相关产品推荐更多 >
万千商家帮你免费找货
0 人在求购买到急需产品
- 详细信息
- 文献和实验
- 技术资料
- 应用范围:
产品信息以Bioss网站为准
- 规格:
50ul/100ul/200ul
| 规格: | 50ul | 产品价格: | ¥1180.0 |
|---|---|---|---|
| 规格: | 100ul | 产品价格: | ¥1980.0 |
| 规格: | 200ul | 产品价格: | ¥2800.0 |
| 产品编号 | bs-3562R |
| 英文名称 | RelB Rabbit pAb |
| 中文名称 | 核转录因子NFKB-RelB蛋白抗体 |
| 英文别名 | Rel B; I REL; IREL; Nuclear factor of kappa light polypeptide gene enhancer in B cells 3; RelB; Reticuloendotheliosis viral oncogene homolog B; Transcription factor RelB; v rel avian reticuloendotheliosis viral oncogene homolog; v rel reticuloendotheliosis viral oncogene homolog B; RELB_HUMAN; I-Rel. |
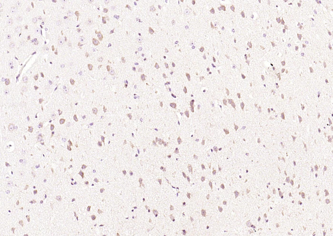
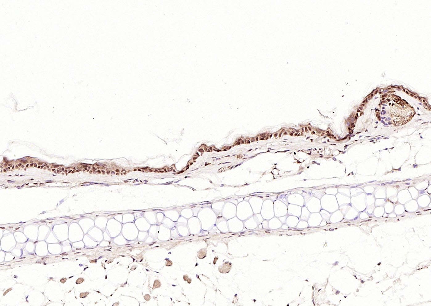
| 产品应用 | WB=1:500-2000, IHC-P=1:100-500, IHC-F=1:100-500, IF=1:100-500 Not yet tested in other applications. |
| 交叉反应 | Human, Mouse, Rat (Rabbit) |
| 抗体来源 | Rabbit |
| 免疫原 | KLH conjugated synthetic peptide derived from human RelB |
| 亚型 | IgG |
| 性状 | Liquid |
| 纯化方法 | affinity purified by Protein A |
| 克隆类型 | Polyclonal |
| 理论分子量 | 64 kDa |
| 浓度 | 1mg/ml |
| 储存液 | 0.01M TBS (pH7.4) with 1% BSA, 0.02% Proclin300 and 50% Glycerol. |
| 研究领域 | Cancer > Cell Death > Apoptosis > Apoptosis Markers > NFkB > RelB Cancer > Oncoproteins/suppressors > Oncoproteins > Transcription factors Cancer > Signal transduction > Nuclear signaling > NFkB pathway Cell Biology > Apoptosis > Intracellular > NFkB > RelB Epigenetics and Nuclear Signaling > Nuclear Signaling Pathways > NFkB pathway Epigenetics and Nuclear Signaling > Transcription > Transcription Factors Signal Transduction > Signaling Pathway > Nuclear Signaling > NFkB Pathway |
| 亚基 | Component of the NF-kappa-B RelB-p50 complex. Component of the NF-kappa-B RelB-p52 complex. Self-associates; the interaction seems to be transient and may prevent degradation allowing for heterodimer formation with p50 or p52. Interacts with NFKB1/p50, NFKB2/p52 and NFKB2/p100. Interacts with NFKBID. |
| 亚细胞定位 | Nucleus. Cytoplasm, cytoskeleton, centrosome. Note=Co-localizes with NEK6 in the centrosome. |
| 翻译后修饰 | Phosphorylation at 'Thr-103' and 'Ser-573' is followed by proteasomal degradation. |
| 相似性 | Contains 1 RHD (Rel-like) domain. |
