active GTP-bound and an inactive GDP-bound state. In active state binds to a variety of effector proteins to regulate cellular responses. Involved in epithelial cell polarization processes. Regulates the bipolar attachment of spindle microtubules to kinetochores before chromosome congression in metaphase. Plays a role in the extension and maintenance of the formation of thin, actin-rich surface projections called filopodia. Mediates CDC42-dependent cell migration. |
| 保存条件 | Shipped at 4℃. Store at -20℃ for one year. Avoid repeated freeze/thaw cycles. |
| 注意事项 | This product as supplied is intended for research use only, not for use in human, therapeutic or diagnostic applications. |
| 背景资料 | The protein encoded by this gene is a small GTPase of the Rho-subfamily, which regulates signaling pathways that control diverse cellular functions including cell morphology, migration, endocytosis and cell cycle progression. This protein is highly similar to Saccharomyces cerevisiae Cdc 42, and is able to complement the yeast cdc42-1 mutant. The product of oncogene Dbl was reported to specifically catalyze the dissociation of GDP from this protein. This protein could regulate actin polymerization through its direct binding to Neural Wiskott-Aldrich syndrome protein (N-WASP), which subsequently activates Arp2/3 complex. Alternative splicing of this gene results in multiple transcript variants. Pseudogenes of this gene have been identified on chromosomes 3, 4, 5, 7, 8 and 20. [provided by RefSeq, Apr 2013] |
| 应用 | 推荐稀释比例 |
| {WB} | {1:500-2000} |
| {IHC-P} | {1:100-500} |
| {IHC-F} | {1:100-500} |
| {IF} | {1:100-500} |

placenta (Mouse) Lysate at 40 ug
Primary: Anti-CDC42 (bs-3555R) at 1/300 dilution
Secondary: IRDye800CW Goat Anti-Rabbit IgG at 1/20000 dilution
Predicted band size: 25 kD
Observed band size: 25 kD

Primary: Anti-CDC42 (bs-3555R) at 1/300 dilution
Secondary: IRDye800CW Goat Anti-Rabbit IgG at 1/20000 dilution
Predicted band size: 25 kD
Observed band size: 28 kD

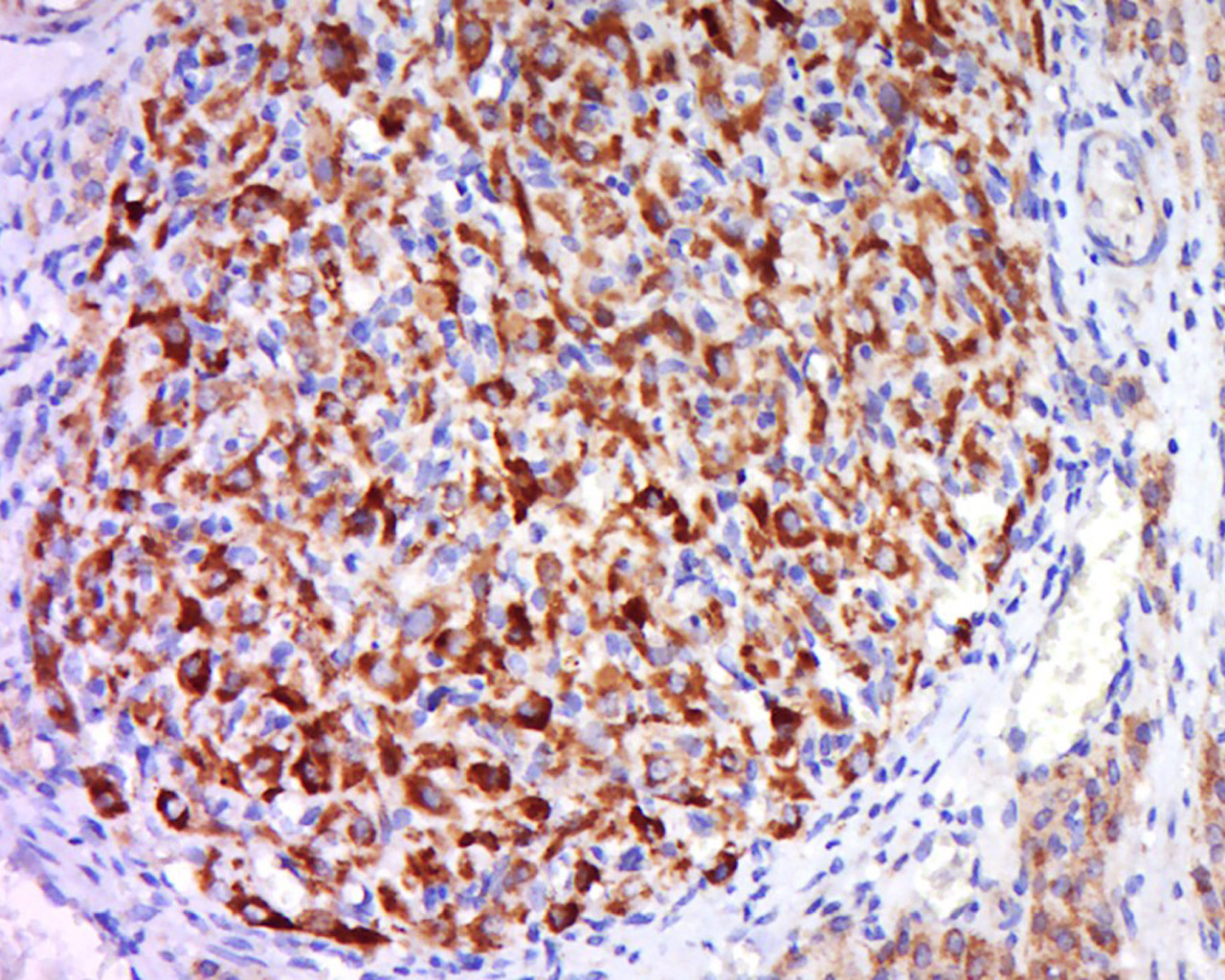
Antigen retrieval: citrate buffer ( 0.01M, pH 6.0 ), Boiling bathing for 15min; Block endogenous peroxidase by 3% Hydrogen peroxide for 30min; Blocking buffer (normal goat serum,C-0005) at 37℃ for 20 min;
Incubation: Anti-CDC42 Polyclonal Antibody, Unconjugated(bs-3555R) 1:600, overnight at 4°C, followed by conjugation to the secondary antibody(SP-0023) and DAB(C-0010) staining

