相关产品推荐更多 >

BMPER Rabbit pAb, HRP conjugated(bs-6910R-HRP)-100ul
¥2980
HIF3 alpha Rabbit pAb, Cy5.5 conjugated(bs-5898R-Cy5.5)-100ul
¥2980
MX1 Rabbit pAb, Biotin conjugated(bs-24311R-Bio)-100ul
¥2980
HSD17B6 Rabbit pAb, APC-Cy5.5 conjugated(bs-6592R-APC-Cy5.5)-100ul
¥2980
eIF4A3 Rabbit pAb, Cy5.5 conjugated(bs-14548R-Cy5.5)-100ul
¥2980
万千商家帮你免费找货
0 人在求购买到急需产品
- 详细信息
- 文献和实验
- 技术资料
- 应用范围:
产品信息以Bioss网站为准
- 规格:
50ul/100ul/200ul
| 规格: | 50ul | 产品价格: | ¥1180.0 |
|---|---|---|---|
| 规格: | 100ul | 产品价格: | ¥1980.0 |
| 规格: | 200ul | 产品价格: | ¥2800.0 |
| 产品编号 | bs-0118R |
| 英文名称 | AR/Androgen Receptor Rabbit pAb |
| 中文名称 | 雄激素受体(AR)抗体 |
| 英文别名 | Androgen receptor isoform 2; AIS; AIS; ANDR_HUMAN; Androgen receptor(dihydrotestosterone receptor; testicular feminization; spinal and bulbar muscular atrophy; Kennedy disease); Androgen receptor; AR; DHTR; Dihydro Testosterone Receptor; Dihydrotestosterone receptor; HUMARA; HYSP1; HYSP1; KD; NR3C4; Nuclear receptor subfamily 3 group C member 4; SBMA; SMAX1; Spinal and bulbar muscular atrophy; TFM; AR. |
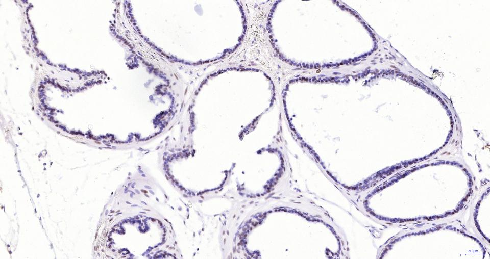
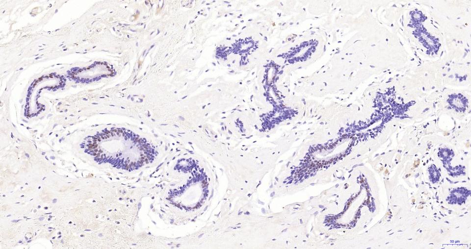
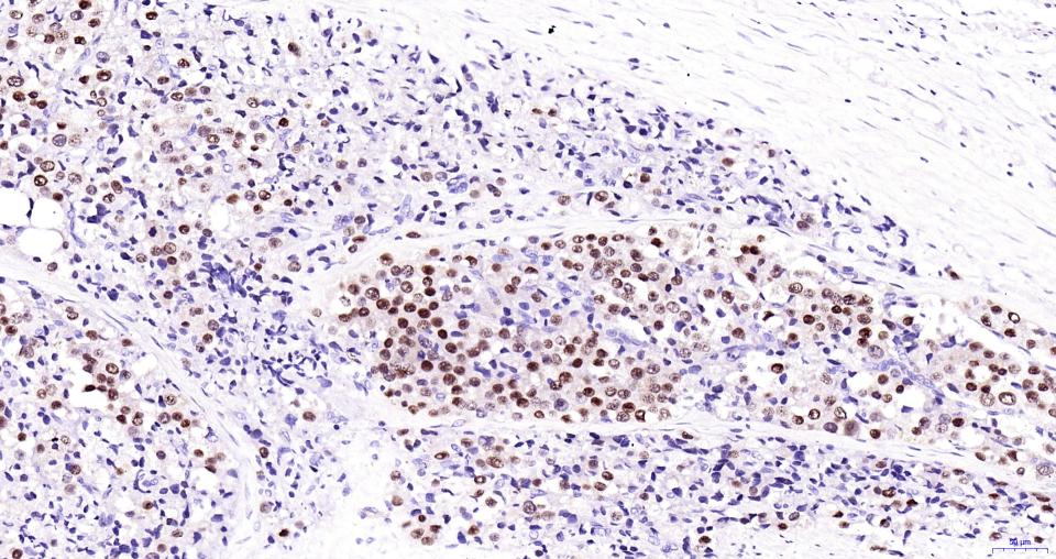
| 产品应用 | WB=1:500-2000, IHC-P=1:50-200, IHC-F=1:50-200, IF=1:50-200 Not yet tested in other applications. |
| 交叉反应 | Human, Rat, Mouse |
| 抗体来源 | Rabbit |
| 免疫原 | KLH conjugated synthetic peptide derived from human Androgen receptor isoform 2 |
| 亚型 | IgG |
| 性状 | Liquid |
| 纯化方法 | affinity purified by Protein A |
| 克隆类型 | Polyclonal |
| 理论分子量 | 43/101 kDa |
| 浓度 | 1mg/ml |
| 储存液 | 0.01M TBS (pH7.4) with 1% BSA, 0.02% Proclin300 and 50% Glycerol. |
