相关产品推荐更多 >

Sphingomyelin Synthase 2 Rabbit pAb, HRP conjugated(bs-5694R-HRP)-100ul
¥2980
CD97 Rabbit pAb, APC-Cy7 conjugated(bs-2522R-APC-Cy7)-100ul
¥2980
ATG1/ULK1 Rabbit pAb, APC-Cy5.5 conjugated(bs-3602R-APC-Cy5.5)-100ul
¥2980
Galectin 3 Rabbit pAb, BF350 conjugated(bs-0721R-BF350)-100ul
¥2980
MAGIX Rabbit pAb, AP conjugated(bs-18630R-AP)-100ul
¥2980
万千商家帮你免费找货
0 人在求购买到急需产品
- 详细信息
- 文献和实验
- 技术资料
- 应用范围:
产品信息以Bioss网站为准
- 规格:
50ul/100ul/200ul
| 规格: | 50ul | 产品价格: | ¥1180.0 |
|---|---|---|---|
| 规格: | 100ul | 产品价格: | ¥1980.0 |
| 规格: | 200ul | 产品价格: | ¥2800.0 |
| 产品编号 | bs-16857R |
| 英文名称 | KRT83 Rabbit pAb |
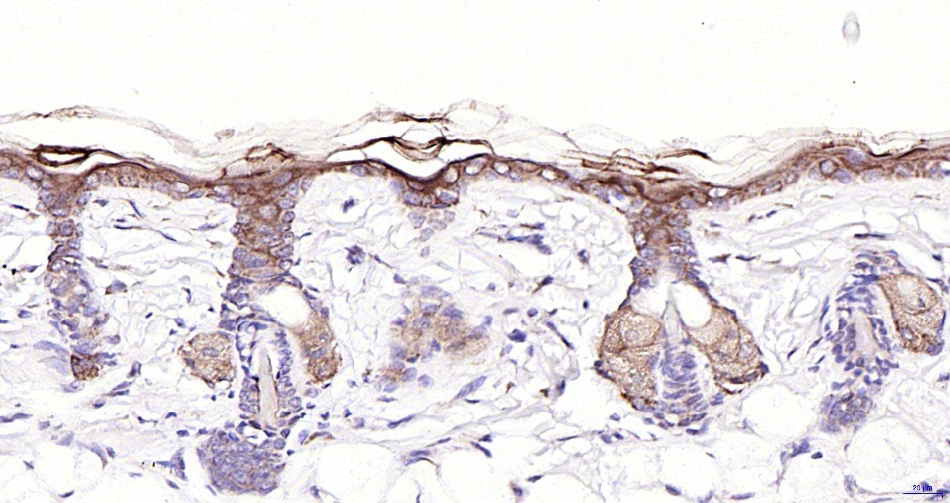
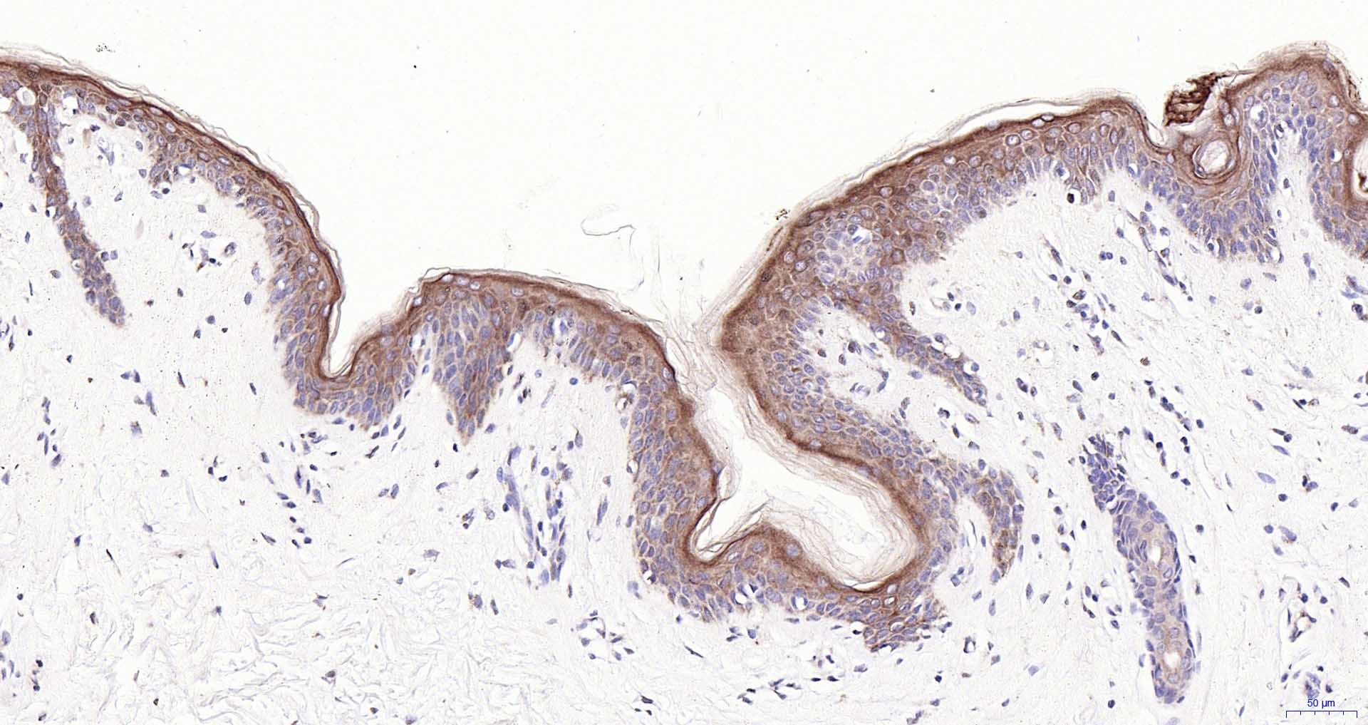
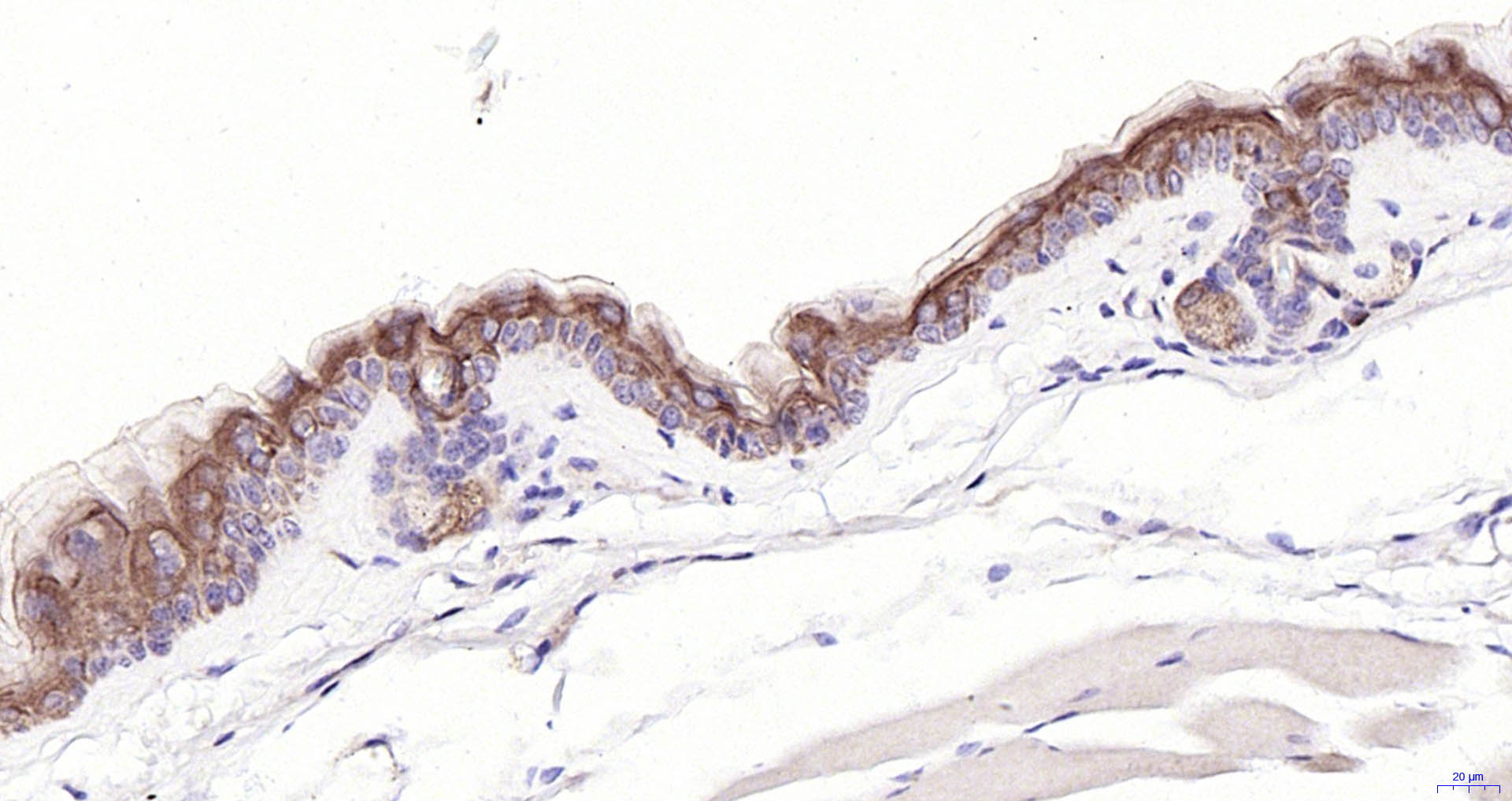
| 中文名称 | 角蛋白KRT83抗体 |
| 英文别名 | KRTHB3; Hair keratin K2.10; Hard keratin, type II, 3; HB 3; HB3; hHb3; K2.10; K83; Keratin 83; Keratin; Keratin, hair, basic, 3; Keratin-83; Krt83; KRT83_HUMAN; KRTHB3; type II cuticular Hb3; Type II hair keratin Hb3; Type-II keratin Kb23. |
| 产品应用 | IHC-P=1:100-500, IHC-F=1:100-500, IF=1:100-500 Not yet tested in other applications. |
| 交叉反应 | Human, Mouse, Rat (Cow, Sheep) |
