相关产品推荐更多 >

CENPJ Rabbit pAb(bs-13835R)-50ul/100ul/200ul
¥1180
Dopamine D5 receptor Rabbit pAb, Biotin conjugated(bs-1747R-Bio)-100ul
¥2980
YES1 Rabbit pAb, Biotin conjugated(bs-4166R-Bio)-100ul
¥2980
Alkaline Phosphatase, Tissue Non-Specific isozyme Rabbit pAb(bs-1535R)-50ul/100ul/200ul
¥1180
PARP16 Rabbit pAb(bs-9623R)-50ul/100ul/200ul
¥1180
万千商家帮你免费找货
0 人在求购买到急需产品
- 详细信息
- 文献和实验
- 技术资料
- 应用范围:
产品信息以Bioss网站为准
- 规格:
50ul/100ul/200ul
| 规格: | 50ul | 产品价格: | ¥1180.0 |
|---|---|---|---|
| 规格: | 100ul | 产品价格: | ¥1980.0 |
| 规格: | 200ul | 产品价格: | ¥2800.0 |
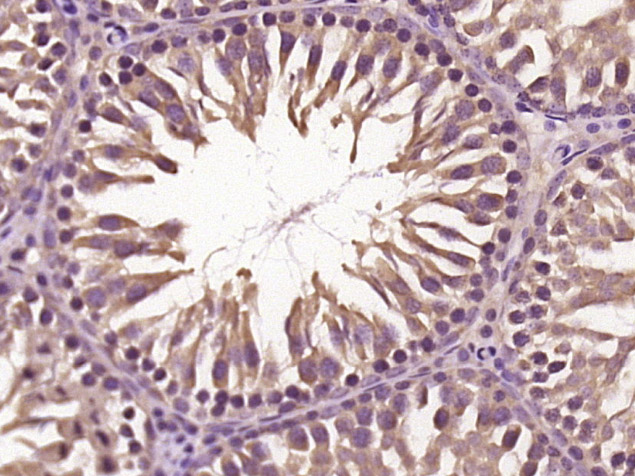
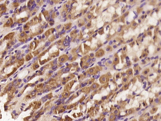
| 产品编号 | bs-19998R |
| 英文名称 | PACSIN2 Rabbit pAb |
| 中文名称 | 胞浆磷蛋白PACSIN2抗体 |
| 英文别名 | cytoplasmic phosphoprotein PACSIN2; Moderately similar to h74 gene product; OTTHUMP00000198281; OTTHUMP00000198282; OTTHUMP00000198283; OTTHUMP00000198284; PACN2_HUMAN; Pacsin2; protein kinase C and casein kinase substrate in neurons 2; protein kinase C and casein kinase substrate in neurons 2; Protein kinase C and casein kinase substrate in neurons protein 2; Protein kinase C and casein kinase substrate in neurons protein; SDP II; SDPII; Syndapin II. |
| 产品应用 | WB=1:500-2000, IHC-P=1:100-500, IHC-F=1:100-500, IF=1:100-500 Not yet tested in other applications. |
| 交叉反应 | Mouse, Rat (Human, Dog, Pig, Cow, Horse, Rabbit, Sheep) |
| 抗体来源 | Rabbit |
| 免疫原 | KLH conjugated synthetic peptide derived from human PACSIN2 |
| 亚型 | IgG |
| 性状 | Liquid |
| 纯化方法 | affinity purified by Protein A |
| 克隆类型 | Polyclonal |
| 理论分子量 | 56 kDa |
| 浓度 | 1mg/ml |
| 储存液 | 0.01M TBS (pH7.4) with 1% BSA, 0.02% Proclin300 and 50% Glycerol. |
| 研究领域 | Signal Transduction > Protein Trafficking > Vesicle Transport > Regulation |
| 亚基 | Homodimer. May form heterooligomers with other PACSINs.Interacts (via NPF motifs) with EHD1 (via EH domain). Interacts with EHD3. Interacts (via the SH3 domain) with MICALL1. Interacts with RAC1. Interacts (via SH3 domain) with DNM1, SYN1, SYNJ1 and WASL. Interacts with CAV1. Interacts with TRPV4. |
| 亚细胞定位 | Cytoplasmic vesicle. Vesicle-like cytoplasmic distribution. |
| 组织特异性 | Ubiquitously expressed. |
| 翻译后修饰 | Phosphorylated by casein kinase 2 (CK2) and protein kinase C (PKC). |
| 相似性 | Belongs to the PACSIN family. Contains 1 FCH domain. Contains 1 SH3 domain. |
| 功能 | May play a role in vesicle formation and transport. |
| 保存条件 | Shipped at 4℃. Store at -20℃ for one year. Avoid repeated freeze/thaw cycles. |
| 注意事项 | This product as supplied is intended for research use only, not for use in human, therapeutic or diagnostic applications. |
| 背景资料 | This gene is a member of the protein kinase C and casein kinase substrate in neurons family. The encoded protein is involved in linking the actin cytoskeleton with vesicle formation by regulating tubulin polymerization. Alternative splicing results in multiple transcript variants. [provided by RefSeq, May 2010] |
| 应用 | 推荐稀释比例 |
| {WB} | {1:500-2000} |
| {IHC-P} | {1:100-500} |
| {IHC-F} | {1:100-500} |
| {IF} | {1:100-500} |

Primary: Anti-PACSIN2 (bs-19998R)at 1/300 dilution
Secondary: IRDye800CW Goat Anti-Rabbit IgG at 1/20000 dilution
Predicted band size: 56kD
Observed band size: 56kD


风险提示:丁香通仅作为第三方平台,为商家信息发布提供平台空间。用户咨询产品时请注意保护个人信息及财产安全,合理判断,谨慎选购商品,商家和用户对交易行为负责。对于医疗器械类产品,请先查证核实企业经营资质和医疗器械产品注册证情况。
文献和实验= NAL), appears to form upon oxidative cyclization of the nonfluorescent 2:1 lysine-HNE Michael adduct-Schiff base cross-link (Scheme 1). Polyclonal antibody (PAb) to the NAL-HNE fluorophore was raised in rabbit and found to be highly specific
GE Healthcare Benzamidine Sepharose™ 6B is p-aminobenzamidine covalently attached to Sepharose 6B by the epoxy coupling method. p-Aminobenzamidine (PAB), is a synthetic inhibitor of trypsin-like serine protease. Trypsin and trypsin
Nucleic Acid Programmable Protein Arrays: Versatile Tools for Array‐Based Functional Protein Studies
.g., Sigma) 50 mg/ml bis‐sulfosuccinimdylsuberate (BS3 ;Pierce, cat. no. PI 21580) in dimethylsulfoxide (DMSO) 5 mg/ml
技术资料暂无技术资料 索取技术资料






