相关产品推荐更多 >
万千商家帮你免费找货
0 人在求购买到急需产品
- 详细信息
- 文献和实验
- 技术资料
- 应用范围:
产品信息以Bioss网站为准
- 规格:
50ul/100ul/200ul
| 规格: | 50ul | 产品价格: | ¥1180.0 |
|---|---|---|---|
| 规格: | 100ul | 产品价格: | ¥1980.0 |
| 规格: | 200ul | 产品价格: | ¥2800.0 |
| 产品编号 | bs-10589R |
| 英文名称 | Collagen II Rabbit pAb |
| 中文名称 | Ⅱ型胶原蛋白抗体 |
| 英文别名 | Collagen II alpha 1; COL2A1; COL2A1 protein; collagen, type II, alpha 1; collagen alpha-1(II); type II collagen; alpha-1 type II collagen; alpha1 type II collagen; Col2a1; AOM; Cartilage collagen; Chondrocalcin; COL11A3; Collagen alpha 1(II) chain precursor; Collagen II alpha 1 polypeptide; Collagen type II alpha 1(primary osteoarthritis spondyloepiphyseal dysplasia congenital); MGC131516; SEDC; CO2A1_HUMAN. |
| 产品应用 | WB=1:500-2000, IHC-P=1:100-500, IHC-F=1:100-500, IF=1:100-500 Not yet tested in other applications. |
| 交叉反应 | Human, Mouse (Chicken, Dog, Pig, Cow, Horse, Rabbit) |
| 抗体来源 | Rabbit |
| 免疫原 | KLH conjugated synthetic peptide derived from human Collagen II |
| 亚型 | IgG |
| 性状 | Liquid |
| 纯化方法 | affinity purified by Protein A |
| 克隆类型 | Polyclonal |
| 理论分子量 | 117 kDa |
| 浓度 | 1mg/ml |
| 储存液 | 0.01M TBS (pH7.4) with 1% BSA, 0.02% Proclin300 and 50% Glycerol. |
| 亚基 | Homotrimers of alpha 1(II) chains. |
| 亚细胞定位 | Secreted, extracellular space, extracellular matrix. |
| 组织特异性 | Isoform 2 is highly expressed in juvenile chondrocyte and low in fetal chondrocyte. |
| 翻译后修饰 | Proline residues at the third position of the tripeptide repeating unit (G-X-Y) are hydroxylated in some or all of the chains. Proline residues at the second position of the tripeptide repeating unit (G-X-Y) are hydroxylated in some of the chains.
The N-telopeptide is covalently linked to the helical COL2 region of alpha 1(IX), alpha 2(IX) and alpha 3(IX) chain. The C-telopeptide is covalently linked to an another site in the helical region of alpha 3(IX) COL2. |
| 相似性 | Belongs to the fibrillar collagen family. Contains 1 fibrillar collagen NC1 domain. Contains 1 VWFC domain. |
| 功能 | Type II collagen is specific for cartilaginous tissues. It is essential for the normal embryonic development of the skeleton, for linear growth and for the ability of cartilage to resist compressive forces. |
| 保存条件 | Shipped at 4℃. Store at -20℃ for one year. Avoid repeated freeze/thaw cycles. |
| 注意事项 | This product as supplied is intended for research use only, not for use in human, therapeutic or diagnostic applications. |
| 背景资料 | This gene encodes the alpha-1 chain of type II collagen, a fibrillar collagen found in cartilage and the vitreous humor of the eye. Mutations in this gene are associated with achondrogenesis, chondrodysplasia, early onset familial osteoarthritis, SED congenita, Langer-Saldino achondrogenesis, Kniest dysplasia, Stickler syndrome type I, and spondyloepimetaphyseal dysplasia Strudwick type. In addition, defects in processing chondrocalcin, a calcium binding protein that is the C-propeptide of this collagen molecule, are also associated with chondrodysplasia. There are two transcripts identified for this gene. [provided by RefSeq, Jul 2008] |
| 应用 | 推荐稀释比例 |
| {WB} | {1:500-2000} |
| {IHC-P} | {1:100-500} |
| {IHC-F} | {1:100-500} |
| {IF} | {1:100-500} |

293T(Human) Cell Lysate at 30 ug
A549 (Human) Cell Lysate at 30 ug
LOVO (Human) Cell Lysate at 40 ug
MCF-7 (Human) Cell Lysate at 30 ug
HepG2 (Human) Cell Lysate at 30 ug
Primary: Anti-Collagen II (bs-10589R) at 1/300 dilution
Secondary: IRDye800CW Goat Anti-Rabbit IgG at 1/20000 dilution
Predicted band size: 117 kD
Observed band size: 117 kD

