相关产品推荐更多 >

phospho-PDGFRA (Tyr754) Rabbit pAb, PE-Cy5 conjugated(bs-20280R-PE-Cy5)-100ul
¥2980
ATK/BTK Rabbit pAb, APC conjugated(bs-2752R-APC)-100ul
¥2980
Corin Rabbit pAb, APC-Cy7 conjugated(bs-7685R-APC-Cy7)-100ul
¥2980
ZNF238 Rabbit pAb(bs-7195R)-50ul/100ul/200ul
¥1180
Anti-human CD20 (Ofatumumab Biosimilar)(BIO0665SM)-1mg/5mg/20mg
¥3200
万千商家帮你免费找货
0 人在求购买到急需产品
- 详细信息
- 文献和实验
- 技术资料
- 应用范围:
产品信息以Bioss网站为准
- 规格:
50ul/100ul/200ul
| 规格: | 50ul | 产品价格: | ¥1180.0 |
|---|---|---|---|
| 规格: | 100ul | 产品价格: | ¥1980.0 |
| 规格: | 200ul | 产品价格: | ¥2800.0 |
| 产品编号 | bs-5505R |
| 英文名称 | phospho-MAPKAPK5 (Ser93) Rabbit pAb |
| 中文名称 | 磷酸化p38调节/激活蛋白激酶抗体 |
| 英文别名 | MAPKAPK5(phospho Ser93); MAPKAPK5(phospho S93); MAP kinase-activated protein kinase 5; MAPKAP kinase 5; MAPKAPK5; mitogen-activated protein kinase-activated protein kinase 5; p38-regulated/activated protein kinase. |
| 产品应用 | IHC-P=1:100-500, IHC-F=1:100-500, IF=1:100-500 Not yet tested in other applications. |
| 交叉反应 | Human, Mouse, Rat (Chicken, Dog, Cow, Horse) |
| 抗体来源 | Rabbit |
| 免疫原 | KLH conjugated Synthesised phosphopeptide derived from human MAPKAPK5 around the phosphorylation site of Ser93 |
| 亚型 | IgG |
| 性状 | Liquid |
| 纯化方法 | affinity purified by Protein A |
| 克隆类型 | Polyclonal |
| 理论分子量 | 52 kDa |
| 浓度 | 1mg/ml |
| 储存液 | 0.01M TBS (pH7.4) with 1% BSA, 0.02% Proclin300 and 50% Glycerol. |
| 亚基 | Interacts with ERK3/MAPK6 and ERK4/MAPK4 (via FRIEDE motif); the interaction is direct. Interacts with YWHAE; the interaction prevents phosphorylation of HSP27/HSPB1 leading to disrupt F-actin polymerization. Interacts with SQSTM1. |
| 亚细胞定位 | Cytoplasm. Nucleus. Note=Translocates to the cytoplasm following phosphorylation and activation. Interaction with ERK3/MAPK6 or ERK4/MAPK4 and phosphorylation at Thr-182, activates the protein kinase activity, followed by translocation to the cytoplasm. Phosphorylation by PKA/PRKACA at Ser-115 also induces nuclear export. |
| 组织特异性 | Expressed ubiquitously. |