| 抗体来源 | Rabbit |
| 免疫原 | KLH conjugated synthetic peptide derived from human KRT83 |
| 亚型 | IgG |
| 性状 | Liquid |
| 纯化方法 | affinity purified by Protein A |
| 克隆类型 | Polyclonal |
| 理论分子量 | 54 kDa |
| 浓度 | 1mg/ml |
| 储存液 | 0.01M TBS (pH7.4) with 1% BSA, 0.02% Proclin300 and 50% Glycerol. |
| 研究领域 | Signal Transduction > Cytoskeleton / ECM > Cytoskeleton > Intermediate Filaments > Class I > Keratin |
| 组织特异性 | Synthesis begins in the cortex 10-15 cell layers above the apex of the dermal papilla and ends abruptly in the middle of the cortex. |
| 相似性 | Belongs to the intermediate filament family. |
| 功能 | Heterotetramer of two type I and two type II keratins. |
| 保存条件 | Shipped at 4℃. Store at -20℃ for one year. Avoid repeated freeze/thaw cycles. |
| 注意事项 | This product as supplied is intended for research use only, not for use in human, therapeutic or diagnostic applications. |
| 背景资料 | This gene encodes a member of the keratin gene family. This gene is one of multiple type I hair keratin genes that are clustered in a region of chromosome 17q12-q21 and have the same direction of transcription. As a type I hair keratin, the encoded protein is