| 亚基 | Binds DNA as a homodimer. Part of a ternary complex containing AR, EFCAB6/DJBP and PARK7. Interacts with HIPK3 and NR0B2 in the presence of androgen. The ligand binding domain interacts with KAT7/HBO1 in the presence of dihydrotestosterone. Interacts with EFCAB6/DJBP, PELP1, PQBP1, RANBP9, RBAK, SPDEF, SRA1, TGFB1I1, ZNF318 and RREB1. Interacts with ZMIZ1/ZIMP10 and ZMIZ2/ZMIP7 which both enhance its transactivation activity. Interacts with SLC30A9 and RAD54L2/ARIP4. Interacts via the ligand-binding domain with LXXLL and FXXLF motifs from NCOA1, NCOA2, NCOA3, NCOA4 and MAGEA11. The AR N-terminal poly-Gln region binds Ran resulting in enhancement of AR-mediated transactivation. Ran-binding decreases as the poly-Gln length increases. Interacts with HIP1 (via coiled coil domain). Interacts (via ligand-binding domain) with TRIM68. Interacts with TNK2. Interacts with USP26. Interacts with RNF6. Interacts (regulated by RNF6 probably through polyubiquitination) with RNF14; regulates AR transcriptional activity. Interacts with PRMT2 and TRIM24. Interacts with GNB2L1/RACK1. Interacts with RANBP10; this interaction enhances dihydrotestosterone-induced AR transcriptional activity. Interacts with PRPF6 in a hormone-independent way; this interaction enhances dihydrotestosterone-induced AR transcriptional activity. Interacts with STK4/MST1. Interacts with ZIPK/DAPK3. Interacts with LPXN. Interacts with MAK. Part of a complex containing AR, MAK and NCOA3. |
| 亚细胞定位 | Nucleus. Cytoplasm. Predominantly cytoplasmic in unliganded form but translocates to the nucleus upon ligand-binding. Can also translocate to the nucleus in unliganded form in the presence of GNB2L1. |
| 组织特异性 | Isoform 2 is mainly expressed in heart and skeletal muscle. |
| 翻译后修饰 | Sumoylated on Lys-386 (major) and Lys-520. Ubiquitinated. Deubiquitinated by USP26. 'Lys-6' and 'Lys-27'-linked polyubiquitination by RNF6 modulates AR transcriptional activity and specificity.
