相关产品推荐更多 >
万千商家帮你免费找货
0 人在求购买到急需产品
- 详细信息
- 文献和实验
- 技术资料
- 应用范围:
产品信息以Bioss网站为准
- 规格:
50ul/100ul/200ul
| 规格: | 50ul | 产品价格: | ¥1180.0 |
|---|---|---|---|
| 规格: | 100ul | 产品价格: | ¥1980.0 |
| 规格: | 200ul | 产品价格: | ¥2800.0 |
| 产品编号 | bs-3181R |
| 英文名称 | phospho-HSP90 alpha (Thr5 + Thr7) Rabbit pAb |
| 中文名称 | 磷酸化热休克蛋白90α抗体 |
| 英文别名 | HSP90 alpha(phospho-Thr5/7); HS90A_HUMAN; heat shock 90kDa protein 1 alpha; Heat shock protein 90kDa alpha cytosolic class A member 1; heat shock protein 90kDa alpha(cytosolic), class A member 2; Heat shock protein 90kDa alpha cytosolic class B member 1; Heat shock protein HSP 90 alpha; Heat shock protein HSP 90-alpha; Heat shock protein HSP 90 beta; HSP 84; HSP 86; Hsp 90; HSP84; HSP86; Hsp89; HSP89A; Hsp90; HSP90 beta; HSP90A; HSP90AA1; HSP90AB1; HSP90B; HSP90N; HSPC1; HSPC2; HSPCA; HSPCAL1; HSPCAL3; HSPCAL4; HSPCB; HSPN; Heat shock 86 kDa; HSP90ALPHA; HSPN; LAP2; Lipopolysaccharide associated protein2; LPS associated protein 2; NY REN 38 antigen; Renal carcinoma antigen NY REN 38; Renal carcinoma antigen NY-REN-38; D6S182; FLJ26984; FLJ31884. |
| 产品应用 | IHC-P=1:100-500, IHC-F=1:100-500, IF=1:100-500 Not yet tested in other applications. |
| 交叉反应 | Human, Mouse (Rat, Pig, Rabbit) |
| 抗体来源 | Rabbit |
| 免疫原 | KLH conjugated Synthesised phosphopeptide derived from human HSP90 around the phosphorylation site of Thr5 + Thr7 |
| 亚型 | IgG |
| 性状 | Liquid |
| 纯化方法 | affinity purified by Protein A |
| 克隆类型 | Polyclonal |
| 理论分子量 | 84 kDa |
| 浓度 | 1mg/ml |
| 储存液 | 0.01M TBS (pH7.4) with 1% BSA, 0.02% Proclin300 and 50% Glycerol. |
| 研究领域 | Cancer > Invasion/microenvironment > ECM > Extracellular matrix > MMPs Cancer > Tumor biomarkers Signal Transduction > Protein Trafficking > Chaperones > Heat Shock Proteins Signal Transduction > Protein Trafficking > Organelle Proteins |
| 亚基 | Homodimer. Interacts with AHSA1, FNIP1, HSF1, SMYD3 and TOM34. Interacts with TERT; the interaction, together with PTGES3, is required for correct assembly and stabilization of the TERT holoenzyme complex. Interacts with CHORDC1 and DNAJC7. Interacts with STUB1 and UBE2N; may couple the chaperone and ubiquitination systems. |
| 亚细胞定位 | Cytoplasm. Melanosome. Note=Identified by mass spectrometry in melanosome fractions from stage I to stage IV. |
| 翻译后修饰 | ISGylated.
S-nitrosylated; negatively regulates the ATPase activity and the activation of eNOS by HSP90AA1. |
| 相似性 | Belongs to the heat shock protein 90 family. |
| 功能 | Molecular chaperone that promotes the maturation, structural maintenance and proper regulation of specific target proteins involved for instance in cell cycle control and signal transduction. Undergoes a functional cycle that is linked to its ATPase activity. This cycle probably induces conformational changes in the client proteins, thereby causing their activation. Interacts dynamically with various co-chaperones that modulate its substrate recognition, ATPase cycle and chaperone function. |
| 保存条件 | Shipped at 4℃. Store at -20℃ for one year. Avoid repeated freeze/thaw cycles. |
| 注意事项 | This product as supplied is intended for research use only, not for use in human, therapeutic or diagnostic applications. |
| 背景资料 | Hsp90 (heat shock protein 90) is a molecular chaperone and is one of the most abundant proteins in unstressed cells. It is an ubiquitous molecular chaperone found in eubacteria and all branches of eukarya, but it is apparently absent in archaea. Whereas cytoplasmic Hsp90 is essential for viability under all conditions in eukaryotes, the bacterial homologue HtpG is dispensable under non-heat stress conditions. |
| 应用 | 推荐稀释比例 |
| {IHC-P} | {1:100-500} |
| {IHC-F} | {1:100-500} |
| {IF} | {1:100-500} |


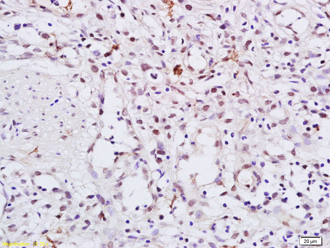
Antigen retrieval: citrate buffer ( 0.01M, pH 6.0 ), Boiling bathing for 15min; Block endogenous peroxidase by 3% Hydrogen peroxide for 30min; Blocking buffer (normal goat serum,C-0005) at 37℃ for 20 min;
Incubation: Anti-Phospho-HSP90 alpha (Thr5+Thr7) Polyclonal Antibody, Unconjugated(bs-3181R) 1:200, overnight at 4°C, followed by conjugation to the secondary antibody(SP-0023) and DAB(C-0010) staining
风险提示:丁香通仅作为第三方平台,为商家信息发布提供平台空间。用户咨询产品时请注意保护个人信息及财产安全,合理判断,谨慎选购商品,商家和用户对交易行为负责。对于医疗器械类产品,请先查证核实企业经营资质和医疗器械产品注册证情况。
文献和实验[IF={{ 4.145 }}] {Wanqing Zhou. et al. LncRNA-MEG3 attenuates hyperglycemia-induced damage by enhancing mitochondrial translocation of HSP90A in the primary hippocampal neurons. EXP CELL RES. 2022 Aug;:113320} {CoIP,WB} {Rat}
(Ser473)(193H12)Rabbit mAb,1:300,稀释,二抗是驴抗兔,1:2000,我是实验室的新手,刚呆俩月,受 此挫折,一头雾水,请过来人或者有经验的同学帮忙解答怎样解决,非常感谢! 碧峤 pAkt有两个位点,Ser473和Thr308,其中Ser473相对容易显色。如果显色失败,可能的原因:1 上样量过少,我们一般都是30μg;2 一抗孵育时间过短,我们一般24h~48h;3 一抗是否工作有待排除 米宝
antibody dilution buffer: TBS-T supplemented with2% (w/v) BSA. 6. Antibodies: Phospho-b-catenin Ser33/Ser37/Thr41, phospho-glycogen synthase Ser641, and glycogen synthase (CellSignaling Technologies, Beverly, MA); b-catenin and GSK-3b(BD PharMingen, San
v468. chapter 4 WNT 细胞通路 检测细胞GSK3活性与表达水平
4 ). 2. Other antibodies used were b-catenin (phospho-Thr41/Ser37/Ser33) (#9561; Cell Signaling Technology), b-catenin (#9562;Cell Signaling Technology), CRMP2 (pT514/509) (#PB-043; Kinasource, Dundee, Scotland) and CRMP2 (#AB-042;Kinasource). 3. Blocking buffer
技术资料暂无技术资料 索取技术资料