| 翻译后修饰 | Phosphorylated on Thr-182 ERK3/MAPK6 or ERK4/MAPK4; which is the regulatory phosphorylation site and is located on the T-loop/loop 12, leading to activation. Phosphorylation at Thr-182 by p38-alpha/MAPK14, p38-beta/MAPK11 is subject to debate. Phosphorylated at Ser-115 by PKA/PRKACA, leading to localization to the cytoplasm. Autophosphorylated. |
| 相似性 | Belongs to the protein kinase superfamily. CAMK Ser/Thr protein kinase family. Contains 1 protein kinase domain. |
| 功能 | Tumor suppressor serine/threonine-protein kinase involved in mTORC1 signaling and post-transcriptional regulation. Phosphorylates FOXO3, ERK3/MAPK6, ERK4/MAPK4, HSP27/HSPB1, p53/TP53 and RHEB. Acts as a tumor suppressor by mediating Ras-induced senescence and phosphorylating p53/TP53. Involved in post-transcriptional regulation of MYC by mediating phosphorylation of FOXO3: phosphorylation of FOXO3 leads to promote nuclear localization of FOXO3, enabling expression of miR-34b and miR-34c, 2 post-transcriptional regulators of MYC that bind to the 3'UTR of MYC transcript and prevent MYC translation. Acts as a negative regulator of mTORC1 signaling by mediating phosphorylation and inhibition of RHEB. Part of the atypical MAPK signaling via its interaction with ERK3/MAPK6 or ERK4/MAPK4: the precise role of the complex formed with ERK3/MAPK6 or ERK4/MAPK4 is still unclear, but the complex follows a complex set of phosphorylation events: upon interaction with atypical MAPK (ERK3/MAPK6 or ERK4/MAPK4), ERK3/MAPK6 (or ERK4/MAPK4) is phosphorylated and then mediates phosphorylation and activation of MAPKAPK5, which in turn phosphorylates ERK3/MAPK6 (or ERK4/MAPK4). Mediates phosphorylation of HSP27/HSPB1 in response to PKA/PRKACA stimulation, inducing F-actin rearrangement. |
| 保存条件 | Shipped at 4℃. Store at -20℃ for one year. Avoid repeated freeze/thaw cycles. |
| 注意事项 | This product as supplied is intended for research use only, not for use in human, therapeutic or diagnostic applications. |