| 功能 | NF-kappa-B is a pleiotropic transcription factor which is present in almost all cell types and is involved in many biological processed such as inflammation, immunity, differentiation, cell growth, tumorigenesis and apoptosis. NF-kappa-B is a homo- or heterodimeric complex formed by the Rel-like domain-containing proteins RELA/p65, RELB, NFKB1/p105, NFKB1/p50, REL and NFKB2/p52. The dimers bind at kappa-B sites in the DNA of their target genes and the individual dimers have distinct preferences for different kappa-B sites that they can bind with distinguishable affinity and specificity. Different dimer combinations act as transcriptional activators or repressors, respectively. NF-kappa-B is controlled by various mechanisms of post-translational modification and subcellular compartmentalization as well as by interactions with other cofactors or corepressors. NF-kappa-B complexes are held in the cytoplasm in an inactive state complexed with members of the NF-kappa-B inhibitor (I-kappa-B) family. In a conventional activation pathway, I-kappa-B is phosphorylated by I-kappa-B kinases (IKKs) in response to different activators, subsequently degraded thus liberating the active NF-kappa-B complex which translocates to the nucleus. NF-kappa-B heterodimeric RelB-p50 and RelB-p52 complexes are transcriptional activators. RELB neither associates with DNA nor with RELA/p65 or REL. Stimulates promoter activity in the presence of NFKB2/p49. As a member of the NUPR1/RELB/IER3 survival pathway, may provide pancreatic ductal adenocarcinoma with remarkable resistance to cell stress, such as starvation or gemcitabine treatment. |
| 保存条件 | Shipped at 4℃. Store at -20℃ for one year. Avoid repeated freeze/thaw cycles. |
| 注意事项 | This product as supplied is intended for research use only, not for use in human, therapeutic or diagnostic applications. |
| 背景资料 | The NFKB complex consists of NFKB1 or NFKB2 bound to REL, RELA, or RELB. The NFKB complex is inhibited by I kappa B proteins (NFKBIA, or NFKBIB), which inactivate NF kappa B by trapping it in the cytoplasm. Phosphorylation of serine residues on the I kappa B proteins by kinases (IKBKA, or IKBKB,) marks them for destruction via the ubiquitination pathway, thereby allowing activation of the NF kappa B complex. |
