相关产品推荐更多 >
万千商家帮你免费找货
0 人在求购买到急需产品
- 详细信息
- 文献和实验
- 技术资料
- 应用范围:
产品信息以Bioss网站为准
- 规格:
50ul/100ul/200ul
| 规格: | 50ul | 产品价格: | ¥1180.0 |
|---|---|---|---|
| 规格: | 100ul | 产品价格: | ¥1980.0 |
| 规格: | 200ul | 产品价格: | ¥2800.0 |
| 产品编号 | bs-1180R |
| 英文名称 | RhoA Rabbit pAb |
| 中文名称 | RhoA抗体 |
| 英文别名 | RHOA_HUMAN; RhoA protein; Aplysia ras related homolog 12; ARH 12; ARH12; ARHA; H 12; Oncogene RHO H12; Ras homolog gene family member A; RHO 12; Rho A; RHO H12; RHO12; RHOH 12; RHOH12; Small GTP binding protein Rho A; Small GTP binding protein RhoA; Transforming protein Rho A; Transforming protein RhoA. |
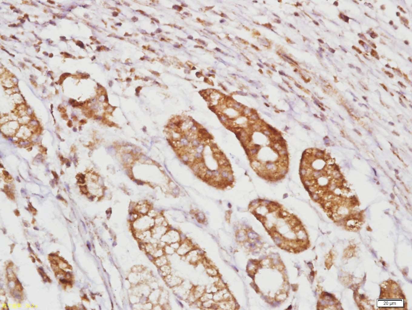
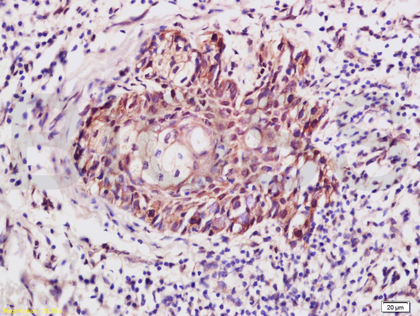
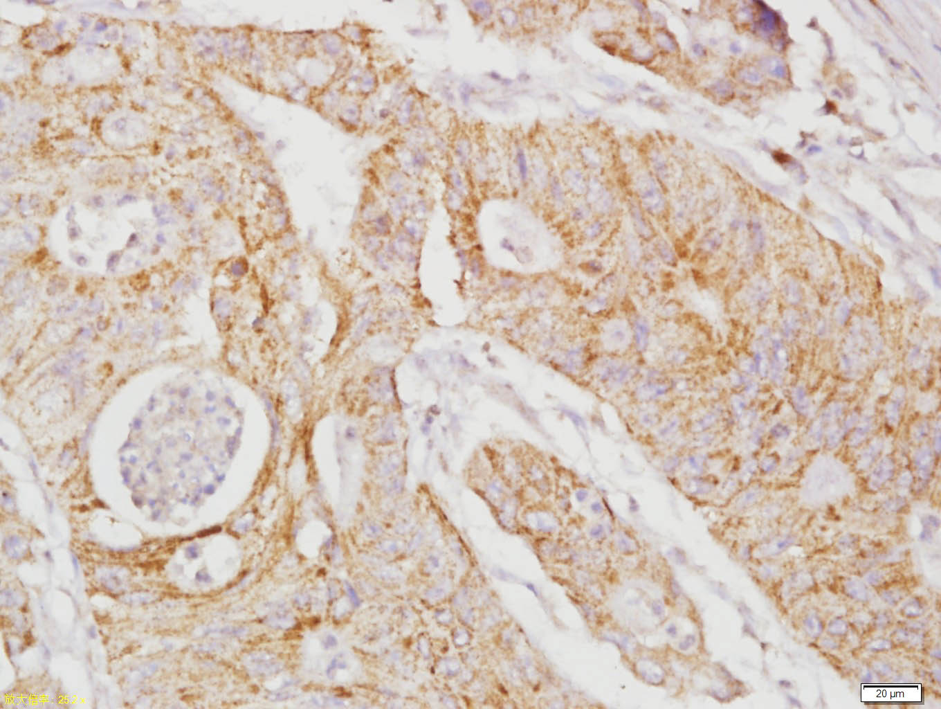
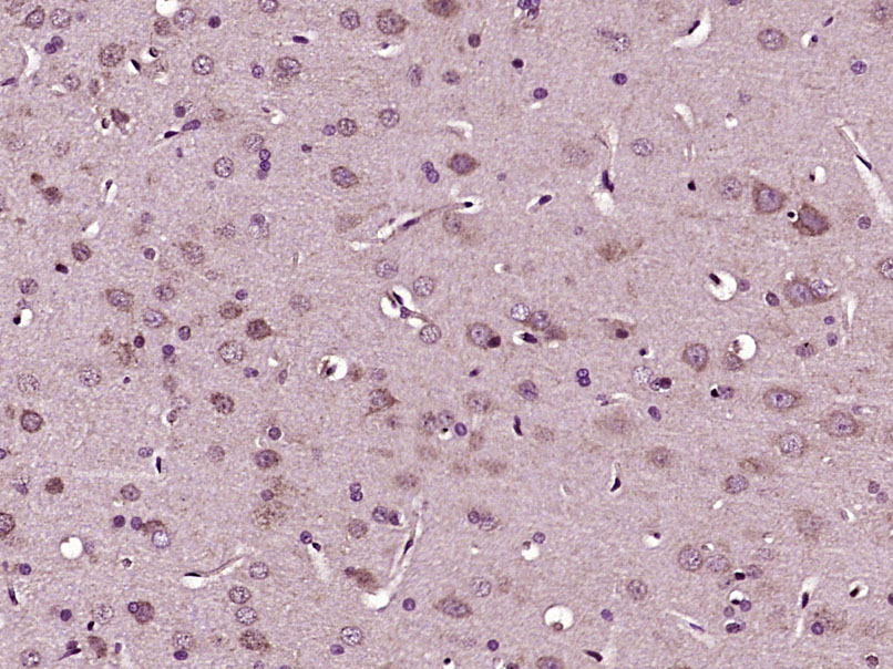
| 产品应用 | IHC-P=1:100-500, IHC-F=1:100-500, IF=1:200-800 Not yet tested in other applications. |
| 交叉反应 | Human, Mouse, Rat (Chicken, Dog, Rabbit, Zebrafish) |
| 抗体来源 | Rabbit |
| 免疫原 | KLH conjugated synthetic peptide derived from human RhoA |
| 亚型 | IgG |
| 性状 | Liquid |
| 纯化方法 | affinity purified by Protein A |
| 克隆类型 | Polyclonal |
| 理论分子量 | 21 kDa |
| 浓度 | 1mg/ml |
| 储存液 | 0.01M TBS (pH7.4) with 1% BSA, 0.02% Proclin300 and 50% Glycerol. |
| 研究领域 | Cancer > Signal transduction > G protein signaling > Small G proteins > Ras family Signal Transduction > Cytoskeleton / ECM > Cytoskeleton > Microfilaments > Actin etc > Actin Assembly Signal Transduction > Signaling Pathway > G Protein Signaling > Small G Proteins > Ras Family |