Phosphorylated in prostate cancer cells in response to several growth factors including EGF. Phosphorylation is induced by c-Src kinase (CSK). Tyr-534 is one of the major phosphorylation sites and an increase in phosphorylation and Src kinase activity is associated with prostate cancer progression. Phosphorylation by TNK2 enhances the DNA-binding and transcriptional activity and may be responsible for androgen-independent progression of prostate cancer. |
| 相似性 | Belongs to the nuclear hormone receptor family. NR3 subfamily. Contains 1 nuclear receptor DNA-binding domain. |
| 功能 | Steroid hormone receptors are ligand-activated transcription factors that regulate eukaryotic gene expression and affect cellular proliferation and differentiation in target tissues. Transcription factor activity is modulated by bound coactivator and corepressor proteins. Transcription activation is down-regulated by NR0B2. Activated, but not phosphorylated, by HIPK3. |
| 保存条件 | Shipped at 4℃. Store at -20℃ for one year. Avoid repeated freeze/thaw cycles. |
| 注意事项 | This product as supplied is intended for research use only, not for use in human, therapeutic or diagnostic applications. |
| 背景资料 | The androgen receptor gene is more than 90 kb long and codes for a protein that has 3 major functional domains: the N-terminal domain, DNA-binding domain, and androgen-binding domain. The protein functions as a steroid-hormone activated transcription factor. Upon binding the hormone ligand, the receptor dissociates from accessory proteins, translocates into the nucleus, dimerizes, and then stimulates transcription of androgen responsive genes. This gene contains 2 polymorphic trinucleotide repeat segments that encode polyglutamine and polyglycine tracts in the N-terminal transactivation domain of its protein. Expansion of the polyglutamine tract causes spinal bulbar muscular atrophy (Kennedy disease). Mutations in this gene are also associated with complete androgen insensitivity (CAIS). Two alternatively spliced variants encoding distinct isoforms have been described. [provided by RefSeq, Jul 2008] |
| 应用 | 推荐稀释比例 |
| {WB} | {1:500-2000} |
| {IHC-P} | {1:50-200} |
| {IHC-F} | {1:50-200} |
| {IF} | {1:50-200} |






风险提示:丁香通仅作为第三方平台,为商家信息发布提供平台空间。用户咨询产品时请注意保护个人信息及财产安全,合理判断,谨慎选购商品,商家和用户对交易行为负责。对于医疗器械类产品,请先查证核实企业经营资质和医疗器械产品注册证情况。
文献和实验[IF={{ 5.8 }}] {Huang Jing. et al. Effects of exposure to PM2.5 during pregnancy on the multigenerational reproductive outcomes of male mouse offspring and the role of Sertoli cells. ENVIRON SCI POLLUT R. 2023 Sep;:1-13} {WB} {Mouse}
[IF={{ 4.9 }}] {Esther Alba. et al. Detection of Androgen Receptors in Spermatozoa of Small Ruminants: A Putative Modulation Pathway for Cryoresistance Through AQP3. INT J MOL SCI. 2024 Jan;25(22):11972} {WB,IF} {Sheep}
[IF={{ 4.44 }}] {Madka, Venkateshwar, et al. "Targeting mTOR and p53 signaling inhibits muscle invasive bladder cancer in vivo." Cancer Prevention Research 9.1 (2016): 53-62.} {IHC} {="Mouse"}
[IF={{ 4.3 }}] {Yeni Yesim. et al. Panax Ginseng Protects Against Doxorubicin-Induced Testicular Injury in Male Rats by Modulating NF-κB/COX-2 and AR Pathways. MOL NEUROBIOL. 2025 Jun;:1-12} {IHC} {Rat}
[IF={{ 4.292 }}] {Longfei Xiao. et al. Dihydrotestosterone regulation of cyclooxygenase-2 expression in bovine endometrial epithelium cells by androgen receptor mediated EGFR/PI3K/Akt pathway. J Steroid Biochem. 2021 Nov;214:106001} {WB,IF,IHC} {Bovine}
are needed to reveal the important role of the members of the Wnt signaling pathway in the RA pathogenesis and treatment. Rspo 1 promotes osteoblast differentiation via Wnt signaling pathway. 作者:Sharma AR, Choi BS, Park JM, Lee DH, Lee JE, Kim HS
, Algermissen, B. et al. 3. Purification of rabbit liver aldehyde oxidase by affinity chromatography on benzamidine Sepharose 6B. J. Chromatogr. (1989), 475 363-72, Stell, J. G. P. et al. 4. The Crystal Structure of a T Cell Receptor in Complex
/96T 2000/3000 进口分装 F0021 骨成型蛋白-9(BMP-9) ELISA 48T/96T 2000/3000 进口分装 F0022 BMP-R1A ELISA 48T/96T 2000/3000 进口分装 F0023 BMP-R2 ELISA 48T/96T 2000/3000 进口分装 F0024 BTC ELISA 48T/96T 2000/3100 进口分装 F0030 CAE-Ab ELISA 96
技术资料暂无技术资料 索取技术资料






