相关产品推荐更多 >

Histone H4 (Acetyl K16) Rabbit pAb, APC conjugated(bs-4707R-APC)-100ul
¥2980
IER5 Rabbit pAb(bs-15526R)-50ul/100ul/200ul
¥1180
Calnexin Rabbit pAb, PE-Cy5.5 conjugated(bs-1693R-PE-Cy5.5)-100ul
¥2980
PKC delta Rabbit pAb(bs-23441R)-50ul/100ul/200ul
¥1180
GPR48 Rabbit pAb, PE-Cy7 conjugated(bs-10054R-PE-Cy7)-100ul
¥2980
万千商家帮你免费找货
0 人在求购买到急需产品
- 详细信息
- 文献和实验
- 技术资料
- 应用范围:
产品信息以Bioss网站为准
- 规格:
50ul/100ul/200ul
| 规格: | 50ul | 产品价格: | ¥1180.0 |
|---|---|---|---|
| 规格: | 100ul | 产品价格: | ¥1980.0 |
| 规格: | 200ul | 产品价格: | ¥2800.0 |
| 产品编号 | bs-2343R |
| 英文名称 | EPO Rabbit pAb |
| 中文名称 | 红细胞生成素抗体 |
| 英文别名 | EPO_HUMAN; Erythropoietin; Epoetin; EP; DBAL; ECYT5; MVCD2; |
| 产品应用 | WB=1:500-2000, IHC-P=1:100-500, IHC-F=1:100-500, IF=1:100-500 Not yet tested in other applications. |
| 交叉反应 | Human, Rat (Mouse, Dog, Pig, Cow, Horse, Rabbit, Sheep) |
| 抗体来源 | Rabbit |
| 免疫原 | KLH conjugated synthetic peptide derived from human Erythropoietin |
| 亚型 | IgG |
| 性状 | Liquid |
| 纯化方法 | affinity purified by Protein A |
| 克隆类型 | Polyclonal |
| 理论分子量 | 28 kDa |
| 浓度 | 1mg/ml |
| 储存液 | 0.01M TBS (pH7.4) with 1% BSA, 0.02% Proclin300 and 50% Glycerol. |
| 研究领域 | Cancer > Cancer Metabolism > Response to hypoxia Cardiovascular > Angiogenesis > Growth Factors Cardiovascular > Blood > Erythrocytes Developmental Biology > Organogenesis > Hematopoietic system development Epigenetics and Nuclear Signaling > ChIP assays > ChIP kits Metabolism > Pathways and Processes > Metabolism processes > Hypoxia Signal Transduction > Growth Factors/Hormones > Hormones Stem Cells > Hematopoietic Progenitors > Intracellular Molecules |
| 亚细胞定位 | Secreted. |
| 组织特异性 | Produced by kidney or liver of adult mammals and by liver of fetal or neonatal mammals. |
| 相似性 | Belongs to the EPO/TPO family. |
| 功能 | Erythropoietin is the principal hormone involved in the regulation of erythrocyte differentiation and the maintenance of a physiological level of circulating erythrocyte mass. |
| 保存条件 | Shipped at 4℃. Store at -20℃ for one year. Avoid repeated freeze/thaw cycles. |
| 注意事项 | This product as supplied is intended for research use only, not for use in human, therapeutic or diagnostic applications. |
| 背景资料 | Human erythropoietin is member of the EPO/TPO family and encodes a secreted, glycosylated cytokine hormone composed of four alpha helical bundles. The protein is found in the plasma and regulates red cell production by promoting erythroid differentiation and initiating hemoglobin synthesis. This protein also has neuroprotective activity against a variety of potential brain injuries and antiapoptotic functions in several tissue types. It is produced by kidney or liver of adult mammals and by liver of fetal or neonatal mammals. |
| 应用 | 推荐稀释比例 |
| {WB} | {1:500-2000} |
| {IHC-P} | {1:100-500} |
| {IHC-F} | {1:100-500} |
| {IF} | {1:100-500} |