| 亚基 | Interacts with ARHGEF28. Binds PRKCL1, ROCK1 and ROCK2. Interacts with ARHGEF2, ARHGEF3, NET1 and RTKN. Interacts with PLCE1 and AKAP13. Interacts (in the constitutively activated, GTP-bound form) with DGKQ. Interacts with human respiratory syncytial virus (HRSV) protein F; this interaction facilitates virus-induced syncytium formation. Interacts with GNB2L1/RACK1; enhances RHOA activation. Interacts with PKP4; the interaction is detected at the midbody. Interacts (GTP-bound form preferentially) with PKN2; the interaction stimulates autophosphorylation and phosphorylation of PKN2. |
| 亚细胞定位 | Cell membrane; Lipid-anchor; Cytoplasmic side. Cytoplasm, cytoskeleton. Cleavage furrow. Cytoplasm, cell cortex. Midbody. Note=Localized to cell-cell contacts in calcium-treated keratinocytes. Translocates to the equatorial region before furrow formation in a ECT2-dependent manner. Localizes to the equatorial cell cortex (at the site of the presumptive furrow) in early anaphase in a activated form and in a myosin- and actin-independent manner. |
| 组织特异性 | Expressed highly in placenta, prostate and trachea and lower expression in the small intestine and lung. |
| 翻译后修饰 | Substrate for botulinum ADP-ribosyltransferase.
