相关产品推荐更多 >

Pellino 1 Rabbit pAb, Biotin conjugated(bs-12614R-Bio)-100ul
¥2980
Bcl-2 Rabbit pAb, Cy7 conjugated(bs-20352R-Cy7)-100ul
¥2980
LYL1 Rabbit pAb, APC-Cy7 conjugated(bs-8305R-APC-Cy7)-100ul
¥2980
CXCR4 Rabbit pAb, BF350 conjugated(bs-20318R-BF350)-100ul
¥2980
CD62p Rabbit pAb, BF647 conjugated(bs-10770R-BF647)-100ul
¥2980
万千商家帮你免费找货
0 人在求购买到急需产品
- 详细信息
- 文献和实验
- 技术资料
- 应用范围:
产品信息以Bioss网站为准
- 规格:
50ul/100ul/200ul
| 规格: | 50ul | 产品价格: | ¥1180.0 |
|---|---|---|---|
| 规格: | 100ul | 产品价格: | ¥1980.0 |
| 规格: | 200ul | 产品价格: | ¥2800.0 |
| 产品编号 | bs-12631R |
| 英文名称 | PFKFB3/PFK2 Rabbit pAb |
| 中文名称 | 果糖-2,6-二磷酸酶3/磷酸果糖激酶2抗体 |
| 英文别名 | 6 phosphofructo 2 kinase/fructose 2, 6 bisphosphatase; 6 phosphofructo 2 kinase/fructose 2, 6 biphosphatase 3; 6-bisphosphatase; 6-P2ase 3; 6-P2ASE brain/placenta-type isozyme; 6PF 2 K/Fru 2, 6 P2ASE brain/placenta type isozyme; 6PF 2-K/Fru 2, 6 P2ase 3; 6PF-2-K/Fru-2; F263_HUMAN; fructose 6 phosphate, 2 kinase/fructose 2, 6 bisphosphatase; Fructose-2; Inducible 6 phosphofructo 2 kinase/fructose 2, 6 bisphosphatase; iPFK 2; iPFK-2; IPFK2; PFK/FBPase 3; PFK2; PFKFB3; Renal carcinoma antigen NY REN 56; Renal carcinoma antigen NY-REN-56; uPFK 2. |
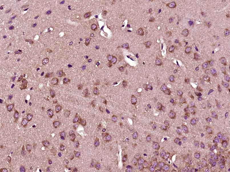
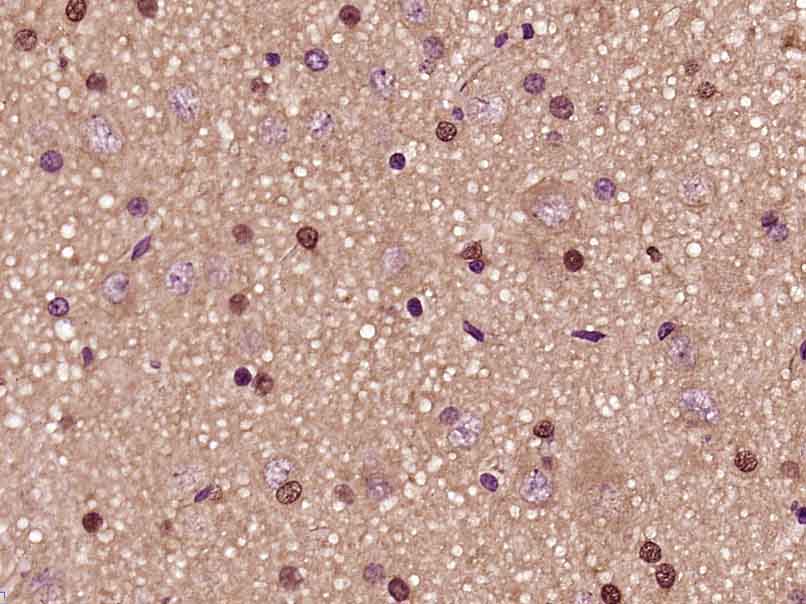
| 产品应用 | IHC-P=1:100-500, IHC-F=1:100-500, IF=1:100-500 Not yet tested in other applications. |
| 交叉反应 | Mouse, Rat (Human, Dog, Pig, Cow, Horse, Rabbit, Sheep) |
| 抗体来源 | Rabbit |
| 免疫原 | KLH conjugated synthetic peptide derived from human PFKFB3 |
| 亚型 | IgG |
| 性状 | Liquid |
| 纯化方法 | affinity purified by Protein A |
| 克隆类型 | Polyclonal |
| 理论分子量 | 59 kDa |
| 浓度 | 1mg/ml |
| 储存液 | 0.01M TBS (pH7.4) with 1% BSA, 0.02% Proclin300 and 50% Glycerol. |
| 研究领域 | Cancer > Cancer Metabolism > Metabolic signaling pathway > Metabolism of carbohydrates Cardiovascular > Hypoxia > Hypoxia-Regulated Metabolism > Pathways and Processes > Metabolic signaling pathways > Carbohydrate metabolism Metabolism > Pathways and Processes > Metabolic signaling pathways > Energy transfer pathways > Energy Metabolism Metabolism > Pathways and Processes > Metabolism processes > Hypoxia Neuroscience > Neurology process > Metabolism Signal Transduction > Metabolism > Energy Metabolism |
