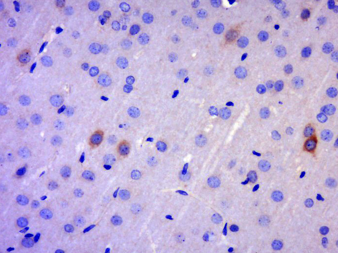
Tissue/cell: Rat brain tissue; 4% Paraformaldehyde-fixed and paraffin-embedded;
Antigen retrieval: citrate buffer ( 0.01M, pH 6.0 ), Boiling bathing for 15min; Block endogenous peroxidase by 3% Hydrogen peroxide for 30min; Blocking buffer (normal goat serum,C-0005) at 37℃ for 20 min;
Incubation: Anti-SV2C Polyclonal Antibody, Unconjugated(bs-13366R) 1:400, overnight at 4°C, followed by conjugation to the secondary antibody(SP-0023) and DAB(C-0010) staining
相关产品推荐更多 >

GPX3 Rabbit pAb(bs-22009R)-50ul/100ul/200ul
¥1180
5HT6 Receptor Rabbit pAb(bs-12058R)-50ul/100ul/200ul
¥1180
Glucose 6 phosphatase 2 Rabbit pAb, HRP conjugated(bs-22837R-HRP)-100ul
¥2980
ERBB2/HER2 Rabbit pAb, PerCP-Cy7 conjugated(bs-0125R-PerCP-Cy7)-100ul
¥2980
KCP2 Rabbit pAb(bs-16853R)-50ul/100ul/200ul
¥1180
万千商家帮你免费找货
0 人在求购买到急需产品
- 详细信息
- 技术资料
- 应用范围:
产品信息以Bioss网站为准
- 规格:
50ul/100ul/200ul
| 规格: | 50ul | 产品价格: | ¥1180.0 |
|---|---|---|---|
| 规格: | 100ul | 产品价格: | ¥1980.0 |
| 规格: | 200ul | 产品价格: | ¥2800.0 |
| 产品编号 | bs-13366R |
| 英文名称 | GK2 Rabbit pAb |
| 中文名称 | 甘油激酶2抗体 |
| 英文别名 | ATP:glycerol 3 phosphotransferase; EC 2.7.1.30; GK 2; GK; GKP2; GKTA; Glycerokinase; Glycerol kinase 2; Glycerol kinase testis specific 2; GLPK2_HUMAN. |
| 产品应用 | IHC-P=1:100-500, IHC-F=1:100-500, IF=1:100-500 Not yet tested in other applications. |
| 交叉反应 | Human, Rat (Mouse, Dog, Pig, Cow, Horse, Rabbit, Sheep) |
| 抗体来源 | Rabbit |
| 免疫原 | KLH conjugated synthetic peptide derived from human GK2/Glycerol kinase 2 |
| 亚型 | IgG |
| 性状 | Liquid |
| 纯化方法 | affinity purified by Protein A |
| 克隆类型 | Polyclonal |
| 理论分子量 | 61 kDa |
| 浓度 | 1mg/ml |
| 储存液 | 0.01M TBS (pH7.4) with 1% BSA, 0.02% Proclin300 and 50% Glycerol. |
| 研究领域 | Metabolism > Pathways and Processes > Metabolic signaling pathways > Energy transfer pathways > Energy Metabolism Metabolism > Types of disease > Cancer Signal Transduction > Metabolism > Energy Metabolism Signal Transduction > Metabolism > Lipid metabolism |
| 亚细胞定位 | Mitochondrion outer membrane; Peripheral membrane protein; Cytoplasmic side. Cytoplasm. Note=In sperm the majority of the enzyme is bound to mitochondria. |
| 相似性 | Belongs to the FGGY kinase family. |
| 功能 | Key enzyme in the regulation of glycerol uptake and metabolism. |
