相关产品推荐更多 >

SATB2 Rabbit pAb, BF680 conjugated(bs-11949R-BF680)-100ul
¥2980
ARL13B Rabbit pAb(bs-21493R)-50ul/100ul/200ul
¥1180
PODXL Rabbit pAb(bs-20488R)-50ul/100ul/200ul
¥1180
PRTFDC1 Rabbit pAb(bs-19446R)-50ul/100ul/200ul
¥1180
Amyloid Precursor Protein Rabbit pAb, PerCP-Cy5.5 conjugated(bs-0112R-PerCP-Cy5.5)-100ul
¥2980
万千商家帮你免费找货
0 人在求购买到急需产品
- 详细信息
- 文献和实验
- 技术资料
- 应用范围:
产品信息以Bioss网站为准
- 规格:
50ul/100ul/200ul
| 规格: | 50ul | 产品价格: | ¥1180.0 |
|---|---|---|---|
| 规格: | 100ul | 产品价格: | ¥1980.0 |
| 规格: | 200ul | 产品价格: | ¥2800.0 |
| 产品编号 | bs-0169R |
| 英文名称 | Caspase-1 P10 Rabbit pAb |
| 中文名称 | 天冬氨酸-胱氨酸特异性蛋白酶家族抗体 |
| 英文别名 | caspase-1 isoform alpha p10 subunit; CASP 1; CASP1; Caspase 1 apoptosis related cysteine peptidase; Caspase 1 apoptosis related cysteine protease; Caspase1; ICE; IL 1 beta converting enzyme; IL 1BC; IL1B convertase; IL1BC; IL1BCE; Interleukin 1 beta convertase; Interleukin 1 beta convertase precursor; Interleukin 1 beta converting enzyme; CASP-1; Interleukin-1 beta convertase; IL-1BC; Interleukin-1 beta-converting enzyme; ICE; IL-1 beta-converting enzyme; p45; Caspase-1 subunit p10; CASP1_HUMAN. |
| 产品应用 | IHC-P=1:100-500, IHC-F=1:100-500, IF=1:100-500, Flow-Cyt=1ug/Test Not yet tested in other applications. |
| 交叉反应 | Human, Mouse, Rat |
| 抗体来源 | Rabbit |
| 免疫原 | KLH conjugated synthetic peptide derived from human Caspase-1 |
| 亚型 | IgG |
| 性状 | Liquid |
| 纯化方法 | affinity purified by Protein A |
| 克隆类型 | Polyclonal |
| 理论分子量 | 10/45 kDa |
| 浓度 | 1mg/ml |
| 储存液 | 0.01M TBS (pH7.4) with 1% BSA, 0.02% Proclin300 and 50% Glycerol. |
| 研究领域 | Cancer > Cancer Metabolism > Response to hypoxia Cancer > Cell Death > Apoptosis > Apoptosis Markers > Caspases Cancer > Cell Death > Apoptosis > Metabolism Cancer > Invasion/microenvironment > Apoptosis > Caspases Cell Biology > Apoptosis > Intracellular > Caspases etc > Caspases Metabolism > Pathways and Processes > Metabolism processes > Apoptosis Metabolism > Pathways and Processes > Metabolism processes > Hypoxia |
| 亚基 | Heterotetramer that consists of two anti-parallel arranged heterodimers, each one formed by a 20 kDa (p20) and a 10 kDa (p10) subunit. The p20 subunit can also form a heterodimer with the epsilon isoform which then has an inhibitory effect. May be a component of the inflammasome, a protein complex which also includes PYCARD, CARD8 and NALP2 and whose function would be the activation of proinflammatory caspases. Interacts with CARD17/INCA and CARD18. |
| 亚细胞定位 | Cytoplasm. |
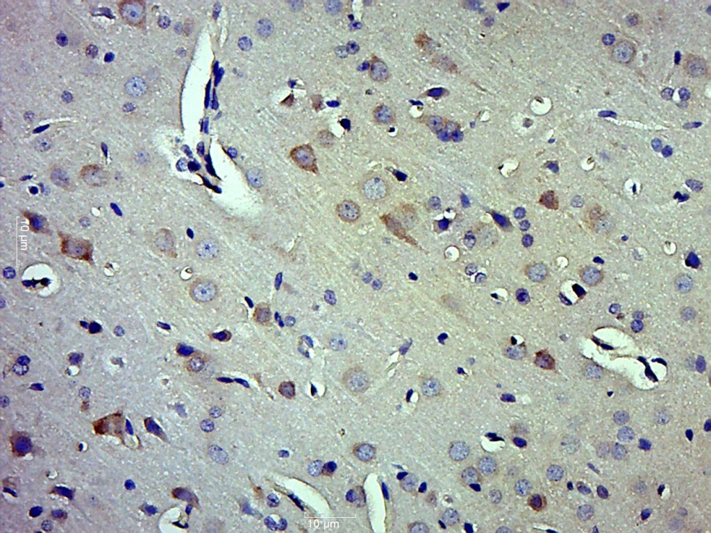
| 组织特异性 | Expressed in larger amounts in spleen and lung. Detected in liver, heart, small intestine, colon, thymus, prostate, skeletal muscle, peripheral blood leukocytes, kidney and testis. No expression in the brain. |
| 翻译后修饰 | The two subunits are derived from the precursor sequence by an autocatalytic mechanism. |
| 相似性 | Belongs to the peptidase C14A family.