风险提示:丁香通仅作为第三方平台,为商家信息发布提供平台空间。用户咨询产品时请注意保护个人信息及财产安全,合理判断,谨慎选购商品,商家和用户对交易行为负责。对于医疗器械类产品,请先查证核实企业经营资质和医疗器械产品注册证情况。
文献和实验[IF={{ 6.208 }}] {Yao Wang. et al. AKBA Promotes Axonal Regeneration via RhoA/Rictor to Repair Damaged Sciatic Nerve. INT J MOL SCI. 2022 Jan;23(24):15903} {WB} {Rat}
[IF={{ 3.647 }}] {Xu Li. et al. Gonadotropin-inhibiting hormone promotes apoptosis of bovine ovary granulosa cells. Life Sci. 2021 Apr;270:119063} {WB} {Bovine}
[IF={{ 3.448 }}] {Yu C et al. LncRNA AC009022. 1 enhances colorectal cancer cells proliferation, migration, and invasion by promoting ACTR3B expression via suppressing miR‐497‐5p. J Cell Biochem. 2019 Oct 21.} {WB} {Human}
[IF={{ 2.049 }}] {Lei Q et al. HEV ORF3 down‐regulates CD14 and CD64 to impair macrophages phagocytosis through inhibiting JAK/STAT pathway. Journal of Medical Virology. 2019.} {WB} {Human}
= NAL), appears to form upon oxidative cyclization of the nonfluorescent 2:1 lysine-HNE Michael adduct-Schiff base cross-link (Scheme 1). Polyclonal antibody (PAb) to the NAL-HNE fluorophore was raised in rabbit and found to be highly specific
GE Healthcare Benzamidine Sepharose™ 6B is p-aminobenzamidine covalently attached to Sepharose 6B by the epoxy coupling method. p-Aminobenzamidine (PAB), is a synthetic inhibitor of trypsin-like serine protease. Trypsin and trypsin
Nucleic Acid Programmable Protein Arrays: Versatile Tools for Array‐Based Functional Protein Studies
.g., Sigma) 50 mg/ml bis‐sulfosuccinimdylsuberate (BS3 ;Pierce, cat. no. PI 21580) in dimethylsulfoxide (DMSO) 5 mg/ml
技术资料暂无技术资料 索取技术资料