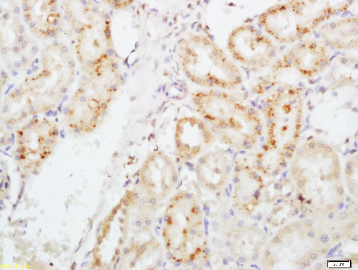
Antigen retrieval: citrate buffer ( 0.01M, pH 6.0 ), Boiling bathing for 15min; Block endogenous peroxidase by 3% Hydrogen peroxide for 30min; Blocking buffer (normal goat serum,C-0005) at 37℃ for 20 min;
Incubation: Anti-EPO Polyclonal Antibody, Unconjugated(bs-2343R) 1:200, overnight at 4°C, followed by conjugation to the secondary antibody(SP-0023) and DAB(C-0010) staining

Lane 1: Rat Liver tissue lysates
Lane 2: Human HepG2 cell lysates
Primary: Anti-EPO (bs-2343R) at 1/1000 dilution
Secondary: IRDye800CW Goat Anti-Rabbit IgG at 1/20000 dilution
Predicted band size: 28 kDa
Observed band size: 33 kDa
风险提示:丁香通仅作为第三方平台,为商家信息发布提供平台空间。用户咨询产品时请注意保护个人信息及财产安全,合理判断,谨慎选购商品,商家和用户对交易行为负责。对于医疗器械类产品,请先查证核实企业经营资质和医疗器械产品注册证情况。
文献和实验[IF={{ 7.338 }}] {Giraud S et al. The inhibition of eIF5A hypusination by GC7, a preconditioning protocol to prevent brain death‐induced renal injuries in a preclinical porcine kidney transplantation model. Am J Transplant. 2020 Dec;20(12):3326-3340.} {WB} {Pig}
[IF={{ 6.6 }}] {Ling Tang. et al. Construction of ROS-Responsive Hyaluronic Acid Modified Paclitaxel and Diosgenin Liposomes and Study on Synergistic Enhancement of Anti-Ovarian Cancer Efficacy. INT J NANOMED. 2024 六月 04} {IHC} {Mouse}
[IF={{ 6.458 }}] {Yi-Fang Wu. et al. VEGF loaded nanofiber membranes inhibit chronic cerebral hypoperfusion-induced cognitive dysfunction by promoting HIF-1a/VEGF mediated angiogenesis. NANOMED-NANOTECHNOL. 2023 Feb;48:102639} {WB} {Rat}
[IF={{ 4.8 }}] {Haipiao Huang. et al. Jian-Pi-Yi-Shen formula ameliorates renal fibrosis-induced anemia in rats with chronic kidney disease. J ETHNOPHARMACOL. 2024 Dec;335:118607} {IHC} {Rat}
[IF={{ 4.5 }}] {Mo Liu. et al. Methotrexate-modified docetaxel liposome targeting with ginsenoside Rh2 as a membrane stabilizer for the treatment of ovarian cancer. J DRUG DELIV SCI TEC. 2024 Sep;98:105917} {IF} {Mouse}
= NAL), appears to form upon oxidative cyclization of the nonfluorescent 2:1 lysine-HNE Michael adduct-Schiff base cross-link (Scheme 1). Polyclonal antibody (PAb) to the NAL-HNE fluorophore was raised in rabbit and found to be highly specific
/96T 2000/3000 进口分装 F0021 骨成型蛋白-9(BMP-9) ELISA 48T/96T 2000/3000 进口分装 F0022 BMP-R1A ELISA 48T/96T 2000/3000 进口分装 F0023 BMP-R2 ELISA 48T/96T 2000/3000 进口分装 F0024 BTC ELISA 48T/96T 2000/3100 进口分装 F0030 CAE-Ab ELISA 96
/96T 2000/3000 进口分装 F0021 骨成型蛋白-9(BMP-9) ELISA 48T/96T 2000/3000 进口分装 F0022 BMP-R1A ELISA 48T/96T 2000/3000 进口分装 F0023 BMP-R2 ELISA 48T/96T 2000/3000 进口分装 F0024 BTC ELISA 48T/96T 2000/3100 进口分装 F0030 CAE-Ab ELISA 96
技术资料暂无技术资料 索取技术资料