MG63 (Human) Cell Lysate at 30 ug
Primary: Anti-Collagen II (bs-10589R) at 1/300 dilution
Secondary: IRDye800CW Goat Anti-Rabbit IgG at 1/20000 dilution
Predicted band size: 117 kD
Observed band size: 117 kD


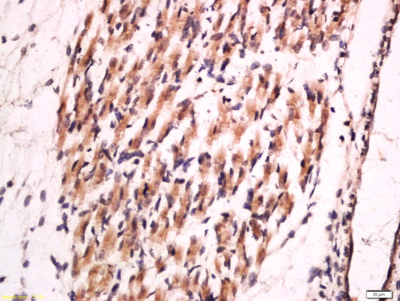
Antigen retrieval: citrate buffer ( 0.01M, pH 6.0 ), Boiling bathing for 15min; Block endogenous peroxidase by 3% Hydrogen peroxide for 30min; Blocking buffer (normal goat serum,C-0005) at 37∩ for 20 min;
Incubation: Anti-Collagen II Polyclonal Antibody, Unconjugated(bs-10589R) 1:100, overnight at 4∑C, followed by conjugation to the secondary antibody(SP-0023) and DAB(C-0010) staining

Primary: Anti-Collagen II(bs-10589R) at 1/300 dilution
Secondary: IRDye800CW Goat Anti-Rabbit IgG at 1/20000 dilution
Predicted band size: 117 kD
Observed band size: 134 kD
风险提示:丁香通仅作为第三方平台,为商家信息发布提供平台空间。用户咨询产品时请注意保护个人信息及财产安全,合理判断,谨慎选购商品,商家和用户对交易行为负责。对于医疗器械类产品,请先查证核实企业经营资质和医疗器械产品注册证情况。
文献和实验[IF={{ 9.933 }}] {Qi Feng. et al. Dynamic nanocomposite microgel assembly with microporosity, injectability, tissue-adhesion and sustained drug release promotes articular cartilage repair and regeneration. 2021 Dec 07} {IHC} {Mouse}
[IF={{ 8.724 }}] {Yang Ling. et al. Three-dimensional (3D) hydrogel serves as a platform to identify potential markers of chondrocyte dedifferentiation by combining RNA sequencing. Bioact Mater. 2021 Sep;6:2914} {IF} {Pig}
[IF={{ 8.2 }}] {Xianggang Wang. et al. 3D-printed PCL scaffolds with anatomy-inspired bionic stratified structures for the treatment of growth plate injuries. MATER TODAY BIO. 2023 Dec;23:100833} {IF,IHC} {Rabbit}
[IF={{ 8.2 }}] {Wenhui Hu. et al. Injectable hydrogel with selenium nanoparticles delivery for sustained glutathione peroxidase activation and enhanced osteoarthritis therapeutics. MATER TODAY BIO. 2023 Nov;:100864} {IF} {Rat}
[IF={{ 7.94 }}] {Maolin Zhang. et al. Rapid and efficient generation of cartilage pellets from mouse induced pluripotent stem cells by transcriptional activation of BMP-4 with shaking culture:. J TISSUE ENG. 2022;():} {IHC} {Rat}
GE Healthcare Benzamidine Sepharose™ 6B is p-aminobenzamidine covalently attached to Sepharose 6B by the epoxy coupling method. p-Aminobenzamidine (PAB), is a synthetic inhibitor of trypsin-like serine protease. Trypsin and trypsin
48T/96T 2000/3000 进口分装 F19052 兔子 C 反应蛋白 (rabbit CRP) ELISA 48T/96T 1800/2800 进口分装 F20000 兔 I 型胶原 (rabbit Collagen I)
【资源】全面归类网址:毕赤酵母表达各种来源蛋白(细菌,真菌,植物,人类等)
multifunctional enzyme (perMFE-II)I[189]Rat procathepsin BS, 100 mg/L, α-MF[190, 191]Rat serotonin transporterI, inactivr514Rat tumor necrosis factor-αI, 10 mg/L, active382Sea raven type II antifreeze protein (SRAFP)S, 36 g/L, α-MF, stable[192, 193], 499Shark 17
技术资料暂无技术资料 索取技术资料