| 应用 | 推荐稀释比例 |
| {WB} | {1:500-2000} |
| {IHC-P} | {1:100-500} |
| {IHC-F} | {1:100-500} |
| {IF} | {1:100-500} |

Spleen (Mouse) Lysate at 40 ug
Lymph node (Mouse) Lysate at 40 ug
Spinal cord(Mouse) Lysate at 40 ug
Primary: Anti- RelB (bs-3562R) at 1/1000 dilution
Secondary: IRDye800CW Goat Anti-Rabbit IgG at 1/20000 dilution
Predicted band size: 64 kD
Observed band size: 64 kD

Lane 1: Human Raji cell lysates
Lane 2: Human Ramos cell lysates
Lane 3: Human HeLa cell lysates
Lane 4: Human Jurkat cell lysates
Primary: Anti-RelB (bs-3562R) at 1/500 dilution
Secondary: IRDye800CW Goat Anti-Rabbit IgG at 1/20000 dilution
Predicted band size: 64 kDa
Observed band size: 61 kDa






风险提示:丁香通仅作为第三方平台,为商家信息发布提供平台空间。用户咨询产品时请注意保护个人信息及财产安全,合理判断,谨慎选购商品,商家和用户对交易行为负责。对于医疗器械类产品,请先查证核实企业经营资质和医疗器械产品注册证情况。
文献和实验[IF={{ 4.546 }}] {Zi-Wei Wang. et al. Ex Vivo and In Vitro Studies Revealed Underlying Mechanisms of Immature Intestinal Inflammatory Responses Caused by Aflatoxin M1 Together with Ochratoxin A. Toxins. 2022 Mar;14(3):173} {WB} {Human}
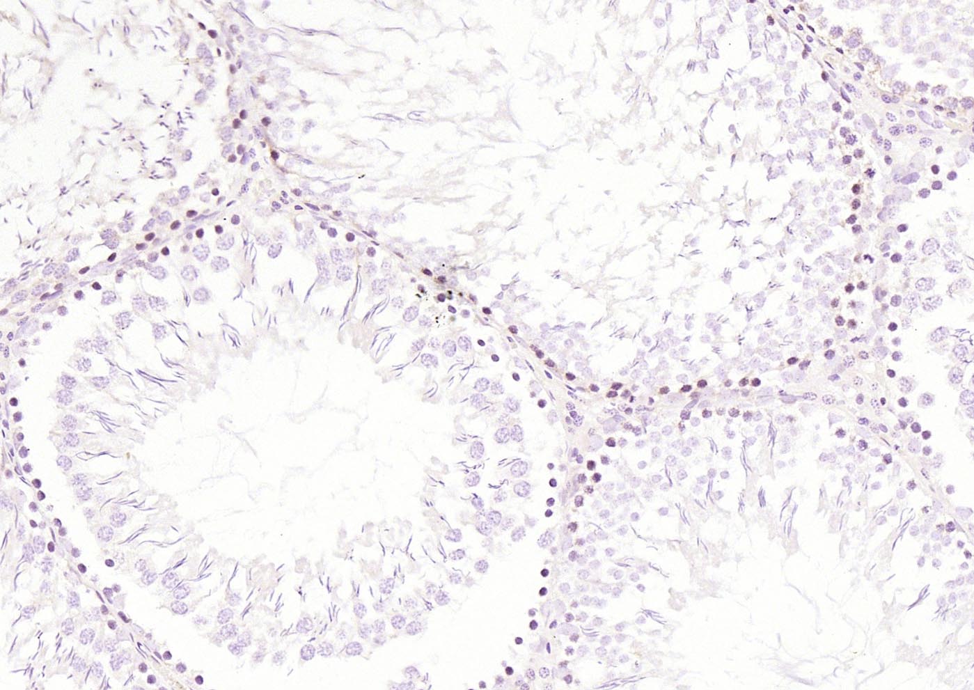
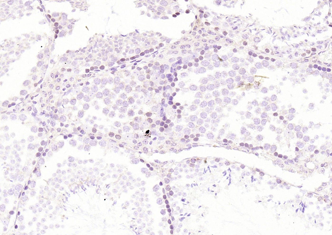
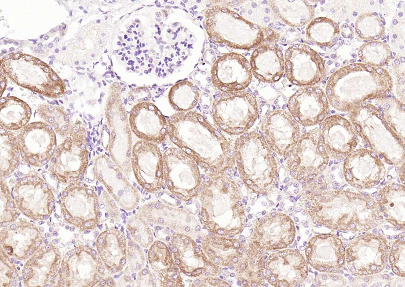
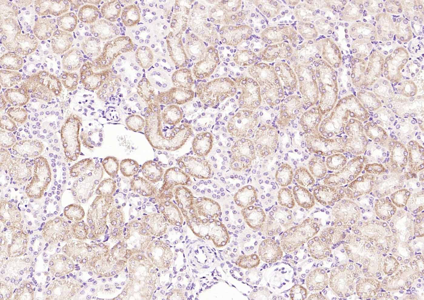
[IF={{ 0 }}] {Ta et al. Constitutive renal Rel/nuclear factor-κB expression in Lewis polycystic kidney disease rats. (2016) World.J.Nephro. 5:339-57} {IF} {Rat}
= NAL), appears to form upon oxidative cyclization of the nonfluorescent 2:1 lysine-HNE Michael adduct-Schiff base cross-link (Scheme 1). Polyclonal antibody (PAb) to the NAL-HNE fluorophore was raised in rabbit and found to be highly specific
GE Healthcare Benzamidine Sepharose™ 6B is p-aminobenzamidine covalently attached to Sepharose 6B by the epoxy coupling method. p-Aminobenzamidine (PAB), is a synthetic inhibitor of trypsin-like serine protease. Trypsin and trypsin
Nucleic Acid Programmable Protein Arrays: Versatile Tools for Array‐Based Functional Protein Studies
.g., Sigma) 50 mg/ml bis‐sulfosuccinimdylsuberate (BS3 ;Pierce, cat. no. PI 21580) in dimethylsulfoxide (DMSO) 5 mg/ml
技术资料暂无技术资料 索取技术资料