| 组织特异性 | Ubiquitous. |
| 翻译后修饰 | Phosphorylation by AMPK stimulates activity. |
| 相似性 | In the C-terminal section; belongs to the phosphoglycerate mutase family. |
| 功能 | Synthesis and degradation of fructose 2,6-bisphosphate. |
| 保存条件 | Shipped at 4℃. Store at -20℃ for one year. Avoid repeated freeze/thaw cycles. |
| 注意事项 | This product as supplied is intended for research use only, not for use in human, therapeutic or diagnostic applications. |
| 背景资料 | The protein encoded by this gene belongs to a family of bifunctional proteins that are involved in both the synthesis and degradation of fructose-2,6-bisphosphate, a regulatory molecule that controls glycolysis in eukaryotes. The encoded protein has a 6-phosphofructo-2-kinase activity that catalyzes the synthesis of fructose-2,6-bisphosphate (F2,6BP), and a fructose-2,6-biphosphatase activity that catalyzes the degradation of F2,6BP. This protein is required for cell cycle progression and prevention of apoptosis. It functions as a regulator of cyclin-dependent kinase 1, linking glucose metabolism to cell proliferation and survival in tumor cells. Several alternatively spliced transcript variants encoding different isoforms have been found for this gene. [provided by RefSeq, Apr 2016] |
| 应用 | 推荐稀释比例 |
| {IHC-P} | {1:100-500} |
| {IHC-F} | {1:100-500} |
| {IF} | {1:100-500} |


风险提示:丁香通仅作为第三方平台,为商家信息发布提供平台空间。用户咨询产品时请注意保护个人信息及财产安全,合理判断,谨慎选购商品,商家和用户对交易行为负责。对于医疗器械类产品,请先查证核实企业经营资质和医疗器械产品注册证情况。
文献和实验= NAL), appears to form upon oxidative cyclization of the nonfluorescent 2:1 lysine-HNE Michael adduct-Schiff base cross-link (Scheme 1). Polyclonal antibody (PAb) to the NAL-HNE fluorophore was raised in rabbit and found to be highly specific
. Retrieved 2010-11-29. ^ Nielsen BS, Jørgensen S, Fog JU, Søkilde R, Christensen IJ, Hansen U, Brünner N, Baker A, Møller S, Nielsen HJ (October 2010). "High levels of microRNA-21 in the stroma of colorectal cancers predict short disease-free survival
+oieSKeKcgxGinlRPl7uja5iYeDdc+K3eZhXhIOHOy+p9cxrGU9WCTkVcT5iRR/BsR+N0IDPSu3x0pXo0IRAQiAhGBiEBE4ABCwPnwbu0wGmW8ULj7NRb20DLRYqFW1Up6ODBube+wknwaZ5w/y92bXLbV5K3CJ+hhzKwdSHCmVrada2Qy0eyxvi0r7Lkl99ukcaOkRe60Sj82E8qgnmxNtzHGRRyZQtf1g41GIMau5W7ITlqbiDRR0CA3tPhIsEdmP5hZ
技术资料暂无技术资料 索取技术资料






