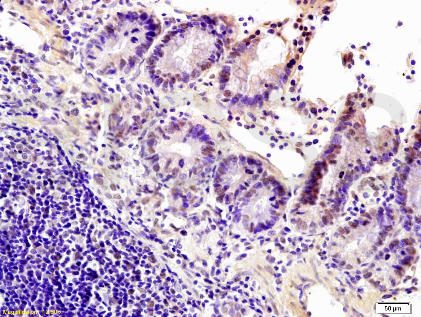
Tissue/cell: rat intestine tissue; 4% Paraformaldehyde-fixed and paraffin-embedded;
Antigen retrieval: citrate buffer ( 0.01M, pH 6.0 ), Boiling bathing for 15min; Block endogenous peroxidase by 3% Hydrogen peroxide for 30min; Blocking buffer (normal goat serum,C-0005) at 37℃ for 20 min;
Incubation: Anti-HP1 gamma Polyclonal Antibody, Unconjugated(bs-1421R) 1:200, overnight at 4°C, followed by conjugation to the secondary antibody(SP-0023) and DAB(C-0010) staining
相关产品推荐更多 >

Glucocorticoid receptor Rabbit pAb, PE-Cy7 conjugated(bs-0252R-PE-Cy7)-100ul
¥2980
Bestrophin 4 Rabbit pAb, HRP conjugated(bs-11043R-HRP)-100ul
¥2980
HLA G Rabbit pAb, HRP conjugated(bs-0752R-HRP)-100ul
¥2980
PRPF4 Rabbit pAb(bs-20098R)-50ul/100ul/200ul
¥1180
ZNF282 Rabbit pAb(bs-7207R)-50ul/100ul/200ul
¥1180
万千商家帮你免费找货
0 人在求购买到急需产品
- 详细信息
- 技术资料
- 应用范围:
产品信息以Bioss网站为准
- 规格:
50ul/100ul/200ul
| 规格: | 50ul | 产品价格: | ¥1180.0 |
|---|---|---|---|
| 规格: | 100ul | 产品价格: | ¥1980.0 |
| 规格: | 200ul | 产品价格: | ¥2800.0 |
| 产品编号 | bs-1421R |
| 英文名称 | HP1 gamma Rabbit pAb |
| 中文名称 | 异染色质蛋白1-γ/HP-1γ抗体 |
| 英文别名 | CBX 3; CBX3; Chromobox homolog 3; Chromobox protein homolog 3; HECH; Heterochromatin like protein 1; Heterochromatin protein 1 homolog gamma; Heterochromatin protein HP1 gamma; HP1 gamma homolog; HP1Hs gamma; Modifier 2; protein HP1-GAMMA; HP1g; M32; MGC118084; CBX3_HUMAN; Modifier 2 protein; |
| 中文别名 | HP-1-γ; HP 1γ; HP-1γ; HP-1 γ; HP1γ; HP1 γ; |
| 产品应用 | IHC-P=1:100-500, IHC-F=1:100-500, IF=1:100-500 Not yet tested in other applications. |
| 交叉反应 | Rat (Human, Mouse, Chicken, Dog, Cow, Rabbit) |
| 抗体来源 | Rabbit |
| 免疫原 | KLH conjugated synthetic peptide derived from human HP1 gamma |
| 亚型 | IgG |
| 性状 | Liquid |
| 纯化方法 | affinity purified by Protein A |
| 克隆类型 | Polyclonal |
| 理论分子量 | 21 kDa |
| 浓度 | 1mg/ml |
| 储存液 | 0.01M TBS (pH7.4) with 1% BSA, 0.02% Proclin300 and 50% Glycerol. |
| 研究领域 | Epigenetics and Nuclear Signaling > Chromatin Binding Proteins > Methyl Lysine Epigenetics and Nuclear Signaling > Chromatin Binding Proteins > Methylated DNA |
| 亚基 | Binds directly to CHAF1A. Interacts with histone H3 methylated at 'Lys-9'. Part of the E2F6.com-1 complex in G0 phase composed of E2F6, MGA, MAX, TFDP1, CBX3, BAT8, EUHMTASE1, RING1, RNF2, MBLR, L3MBTL2 and YAF2. Interacts with LBR, INCENP, TRIM28/TIF1B, SUV420H1, SUV420H2 and SP100. Interacts with TIF1A. Interacts with MIS12 and DSN1. Can interact directly with CBX5 via the chromoshadow domain. Interacts with POGZ. Interacts with CHAMP1. Interacts with ASXL1. |
| 亚细胞定位 | Nucleus (Potential). Note=Associates with euchromatin and is largely excluded from constitutive heterochromatin. May be associated with microtubules and mitotic poles during mitosis (Potential). |
| 翻译后修饰 | Phosphorylated by PIM1. Phosphorylated during interphase and possibly hyper-phosphorylated during mitosis. |
| 相似性 | Contains 2 chromo domains. |
| 功能 | Seems to be involved in transcriptional silencing in heterochromatin-like complexes. Recognizes and binds histone H3 tails methylated at 'Lys-9', leading to epigenetic repression. May contribute to the association of the heterochromatin with the inner nuclear membrane through its interaction with lamin B receptor (LBR). Involved in the formation of functional kinetochore through interaction with MIS12 complex proteins. |
| 保存条件 | Shipped at 4℃. Store at -20℃ for one year. Avoid repeated freeze/thaw cycles. |
| 注意事项 | This product as supplied is intended for research use only, not for use in human, therapeutic or diagnostic applications. |
| 背景资料 | HP1 gamma appears to be involved in transcriptional silencing in heterochromatin-like complexes. It recognizes and binds histone H3 tails methylated at 'Lys-9', leading to epigenetic repression. HP1 gamma may contribute to the association of the heterochromatin with the inner nuclear membrane through its interaction with lamin B receptor (LBR) and involved in the formation of functional kinetochore through interaction with MIS12 complex proteins. |
| 应用 | 推荐稀释比例 |
| {IHC-P} | {1:100-500} |
| {IHC-F} | {1:100-500} |
| {IF} | {1:100-500} |

风险提示:丁香通仅作为第三方平台,为商家信息发布提供平台空间。用户咨询产品时请注意保护个人信息及财产安全,合理判断,谨慎选购商品,商家和用户对交易行为负责。对于医疗器械类产品,请先查证核实企业经营资质和医疗器械产品注册证情况。
技术资料暂无技术资料 索取技术资料
HP1 gamma Rabbit pAb(bs-1421R)-50ul/100ul/200ul
¥1180 - 2800