Cleaved by yopT protease when the cell is infected by some Yersinia pathogens. This removes the lipid attachment, and leads to its displacement from plasma membrane and to subsequent cytoskeleton cleavage. AMPylation at Tyr-34 and Thr-37 are mediated by bacterial enzymes in case of infection by H.somnus and V.parahaemolyticus, respectively. AMPylation occurs in the effector region and leads to inactivation of the GTPase activity by preventing the interaction with downstream effectors, thereby inhibiting actin assembly in infected cells. It is unclear whether some human enzyme mediates AMPylation; FICD has such ability in vitro but additional experiments remain to be done to confirm results in vivo. Phosphorylation by PRKG1 at Ser-188 inactivates RHOA signaling. Ubiquitinated by the BCR(BACURD1) and BCR(BACURD2) E3 ubiquitin ligase complexes, leading to its degradation by the proteasome, thereby regulating the actin cytoskeleton and cell migration. |
| 相似性 | Belongs to the small GTPase superfamily. Rho family. |
| 功能 | Regulates a signal transduction pathway linking plasma membrane receptors to the assembly of focal adhesions and actin stress fibers. Involved in a microtubule-dependent signal that is required for the myosin contractile ring formation during cell cycle cytokinesis. Plays an essential role in cleavage furrow formation. Required for the apical junction formation of keratinocyte cell-cell adhesion. Serves as a target for the yopT cysteine peptidase from Yersinia pestis, vector of the plague, and Yersinia pseudotuberculosis, which causes gastrointestinal disorders. Stimulates PKN2 kinase activity. May be an activator of PLCE1. Activated by ARHGEF2, which promotes the exchange of GDP for GTP. Essential for the SPATA13-mediated regulation of cell migration and adhesion assembly and disassembly. The MEMO1-RHOA-DIAPH1 signaling pathway plays an important role in ERBB2-dependent stabilization of microtubules at the cell cortex. It controls the localization of APC and CLASP2 to the cell membrane, via the regulation of GSK3B activity. In turn, membrane-bound APC allows the localization of the MACF1 to the cell membrane, which is required for microtubule capture and stabilization. |
| 保存条件 | Shipped at 4℃. Store at -20℃ for one year. Avoid repeated freeze/thaw cycles. |
| 注意事项 | This product as supplied is intended for research use only, not for use in human, therapeutic or diagnostic applications. |
| 背景资料 | This gene encodes a member of the Rho family of small GTPases, which cycle between inactive GDP-bound and active GTP-bound states and function as molecular switches in signal transduction cascades. Rho proteins promote reorganization of the actin cytoskeleton and regulate cell shape, attachment, and motility. The protein encoded by this gene is prenylated at its C-terminus, and localizes to the cytoplasm and plasma membrane. It is thought to be important in cell locomotion. Overexpression of this gene is associated with tumor cell proliferation and metastasis. Multiple alternatively spliced variants, encoding the same protein, have been identified. |
| 应用 | 推荐稀释比例 |
| {IHC-P} | {1:100-500} |
| {IHC-F} | {1:100-500} |
| {IF} | {1:200-800} |


Antigen retrieval: citrate buffer ( 0.01M, pH 6.0 ), Boiling bathing for 15min; Block endogenous peroxidase by 3% Hydrogen peroxide for 30min; Blocking buffer (normal goat serum,C-0005) at 37℃ for 20 min;
Incubation: Anti-RhoA Polyclonal Antibody, Unconjugated(bs-1180R) 1:400, overnight at 4°C, followed by conjugation to the secondary antibody(SP-0023) and DAB(C-0010) staining



风险提示:丁香通仅作为第三方平台,为商家信息发布提供平台空间。用户咨询产品时请注意保护个人信息及财产安全,合理判断,谨慎选购商品,商家和用户对交易行为负责。对于医疗器械类产品,请先查证核实企业经营资质和医疗器械产品注册证情况。
文献和实验[IF={{ 4.6 }}] {Jiaxu Zhou. et al. JTE-013 Alleviates Pulmonary Fibrosis by Affecting the RhoA/YAP Pathway and Mitochondrial Fusion/Fission. PHARMACEUTICALS-BASE. 2023 Oct;16(10):1444} {IHC,IF,WB} {Mouse}
[IF={{ 3.923 }}] {Pan T et al. MiR-128-1-5p regulates tight junction induced by selenium deficiency via targeting cell adhesion molecule 1 in broilers vein endothelial cells.J Cell Physiol. 2018 Nov;233(11):8802-8814.} {WB} {broiler}
[IF={{ 3.448 }}] {Yu C et al. LncRNA AC009022. 1 enhances colorectal cancer cells proliferation, migration, and invasion by promoting ACTR3B expression via suppressing miR‐497‐5p. J Cell Biochem. 2019 Oct 21.} {WB} {Human}
[IF={{ 1.06 }}] {Li, Wei, et al. "Tanshinone II a protects against liopolysaccharides-induced endothelial cell injury via Rho/Rho kinase pathway." Chinese Journal of Integrative Medicine 20 (2014): 216-223.} {WB} {="Human"}
= NAL), appears to form upon oxidative cyclization of the nonfluorescent 2:1 lysine-HNE Michael adduct-Schiff base cross-link (Scheme 1). Polyclonal antibody (PAb) to the NAL-HNE fluorophore was raised in rabbit and found to be highly specific
GE Healthcare Benzamidine Sepharose™ 6B is p-aminobenzamidine covalently attached to Sepharose 6B by the epoxy coupling method. p-Aminobenzamidine (PAB), is a synthetic inhibitor of trypsin-like serine protease. Trypsin and trypsin
v468.Chapter 3 分泌型跨膜相关蛋白提纯及Wnt抑制活性
rabbit polyclonalsFRP-1 antisera directed against either the full-lengthprotein or peptide segments; alternatively, one can use commerciallyavailable reagents such as a goat polyclonal antiserum(sc-7425; Santa Cruz Biotechnology, Santa Cruz, CA
技术资料暂无技术资料 索取技术资料










