相关产品推荐更多 >

SMAD1 + SMAD5 Rabbit pAb, BF488 conjugated(bs-2973R-BF488)-100ul
¥2980
ADAR1 Rabbit pAb, AP conjugated(bs-2168R-AP)-100ul
¥2980
RPS6KA1 Rabbit pAb, PerCP-Cy5.5 conjugated(bs-10365R-PerCP-Cy5.5)-100ul
¥2980
FOXL2 Recombinant Rabbit mAb(bsm-60825R)-50ul/100ul/25ul
¥800
SARS-CoV-2 (2019-nCoV) Nucleocapsid Mouse mAb(bsm-41488M)-100ug/200ug
¥4000
万千商家帮你免费找货
0 人在求购买到急需产品
- 详细信息
- 文献和实验
- 技术资料
- 应用范围:
产品信息以Bioss网站为准
- 规格:
50ul/100ul/200ul
| 规格: | 50ul | 产品价格: | ¥1180.0 |
|---|---|---|---|
| 规格: | 100ul | 产品价格: | ¥1980.0 |
| 规格: | 200ul | 产品价格: | ¥2800.0 |
| 产品编号 | bs-15366R |
| 英文名称 | GPR92 Rabbit pAb |
| 中文名称 | G蛋白偶联受体GPR92蛋白抗体 |
| 英文别名 | GPCR GPR92; G-protein coupled receptor 92; G-protein coupled receptor 93; GPR92; GPR93; KPG_010; LPA receptor 5; LPA-5; LPA5; LPAR5; Lysophosphatidic acid receptor 5; LPAR5_HUMAN; GPCR 92. |
| 产品应用 | WB=1:500-2000, IHC-P=1:100-500, IHC-F=1:100-500, IF=1:100-500 Not yet tested in other applications. |
| 交叉反应 | Human, Mouse, Rat (Rabbit) |
| 抗体来源 | Rabbit |
| 免疫原 | KLH conjugated synthetic peptide derived from human GPR92 |
| 亚型 | IgG |
| 性状 | Liquid |
| 纯化方法 | affinity purified by Protein A |
| 克隆类型 | Polyclonal |
| 理论分子量 | 41 kDa |
| 浓度 | 1mg/ml |
| 储存液 | 0.01M TBS (pH7.4) with 1% BSA, 0.02% Proclin300 and 50% Glycerol. |
| 研究领域 | Signal Transduction > Signaling Pathway > G Protein Signaling > GPCR |
| 亚细胞定位 | Cell membrane; Multi-pass membrane protein. |
| 组织特异性 | Not expressed in frontal cortex, basal forebrain, caudate putamen, thalamus, or hippocampus. |
| 相似性 | Belongs to the G-protein coupled receptor 1 family. |
| 功能 | Receptor for lysophosphatidic acid (LPA), a mediator of diverse cellular activities. |
| 保存条件 | Shipped at 4℃. Store at -20℃ for one year. Avoid repeated freeze/thaw cycles. |
| 注意事项 | This product as supplied is intended for research use only, not for use in human, therapeutic or diagnostic applications. |
| 背景资料 | This gene encodes a member of the rhodopsin class of G protein-coupled transmembrane receptors. This protein transmits extracellular signals from lysophosphatidic acid to cells through heterotrimeric G proteins and mediates numerous cellular processes. Many G protein receptors serve as targets for pharmaceutical drugs. Transcript variants of this gene have been described.[provided by RefSeq, Dec 2008] |
| 应用 | 推荐稀释比例 |
| {WB} | {1:500-2000} |
| {IHC-P} | {1:100-500} |
| {IHC-F} | {1:100-500} |
| {IF} | {1:100-500} |

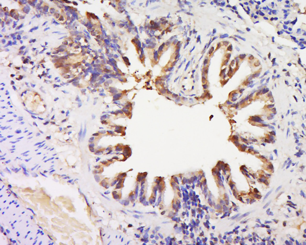
Antigen retrieval: citrate buffer ( 0.01M, pH 6.0 ), Boiling bathing for 15min; Block endogenous peroxidase by 3% Hydrogen peroxide for 30min; Blocking buffer (normal goat serum,C-0005) at 37℃ for 20 min;
Incubation: Anti-GPR92 Polyclonal Antibody, Unconjugated(bs-15366R) 1:500, overnight at 4°C, followed by conjugation to the secondary antibody(SP-0023) and DAB(C-0010) staining