| 保存条件 | Shipped at 4℃. Store at -20℃ for one year. Avoid repeated freeze/thaw cycles. |
| 注意事项 | This product as supplied is intended for research use only, not for use in human, therapeutic or diagnostic applications. |
| 背景资料 | GK2 is a 553 amino acid protein that belongs to the FGGY kinase family and is involved in the pathway of glycerol degradation. Localized to the outer membrane of the mitochondrion and expressed at high levels in testis, GK2 functions to catalyze the ATP-dependent conversion of glycerol to glycerol 3-phosphate. Via its catalytic activity, GK2 plays an essential role in the regulation of glycerol uptake and metabolism. The gene encoding GK2 maps to chromosome 4, which encodes nearly 6% of the human genome and has the largest gene deserts (regions of the genome with no protein encoding genes) of all of the human chromosomes. Defects in some of the genes located on chromosome 4 are associated with Huntington's disease, Ellis-van Creveld syndrome, methylmalonic acidemia and polycystic kidney disease. |
| 应用 | 推荐稀释比例 |
| {IHC-P} | {1:100-500} |
| {IHC-F} | {1:100-500} |
| {IF} | {1:100-500} |


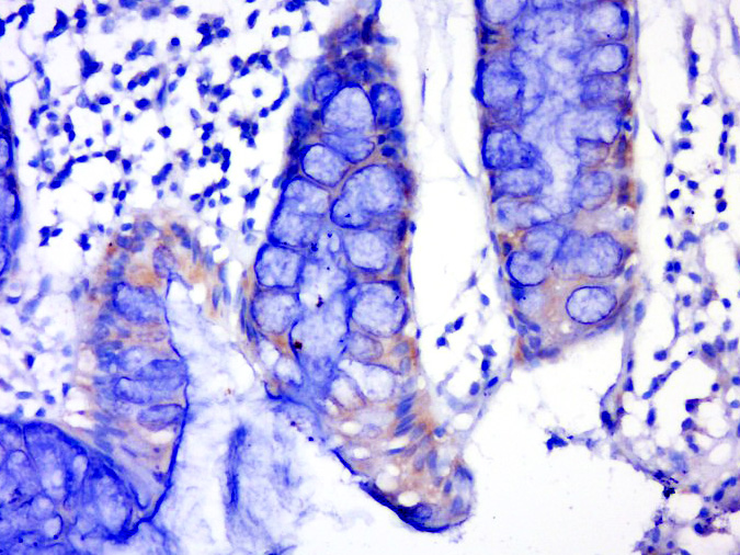
Tissue/cell: Human colon carcinoma; 4% Paraformaldehyde-fixed and paraffin-embedded;
Antigen retrieval: citrate buffer ( 0.01M, pH 6.0 ), Boiling bathing for 15min; Block endogenous peroxidase by 3% Hydrogen peroxide for 30min; Blocking buffer (normal goat serum,C-0005) at 37℃ for 20 min;
Incubation: Anti-SV2C Polyclonal Antibody, Unconjugated(bs-13366R) 1:400, overnight at 4°C, followed by conjugation to the secondary antibody(SP-0023) and DAB(C-0010) staining
Antigen retrieval: citrate buffer ( 0.01M, pH 6.0 ), Boiling bathing for 15min; Block endogenous peroxidase by 3% Hydrogen peroxide for 30min; Blocking buffer (normal goat serum,C-0005) at 37℃ for 20 min;
Incubation: Anti-SV2C Polyclonal Antibody, Unconjugated(bs-13366R) 1:400, overnight at 4°C, followed by conjugation to the secondary antibody(SP-0023) and DAB(C-0010) staining
风险提示:丁香通仅作为第三方平台,为商家信息发布提供平台空间。用户咨询产品时请注意保护个人信息及财产安全,合理判断,谨慎选购商品,商家和用户对交易行为负责。对于医疗器械类产品,请先查证核实企业经营资质和医疗器械产品注册证情况。
技术资料暂无技术资料 索取技术资料
GK2 Rabbit pAb(bs-13366R)-50ul/100ul/200ul
¥1180 - 2800





