相关产品推荐更多 >

C20orf186 Rabbit pAb, Biotin conjugated(bs-15102R-Bio)-100ul
¥2980
phospho-SCNN1B (Thr615) Rabbit pAb, Biotin conjugated(bs-5701R-Bio)-100ul
¥2980
SREBP1 Rabbit pAb, HRP conjugated(bs-1402R-HRP)-100ul
¥2980
SATB2 Rabbit pAb, APC conjugated(bs-11949R-APC)-100ul
¥2980
FOXN2 Rabbit pAb, HRP conjugated(bs-13205R-HRP)-100ul
¥2980
万千商家帮你免费找货
0 人在求购买到急需产品
- 详细信息
- 技术资料
- 应用范围:
产品信息以Bioss网站为准
- 规格:
50ul/100ul/200ul
| 规格: | 50ul | 产品价格: | ¥1180.0 |
|---|---|---|---|
| 规格: | 100ul | 产品价格: | ¥1980.0 |
| 规格: | 200ul | 产品价格: | ¥2800.0 |
| 产品编号 | bs-20508R |
| 英文名称 | NAP2 Rabbit pAb |
| 中文名称 | 中性粒细胞活性蛋白2/血小板碱性蛋白抗体 |
| 英文别名 | B TG1; beta TG; b-TG1; beta-TG; NAP-2; NAP2; NAP 2; beta thromboglobulin; Chemokine(C X C motif) ligand 7; Connective tissue activating peptide III; CTAP 3; CTAP III; CTAP3; CTAPIII; CXC chemokine ligand 7; CXCL 7; CXCL7; LA PF 4; LA-PF4; LDGF; Leukocyte derived growth factor; Low affinity platelet factor IV; MDGF; NAP 2; NAP-2; NAP 2 L1; Neutrophil activating peptide 2; PBP; Platelet basic protein; Platelet basic protein precursor; PPBP; Pro platelet basic protein; SCYB7; Small inducible cytokine B7; Small inducible cytokine subfamily B member 7; TC1; TC2; TGB; TGB1; THBGB; THBGB1; Thrombocidin 1; Thrombocidin 2; Thromboglobulin beta 1. |
| 产品应用 | IHC-P=1:100-500, IHC-F=1:100-500, IF=1:100-500 Not yet tested in other applications. |
| 交叉反应 | Mouse (Rat) |
| 抗体来源 | Rabbit |
| 免疫原 | KLH conjugated synthetic peptide derived from mouse NAP2 |
| 亚型 | IgG |
| 性状 | Liquid |
| 纯化方法 | affinity purified by Protein A |
| 克隆类型 | Polyclonal |
| 理论分子量 | 14 kDa |
| 浓度 | 1mg/ml |
| 储存液 | 0.01M TBS (pH7.4) with 1% BSA, 0.02% Proclin300 and 50% Glycerol. |
| 亚基 | Beta-thromboglobulin is a homotetramer. |
| 亚细胞定位 | Secreted. |
| 翻译后修饰 | Proteolytic removal of residues 1-9 produces the active peptide connective tissue-activating peptide III (CTAP-III) (low-affinity platelet factor IV (LA-PF4)). Proteolytic removal of residues 1-13 produces the active peptide beta-thromboglobulin, which is released from platelets along with platelet factor 4 and platelet-derived growth factor. NAP-2(1-66) is produced by proteolytical processing, probably after secretion by leukocytes other than neutrophils. NAP-2(73) and NAP-2(74) seem not be produced by proteolytical processing of secreted precursors but are released in an active form from platelets. |
| 相似性 | Belongs to the intercrine alpha (chemokine CxC) family. |
| 功能 | LA-PF4 stimulates DNA synthesis, mitosis, glycolysis, intracellular cAMP accumulation, prostaglandin E2 secretion, and synthesis of hyaluronic acid and sulfated glycosaminoglycan. It also stimulates the formation and secretion of plasminogen activator by human synovial cells. NAP-2 is a ligand for CXCR1 and CXCR2, and NAP-2, NAP-2(73), NAP-2(74), NAP-2(1-66), and most potent NAP-2(1-63) are chemoattractants and activators for neutrophils. TC-1 and TC-2 are antibacterial proteins, in vitro released from activated platelet alpha-granules. CTAP-III(1-81) is more potent than CTAP-III desensitize chemokine-induced neutrophil activation. |
| 保存条件 | Shipped at 4℃. Store at -20℃ for one year. Avoid repeated freeze/thaw cycles. |
| 注意事项 | This product as supplied is intended for research use only, not for use in human, therapeutic or diagnostic applications. |
| 背景资料 | The protein encoded by this gene is a platelet-derived growth factor that belongs to the CXC chemokine family. This growth factor is a potent chemoattractant and activator of neutrophils. It has been shown to stimulate various cellular processes including DNA synthesis, mitosis, glycolysis, intracellular cAMP accumulation, prostaglandin E2 secretion, and synthesis of hyaluronic acid and sulfated glycosaminoglycan. It also stimulates the formation and secretion of plasminogen activator by synovial cells. [provided by RefSeq, May 2010]. |
| 应用 | 推荐稀释比例 |
| {IHC-P} | {1:100-500} |
| {IHC-F} | {1:100-500} |
| {IF} | {1:100-500} |

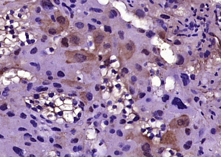
Paraformaldehyde-fixed, paraffin embedded (mouse placenta tissue); Antigen retrieval by boiling in sodium citrate buffer (pH6.0) for 15min; Block endogenous peroxidase by 3% hydrogen peroxide for 20 minutes; Blocking buffer (normal goat serum) at 37°C for 30min; Antibody incubation with (NAP2) Polyclonal Antibody, Unconjugated (bs-20508R) at 1:400 overnight at 4°C, followed by operating according to SP Kit(Rabbit) (sp-0023) instructionsand DAB staining.
风险提示:丁香通仅作为第三方平台,为商家信息发布提供平台空间。用户咨询产品时请注意保护个人信息及财产安全,合理判断,谨慎选购商品,商家和用户对交易行为负责。对于医疗器械类产品,请先查证核实企业经营资质和医疗器械产品注册证情况。
技术资料暂无技术资料 索取技术资料
NAP2 Rabbit pAb(bs-20508R)-50ul/100ul/200ul
¥1180 - 2800