an acidic protein which heterodimerizes with type II keratins to form hair and nails. There are two isoforms of this protein, encoded by two separate genes, keratin 33A and keratin 33B. [provided by RefSeq, May 2012] |
| 应用 | 推荐稀释比例 |
| {IHC-P} | {1:100-500} |
| {IHC-F} | {1:100-500} |
| {IF} | {1:100-500} |



风险提示:丁香通仅作为第三方平台,为商家信息发布提供平台空间。用户咨询产品时请注意保护个人信息及财产安全,合理判断,谨慎选购商品,商家和用户对交易行为负责。对于医疗器械类产品,请先查证核实企业经营资质和医疗器械产品注册证情况。
文献和实验= NAL), appears to form upon oxidative cyclization of the nonfluorescent 2:1 lysine-HNE Michael adduct-Schiff base cross-link (Scheme 1). Polyclonal antibody (PAb) to the NAL-HNE fluorophore was raised in rabbit and found to be highly specific
GE Healthcare Benzamidine Sepharose™ 6B is p-aminobenzamidine covalently attached to Sepharose 6B by the epoxy coupling method. p-Aminobenzamidine (PAB), is a synthetic inhibitor of trypsin-like serine protease. Trypsin and trypsin
Nucleic Acid Programmable Protein Arrays: Versatile Tools for Array‐Based Functional Protein Studies
.g., Sigma) 50 mg/ml bis‐sulfosuccinimdylsuberate (BS3 ;Pierce, cat. no. PI 21580) in dimethylsulfoxide (DMSO) 5 mg/ml
技术资料暂无技术资料 索取技术资料