Contains 1 CARD domain. |
| 功能 | Thiol protease that cleaves IL-1 beta between an Asp and an Ala, releasing the mature cytokine which is involved in a variety of inflammatory processes. Important for defense against pathogens. Cleaves and activates sterol regulatory element binding proteins (SREBPs). Can also promote apoptosis. |
| 保存条件 | Shipped at 4℃. Store at -20℃ for one year. Avoid repeated freeze/thaw cycles. |
| 注意事项 | This product as supplied is intended for research use only, not for use in human, therapeutic or diagnostic applications. |
| 背景资料 | This gene encodes a protein which is a member of the cysteine-aspartic acid protease (caspase) family. Sequential activation of caspases plays a central role in the execution-phase of cell apoptosis. Caspases exist as inactive proenzymes which undergo proteolytic processing at conserved aspartic residues to produce 2 subunits, large and small, that dimerize to form the active enzyme. This gene was identified by its ability to proteolytically cleave and activate the inactive precursor of interleukin-1, a cytokine involved in the processes such as inflammation, septic shock, and wound healing. This gene has been shown to induce cell apoptosis and may function in various developmental stages. Studies of a similar gene in mouse suggest a role in the pathogenesis of Huntington disease. Alternative splicing of this gene results in five transcript variants encoding distinct isoforms. [provided by RefSeq]. |
| 应用 | 推荐稀释比例 |
| {IHC-P} | {1:100-500} |
| {IHC-F} | {1:100-500} |
| {IF} | {1:100-500} |
| {Flow-Cyt} | {1ug/Test} |

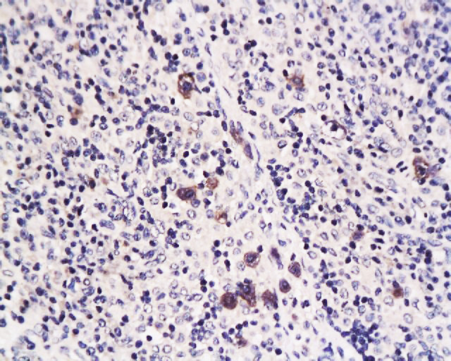
Antigen retrieval: citrate buffer ( 0.01M, pH 6.0 ), Boiling bathing for 15min; Block endogenous peroxidase by 3% Hydrogen peroxide for 30min; Blocking buffer (normal goat serum,C-0005) at 37℃ for 20 min;
Incubation: Anti-Caspase-1 Polyclonal Antibody, Unconjugated(bs-0169R) 1:200, overnight at 4°C, followed by conjugation to the secondary antibody(SP-0023) and DAB(C-0010) staining

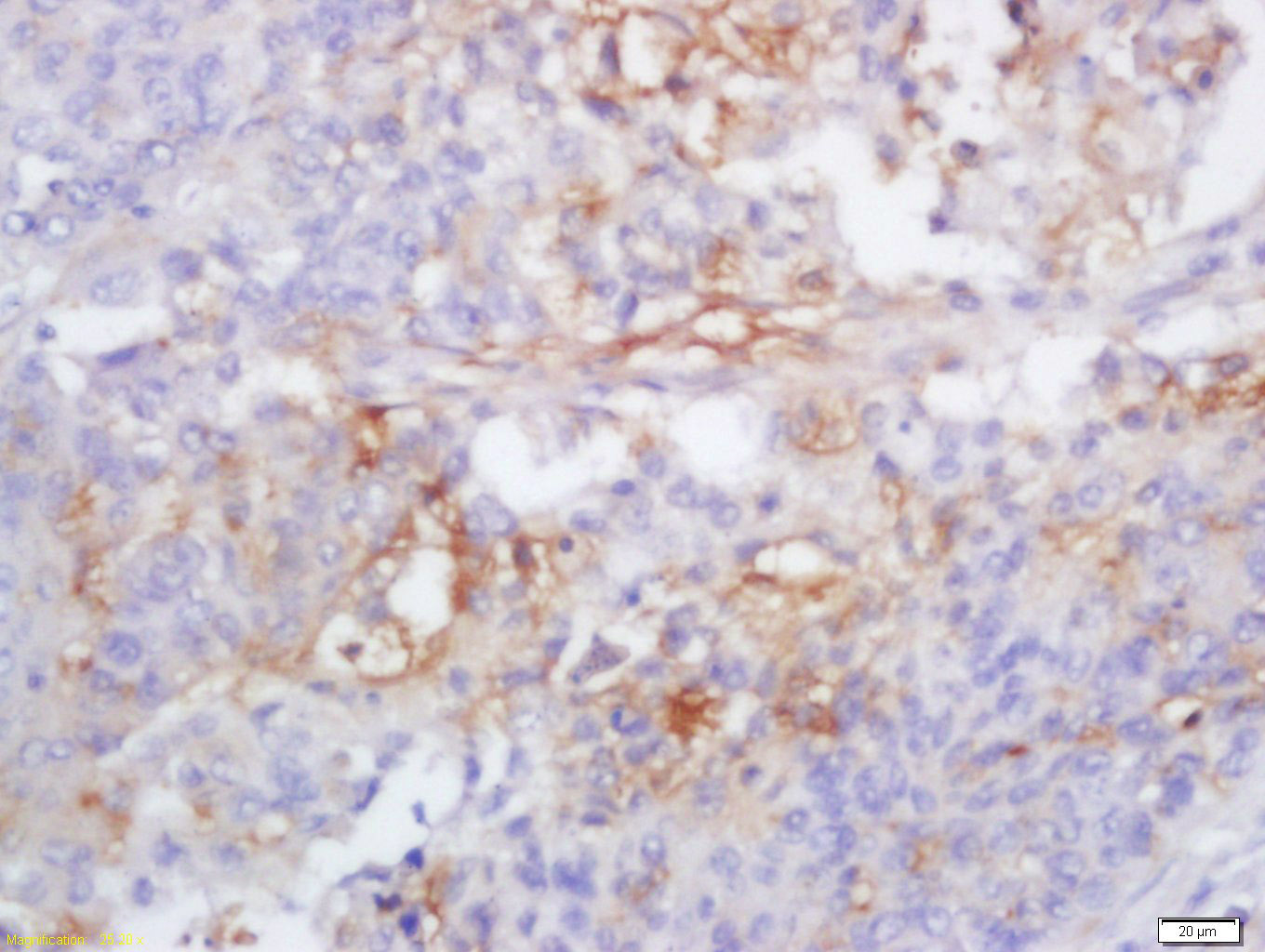