| 背景资料 | The serine/threonine kinase PRAK is activated in response to cellular stress and proinflammatory cytokines, through its phosphorylation by MAP kinases including MAPK1/ERK, MAPK14/p38 alpha, and MAPK11/p38 beta. PRAK has been reported to have a putative tumor suppressor function by mediating senescence upon activation by p38 in response to oncogenic ras. It is thought that phosphorylation of p53 by PRAK following activation of p38 MAPK by ras plays an important role in ras induced senescence and tumor suppression. |
| 应用 | 推荐稀释比例 |
| {IHC-P} | {1:100-500} |
| {IHC-F} | {1:100-500} |
| {IF} | {1:100-500} |

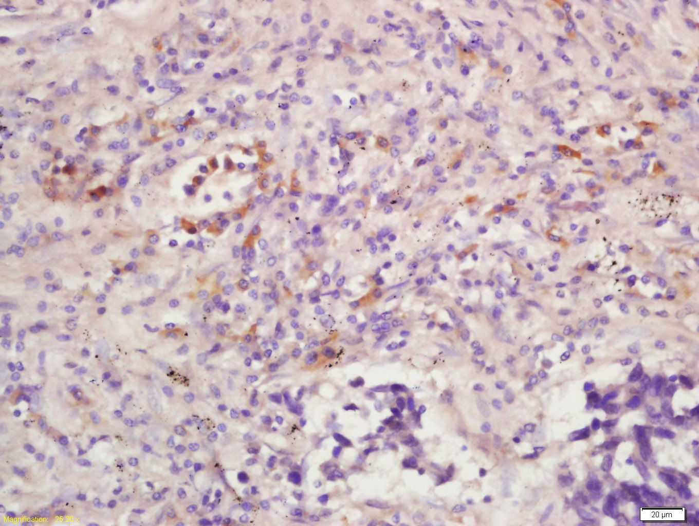
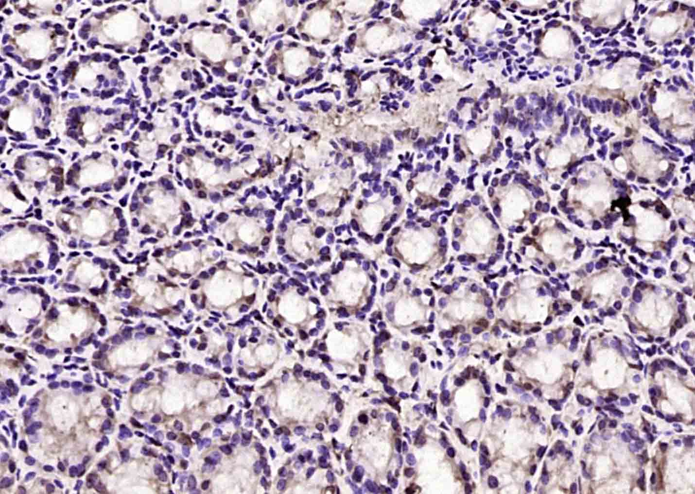
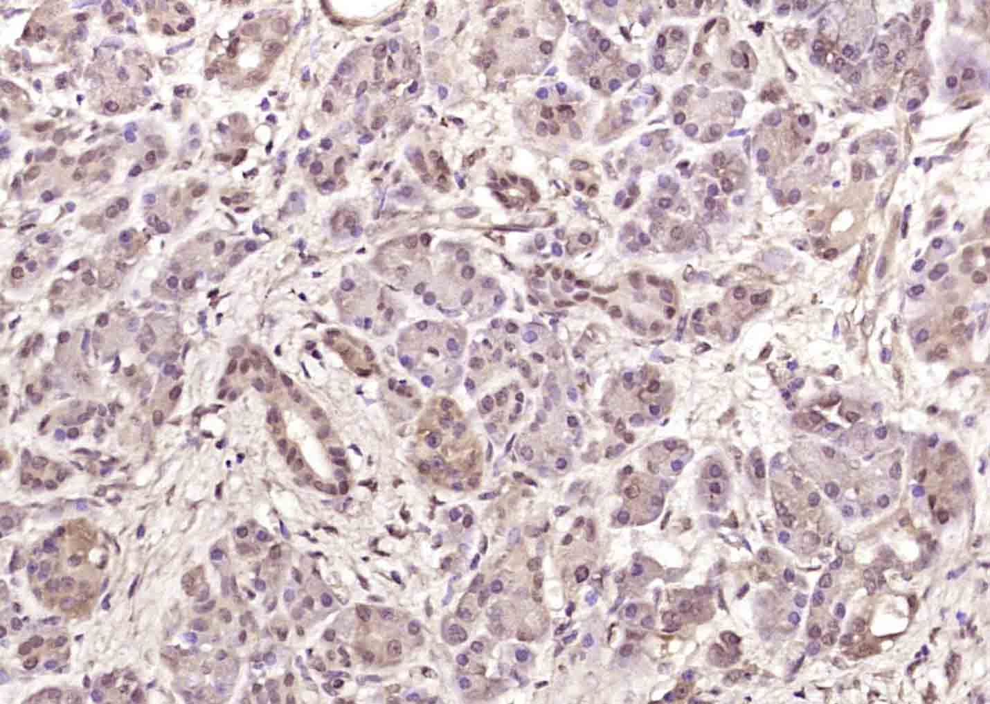
Antigen retrieval: citrate buffer ( 0.01M, pH 6.0 ), Boiling bathing for 15min; Block endogenous peroxidase by 3% Hydrogen peroxide for 30min; Blocking buffer (normal goat serum,C-0005) at 37℃ for 20 min;
Incubation: Anti-phospho-MAPKAPK5(Ser93) Polyclonal Antibody, Unconjugated(bs-5505R) 1:200, overnight at 4°C, followed by conjugation to the secondary antibody(SP-0023) and DAB(C-0010) staining




风险提示:丁香通仅作为第三方平台,为商家信息发布提供平台空间。用户咨询产品时请注意保护个人信息及财产安全,合理判断,谨慎选购商品,商家和用户对交易行为负责。对于医疗器械类产品,请先查证核实企业经营资质和医疗器械产品注册证情况。
文献和实验:使用 Anti-phospho-Akt (Ser473) Rabbit mAb 对石蜡包埋的人乳腺癌组织进行免疫组织化学分析。(图 A)使用免疫组化试剂盒M&R HRP/DAB Detection IHC Kit,抗体 1:100 稀释;(图 B) 采用普通免疫组化试剂盒,抗体 1:25 稀释。 图 6 免疫组化实验检测 Erk1/2 表达 注:使用 Anti-Erk1/2 Mouse mAb与p44/42 MAPK (Erk1/2)Rabbit mAb 对正常小鼠心脏组织进行免疫
at 10, 25, and 50 μM). At 24 h post-treatment, celllysates were obtained; SDS-PAGE and Western blotting were performed as described in Section 3, Methods. AR-A014418dose-dependent decreases of phospho-β-catenin (Ser33/37) and phospho-glycogen synthase
(Ser473)(193H12)Rabbit mAb,1:300,稀释,二抗是驴抗兔,1:2000,我是实验室的新手,刚呆俩月,受 此挫折,一头雾水,请过来人或者有经验的同学帮忙解答怎样解决,非常感谢! 碧峤 pAkt有两个位点,Ser473和Thr308,其中Ser473相对容易显色。如果显色失败,可能的原因:1 上样量过少,我们一般都是30μg;2 一抗孵育时间过短,我们一般24h~48h;3 一抗是否工作有待排除 米宝
技术资料暂无技术资料 索取技术资料






