相关产品推荐更多 >
万千商家帮你免费找货
0 人在求购买到急需产品
- 详细信息
- 文献和实验
- 技术资料
- 应用范围:
产品信息以Bioss网站为准
- 规格:
50ul/100ul/200ul
| 规格: | 50ul | 产品价格: | ¥1180.0 |
|---|---|---|---|
| 规格: | 100ul | 产品价格: | ¥1980.0 |
| 规格: | 200ul | 产品价格: | ¥2800.0 |
| 产品编号 | bs-1858R |
| 英文名称 | Netrin 1 Rabbit pAb |
| 中文名称 | 轴突导向因子1抗体 |
| 英文别名 | Netrin-1; Netrin1; Netrin 1; Ntn 1; NTN 1L; Ntn1; Ntn-1; NTN1L; Unc6. |
| 产品应用 | IHC-P=1:100-500, IHC-F=1:100-500, ICC/IF=1:100-500, IF=1:100-500 Not yet tested in other applications. |
| 交叉反应 | Human, Rat (Mouse, Chicken, Dog, Pig, Cow) |
| 抗体来源 | Rabbit |
| 免疫原 | KLH conjugated synthetic peptide derived from human NtN1 |
| 亚型 | IgG |
| 性状 | Liquid |
| 纯化方法 | affinity purified by Protein A |
| 克隆类型 | Polyclonal |
| 理论分子量 | 64 kDa |
| 浓度 | 1mg/ml |
| 储存液 | 0.01M TBS (pH7.4) with 1% BSA, 0.02% Proclin300 and 50% Glycerol. |
| 研究领域 | Neuroscience > Neurology process > Growth and Development > Axonal Guidance Proteins Neuroscience > Neurology process > Neurogenesis Signal Transduction > Cytoskeleton / ECM > Extracellular Matrix > ECM Proteins > Other ECM Proteins |
| 亚基 | Binds to its receptors; DCC, DSCAM, UNC5A, UNC5B, UNC5C and probably UNC5D. |
| 亚细胞定位 | Secreted, extracellular space, extracellular matrix. |
| 组织特异性 | Widely expressed in normal adult tissues with highest levels in heart, small intestine, colon, liver and prostate. Reduced expression in brain tumors and neuroblastomas. |
| 相似性 | Contains 3 laminin EGF-like domains. Contains 1 laminin N-terminal domain. Contains 1 NTR domain. |
| 功能 | Netrins control guidance of CNS commissural axons and peripheral motor axons. Its association with either DCC or some UNC5 receptors will lead to axon attraction or repulsion, respectively. It also serve as a survival factor via its association with its receptors which prevent the initiation of apoptosis. Involved in tumorigenesis by regulating apoptosis. |
| 保存条件 | Shipped at 4℃. Store at -20℃ for one year. Avoid repeated freeze/thaw cycles. |
| 注意事项 | This product as supplied is intended for research use only, not for use in human, therapeutic or diagnostic applications. |
| 背景资料 | Netrin is included in a family of laminin-related secreted proteins. The function of this gene has not yet been defined; however, netrin is thought to be involved in axon guidance and cell migration during development. Mutations and loss of expression of netrin suggest that variation in netrin may be involved in cancer development. [provided by RefSeq, Jul 2008] |
| 应用 | 推荐稀释比例 |
| {IHC-P} | {1:100-500} |
| {IHC-F} | {1:100-500} |
| {ICC/IF} | {1:100-500} |
| {IF} | {1:100-500} |



风险提示:丁香通仅作为第三方平台,为商家信息发布提供平台空间。用户咨询产品时请注意保护个人信息及财产安全,合理判断,谨慎选购商品,商家和用户对交易行为负责。对于医疗器械类产品,请先查证核实企业经营资质和医疗器械产品注册证情况。
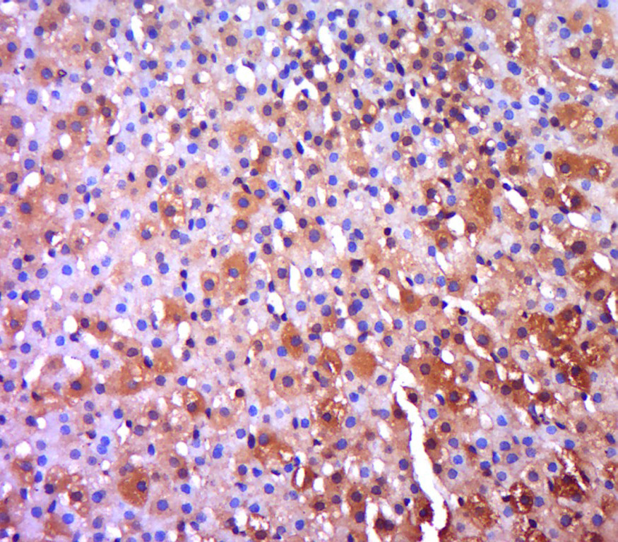
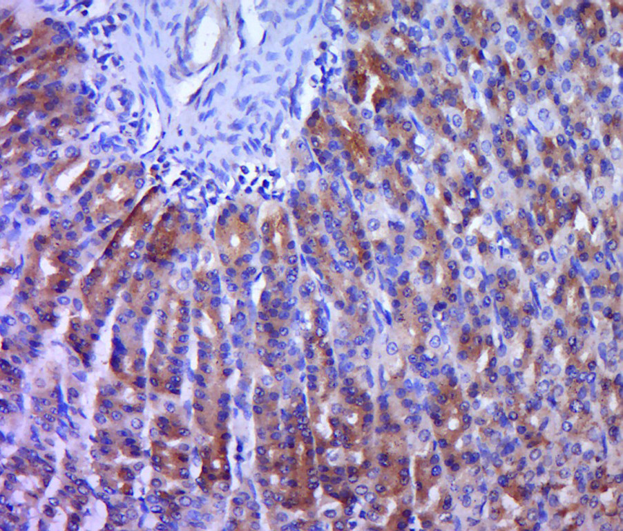
文献和实验[IF={{ 4.315 }}] {Zongding Wang. et al. Netrin-1 promotes liver regeneration possibly by facilitating vagal nerve repair after partial hepatectomy in mice. Cell Signal. 2022 Mar;91:110227} {IHC} {Mouse}
[IF={{ 3.8 }}] {Aysegul Ucuncu Kefeli. et al. Expression of netrin-1 in uterine serous carcinoma and its association with prognosis. INT J GYNECOL OBSTET. 2024 Apr;:} {IHC} {Human}
[IF={{ 3.467 }}] {Victor H. Guaiquil. et al. Expression of axon guidance ligands and their receptors in the cornea and trigeminal ganglia and their recovery after corneal epithelium injury. EXP EYE RES. Exp Eye Res. 2022 Apr;:109054} {IF} {Mouse}
[IF={{ 2.766 }}] {Chhabra V et al. Hypobaric hypoxia induced renal damage is mediated by altering redox pathway.PLoS One. 2018 Jul 13;13(7):e0195701.} {ELISA} {Rat}
[IF={{ 10.2 }}] {Deng Zihan. et al. Gold nanoparticles exhibit anti-osteoarthritic effects via modulating interaction of the “microbiota-gut-joint” axis. J NANOBIOTECHNOL. 2024 Dec;22(1):1-23} {IF} {Mouse}
技术资料暂无技术资料 索取技术资料










