相关产品推荐更多 >

GRP94 Rabbit pAb(bs-0194R)-50ul/100ul/200ul
¥1180
CDKN2A/p16-INK4a Rabbit pAb, PE-Cy7 conjugated(bs-0740R-PE-Cy7)-100ul
¥2980
ITPR3 Rabbit pAb(bs-6471R)-50ul/100ul/200ul
¥1180
phospho-Hsp90 beta (Ser226) Rabbit pAb, Cy3 conjugated(bs-18074R-Cy3)-100ul
¥2980
Dnmt3a Rabbit pAb, Cy5 conjugated(bs-0497R-Cy5)-100ul
¥2980
万千商家帮你免费找货
0 人在求购买到急需产品
- 详细信息
- 文献和实验
- 技术资料
- 应用范围:
产品信息以Bioss网站为准
- 规格:
50ul/100ul/200ul/200ug
| 规格: | 50ul | 产品价格: | ¥1180.0 |
|---|---|---|---|
| 规格: | 100ul | 产品价格: | ¥1980.0 |
| 规格: | 200ul | 产品价格: | ¥2800.0 |
| 规格: | 200ug | 产品价格: | ¥5600.0 |
| 产品编号 | bsm-33063M |
| 英文名称 | CDX2 Mouse mAb |
| 中文名称 | 尾型同源盒转录因子2单克隆抗体 |
| 英文别名 | cau-dal-related homeobox transcription factor 2; Caudal type homeo box 2; Caudal type homeobox protein 2; caudal type homeobox transcription factor 2; CDX 2; CDX 3; CDX3; Homeobox protein CDX-2; Homeobox protein CDX2; CDX2_HUMAN. |
| 产品应用 | IHC-P=1:100-500, IHC-F=1:100-500, IF=1:100-500 Not yet tested in other applications. |
| 交叉反应 | Rat (Human, Mouse) |
| 抗体来源 | Mouse |
| 免疫原 | KLH conjugated synthetic peptide derived from human CDX2 |
| 亚型 | IgG |
| 性状 | Liquid |
| 纯化方法 | affinity purified by Protein G |
| 克隆类型 | Monoclonal |
| 理论分子量 | 34 kDa |
| 浓度 | 1mg/ml |
| 储存液 | 0.01M TBS (pH7.4) with 1% BSA, 0.02% Proclin300 and 50% Glycerol. |
| 研究领域 | Developmental Biology > Lineage specification > Endoderm Developmental Biology > Lineage specification > Trophectoderm Epigenetics and Nuclear Signaling > Transcription > Transcription Factors Stem Cells > Lineage Markers > Endoderm |
| 亚细胞定位 | Nucleus. |
| 翻译后修饰 | Phosphorylation of Ser-60 mediates the transactivation capacity. |
| 相似性 | Belongs to the Caudal homeobox family. Contains 1 homeobox DNA-binding domain. |
| 功能 | Involved in the transcriptional regulation of multiple genes expressed in the intestinal epithelium. Important in broad range of functions from early differentiation to maintenance of the intestinal epithelial lining of both the small and large intestine. |
| 保存条件 | Shipped at 4℃. Store at -20℃ for one year. Avoid repeated freeze/thaw cycles. |
| 注意事项 | This product as supplied is intended for research use only, not for use in human, therapeutic or diagnostic applications. |
| 背景资料 | This gene is a member of the caudal-related homeobox transcription factor gene family. The encoded protein is a major regulator of intestine-specific genes involved in cell growth an differentiation. This protein also plays a role in early embryonic development of the intestinal tract. Aberrant expression of this gene is associated with intestinal inflammation and tumorigenesis. [provided by RefSeq, Jan 2012] |
| 应用 | 推荐稀释比例 |
| {IHC-P} | {1:100-500} |
| {IHC-F} | {1:100-500} |
| {IF} | {1:100-500} |

风险提示:丁香通仅作为第三方平台,为商家信息发布提供平台空间。用户咨询产品时请注意保护个人信息及财产安全,合理判断,谨慎选购商品,商家和用户对交易行为负责。对于医疗器械类产品,请先查证核实企业经营资质和医疗器械产品注册证情况。
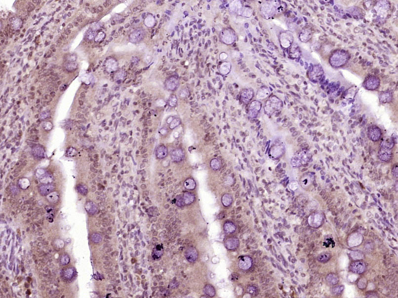
文献和实验[IF={{ 4.175 }}] {Li Liang. et al. Identification of key genes involved in tumor immune cell infiltration and cetuximab resistance in colorectal cancer. Cancer Cell Int. 2021 Dec;21(1):1-22} {IHC} {}
T-Cell Activation Using mAb to CD3
One of the most common ways to assess T cell activation is to measure T cell proliferation upon in vitro stimulation of T cells via antigen or agonistic antibodies to TCR. This protocol is written as a starting point for examining in vitro proliferation of mouse
WHOLE MOUNT IN SITU HYBRIDIZATION. Mouse Embryos
. Use gloves and aerosol barrier tips. Linearize the plasmid and check the digest. Phenol extract. Extract twice with chloroform:isoamyl alcohol (24:1) Ethanol precipitate ( 1/2 vol 7.5 M NH4 OAc + 2.5 vol 100
Hybrid Resistance by Mouse NK Cells In Vitro
A purified NK cells to kill H2d target cells can be reversed by adding MAb reagents that bind to either Ly49A or H2-Dd . We and others have extended these early findings to the Ly49C and I subsets of NK cells, and have recently detected positive signaling
技术资料暂无技术资料 索取技术资料