Antigen retrieval: citrate buffer ( 0.01M, pH 6.0 ), Boiling bathing for 15min; Block endogenous peroxidase by 3% Hydrogen peroxide for 30min; Blocking buffer (normal goat serum,C-0005) at 37℃ for 20 min;
Incubation: Anti-Caspase-1 Polyclonal Antibody, Unconjugated(bs-0169R) 1:200, overnight at 4°C, followed by conjugation to the secondary antibody(SP-0023) and DAB(C-0010) staining



Primary Antibody (green line): Rabbit Anti-Caspase-1 P10 antibody (bs-0169R)
Dilution: 1μg /10^6 cells;
Isotype Control Antibody (orange line): Rabbit IgG .
Secondary Antibody : Goat anti-rabbit IgG-AF488
Dilution: 1μg /test.
Protocol
The cells were fixed with 4% PFA (10min at room temperature)and then permeabilized with 0.1% PBST for 20 min at room temperature. The cells were then incubated in 5%BSA to block non-specific protein-protein interactions for 30 min at room temperature .Cells stained with Primary Antibody for 30 min at room temperature. The secondary antibody used for 40 min at room temperature. Acquisition of 20,000 events was performed.
风险提示:丁香通仅作为第三方平台,为商家信息发布提供平台空间。用户咨询产品时请注意保护个人信息及财产安全,合理判断,谨慎选购商品,商家和用户对交易行为负责。对于医疗器械类产品,请先查证核实企业经营资质和医疗器械产品注册证情况。
文献和实验[IF={{ 8.3 }}] {Shuo Liu. et al. Parkin-TLR4-NLRP3 Axis Directs Melatonin to Alleviate Atrazine-Induced Immune Impairment in Splenic Macrophages. J PINEAL RES. 2024 Dec;76(8):e70014} {WB,IF} {Mouse}
[IF={{ 8.025 }}] {Lihui Ni. et al. The combination of insulin and linezolid ameliorates Staphylococcus aureus pneumonia in individuals with diabetes via the TLR2/MAPKs/NLRP3 pathway. INT J BIOL MACROMOL. 2023 Jul;242:124750} {WB} {Mouse}
[IF={{ 6.8 }}] {Yahan Liu. et al. Deficiency of 5-HT2B receptors alleviates atherosclerosis by regulating macrophage phenotype through inhibiting interferon signalling. BRIT J PHARMACOL. 2024 Sep;:} {WB} {Mouse}
[IF={{ 6.8 }}] {Xueyan Zhang. et al. Role of NLRP3 in the exacerbation of ozone-induced allergic rhinitis. ECOTOX ENVIRON SAFE. 2023 Oct;265:115506} {WB} {Rat}
[IF={{ 6.073 }}] {Huang Li. et al. Gut microbiota decreased inflammation induced by chronic unpredictable mild stress through affecting NLRP3 inflammasome. FRONT CELL INFECT MI. 2023 May;13:558} {WB} {Rat}
技术资料暂无技术资料 索取技术资料