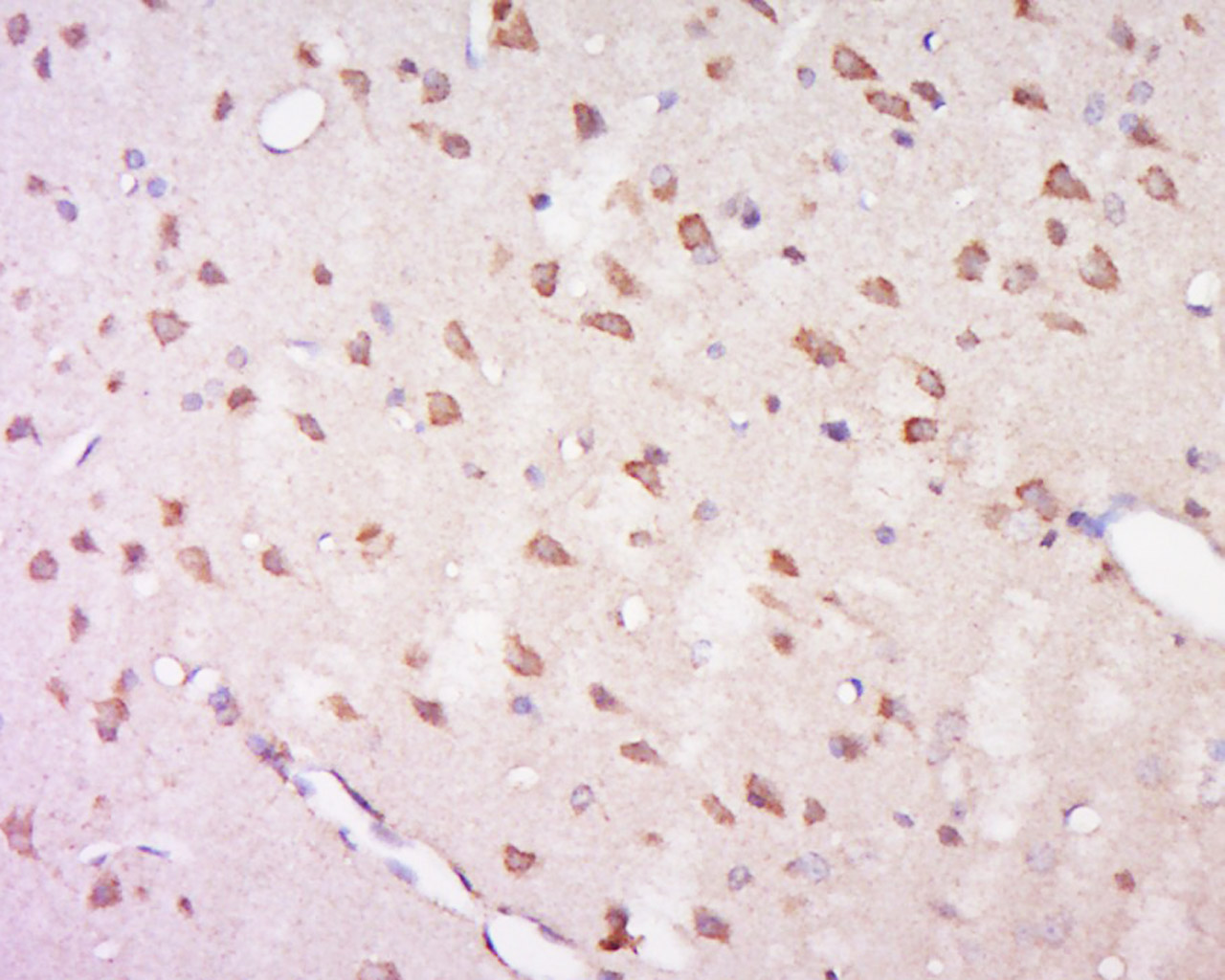
Antigen retrieval: citrate buffer ( 0.01M, pH 6.0 ), Boiling bathing for 15min; Block endogenous peroxidase by 3% Hydrogen peroxide for 30min; Blocking buffer (normal goat serum,C-0005) at 37℃ for 20 min;
Incubation: Anti-GPR92 Polyclonal Antibody, Unconjugated(bs-15366R) 1:500, overnight at 4°C, followed by conjugation to the secondary antibody(SP-0023) and DAB(C-0010) staining

Lane 1: Mouse Cerebrum tissue lysates
Lane 2: Rat Cerebrum tissue lysates
Lane 3: Human K562 cell lysates
Lane 4: Human A431 cell lysates
Lane 5: Human Jurkat cell lysates
Primary: Anti-GPR92 (bs-15366R) at 1/1000 dilution
Secondary: IRDye800CW Goat Anti-Rabbit IgG at 1/20000 dilution
Predicted band size: 41 kDa
Observed band size: 46 kDa
风险提示:丁香通仅作为第三方平台,为商家信息发布提供平台空间。用户咨询产品时请注意保护个人信息及财产安全,合理判断,谨慎选购商品,商家和用户对交易行为负责。对于医疗器械类产品,请先查证核实企业经营资质和医疗器械产品注册证情况。
文献和实验[IF={{ 9.77 }}] {Tang Y et al. PARP14 inhibits microglial activation via LPAR5 to promote post-stroke functional recoveryAutophagy.2020 Dec 15;1-18.} {WB} {Mouse}
[IF={{ 2.942 }}] {Xue Gang. et al. Identification of key genes of papillary thyroid carcinoma by integrated bioinformatics analysis. Bioscience Rep. 2020 Aug;40(8):BSR20201555} {WB} {Human}
[IF={{ 2.903 }}] {Xuling Zhang. et al. Effects of lysophosphatidic acid receptor 5 on NLRC4 inflammasome in brain tissues of transient cerebral ischemia/reperfusion rat:. Hum Exp Toxicol. 2022;():} {IF} {Rat}
[IF={{ 2.311 }}] {Bingsheng Yang. et al. Identification of prognostic biomarkers associated with metastasis and immune infiltration in osteosarcoma. Oncol Lett. 2021 Mar;21(3):1-1} {IHC} {Human}
= NAL), appears to form upon oxidative cyclization of the nonfluorescent 2:1 lysine-HNE Michael adduct-Schiff base cross-link (Scheme 1). Polyclonal antibody (PAb) to the NAL-HNE fluorophore was raised in rabbit and found to be highly specific
secondary antibody review -- data from 99 publications
whether any cell surface DFz2 had been internalized 4 flow cytometry localize of GPR30 in the endoplasmic reticulum 5 rhodamine immunocytochemistry detect kaposin B in SLK endothelial cells 6 IgG IgG2b Alexa Fluor 647 flow
) solution in waterand freeze aliquots at –20°C. 5. Water-saturated isobutanol. Store at RT. 6. Running buffer (10×): 250 mM Tris, 1.92 mM glycine, and1% (w/v) SDS. Store at RT. 7. Prestained molecular weight markers: Rainbow marker (GEHealthcare
技术资料暂无技术资料 索取技术资料






