相关产品推荐更多 >

ZDHHC8 Rabbit pAb, PerCP-Cy5.5 conjugated(bs-18486R-PerCP-Cy5.5)-100ul
¥2980
S100P binding protein Rabbit pAb, APC-Cy7 conjugated(bs-6577R-APC-Cy7)-100ul
¥2980
DERA Rabbit pAb(bs-14279R)-50ul/100ul/200ul
¥1180
KCNJ6 Rabbit pAb(bs-4214R)-50ul/100ul/200ul
¥1180
Aspartate beta hydroxylase Rabbit pAb, FITC conjugated(bs-12137R-FITC)-100ul
¥2980
万千商家帮你免费找货
0 人在求购买到急需产品
- 详细信息
- 文献和实验
- 技术资料
- 应用范围:
产品信息以Bioss网站为准
- 规格:
50ul/100ul/200ul
| 规格: | 50ul | 产品价格: | ¥1180.0 |
|---|---|---|---|
| 规格: | 100ul | 产品价格: | ¥1980.0 |
| 规格: | 200ul | 产品价格: | ¥2800.0 |
| 产品编号 | bs-0492R |
| 英文名称 | RGS2 Rabbit pAb |
| 中文名称 | G蛋白信号转导调节因子2抗体 |
| 英文别名 | Basic helix-loop-helix phosphoprotein G0S8; Cell growth inhibiting protein 31; Cell growth-inhibiting gene 31 protein; G0 to G1 switch regulatory 8 24kD; G0/G1 switch regulatory protein 8; GOS8; OTTHUMP00000060765; Regulator of G protein signaling 2; Regulator of G protein signalling 2 24kD; Regulators of G protein signaling XRGSVI; RGS 2. |
| 产品应用 | IHC-P=1:100-500, IHC-F=1:100-500, IF=1:100-500 Not yet tested in other applications. |
| 交叉反应 | Human, Rat (Mouse, Chicken, Pig, Cow, Horse, Sheep) |
| 抗体来源 | Rabbit |
| 免疫原 | KLH conjugated synthetic peptide derived from human RGS2 |
| 亚型 | IgG |
| 性状 | Liquid |
| 纯化方法 | affinity purified by Protein A |
| 克隆类型 | Polyclonal |
| 理论分子量 | 24 kDa |
| 浓度 | 1mg/ml |
| 储存液 | 0.01M TBS (pH7.4) with 1% BSA, 0.02% Proclin300 and 50% Glycerol. |
| 研究领域 | Cardiovascular > Atherosclerosis > Hypertension > Vascular remodelling Cardiovascular > Blood > Blood Pressure regulation Cardiovascular > Heart > Hypertrophy Epigenetics and Nuclear Signaling > Transcription > Domain Families > HLH / Leucine Zipper > HLH Signal Transduction > Signaling Pathway > G Protein Signaling > Small G Proteins > Regulators |
| 亚基 | Interacts with EIF2B5. Interacts with PRKG1 (isoform alpha). |
| 亚细胞定位 | Isoform 1: Cell membrane. Cytoplasm. Nucleus, nucleolus.
Isoform 2: Cell membrane. Cytoplasm. Nucleus, nucleolus. Isoform 3: Cell membrane. Cytoplasm. Nucleus, nucleolus. Isoform 4: Cell membrane. Mitochondrion. |
| 组织特异性 | Expressed in acute myelogenous leukemia (AML) and in acute lymphoblastic leukemia (ALL). |
| 翻译后修饰 | Phosphorylated by protein kinase C. Phosphorylation by PRKG1 leads to activation of RGS2 activity. |
| 相似性 | Contains 1 RGS domain. |
| 功能 | Inhibits signal transduction by increasing the GTPase activity of G protein alpha subunits thereby driving them into their inactive GDP-bound form. May play a role in leukemogenesis. Plays a role in negative feedback control pathway for adenylyl cyclase signaling. Binds EIF2B5 and blocks its activity, thereby inhibiting the translation of mRNA into protein. |
| 保存条件 | Shipped at 4℃. Store at -20℃ for one year. Avoid repeated freeze/thaw cycles. |
| 注意事项 | This product as supplied is intended for research use only, not for use in human, therapeutic or diagnostic applications. |
| 背景资料 | Regulator of G protein signaling (RGS) family members are regulatory molecules that act as GTPase activating proteins (GAPs) for G alpha subunits of heterotrimeric G proteins. RGS proteins are able to deactivate G protein subunits of the Gi alpha, Go alpha and Gq alpha subtypes. They drive G proteins into their inactive GDP-bound forms. Regulator of G protein signaling 2 belongs to this family. The protein acts as a mediator of myeloid differentiation and may play a role in leukemogenesis. [provided by RefSeq]. |
| 应用 | 推荐稀释比例 |
| {IHC-P} | {1:100-500} |
| {IHC-F} | {1:100-500} |
| {IF} | {1:100-500} |

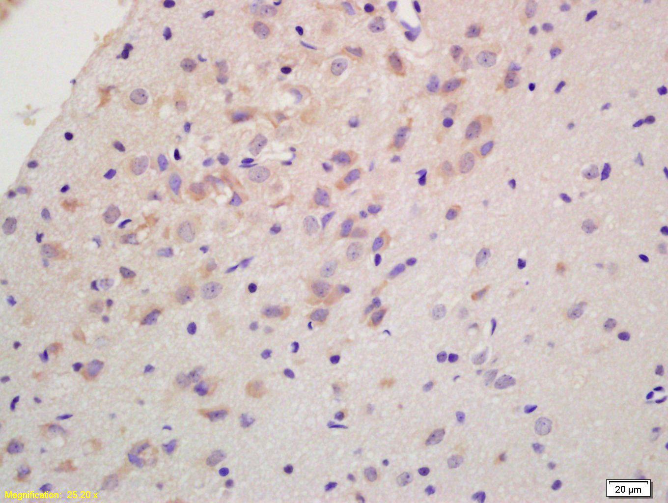
Antigen retrieval: citrate buffer ( 0.01M, pH 6.0 ), Boiling bathing for 15min; Block endogenous peroxidase by 3% Hydrogen peroxide for 30min; Blocking buffer (normal goat serum,C-0005) at 37℃ for 20 min;
Incubation: Anti-RGS2 Polyclonal Antibody, Unconjugated(bs-0492R) 1:200, overnight at 4°C, followed by conjugation to the secondary antibody(SP-0023) and DAB(C-0010) staining

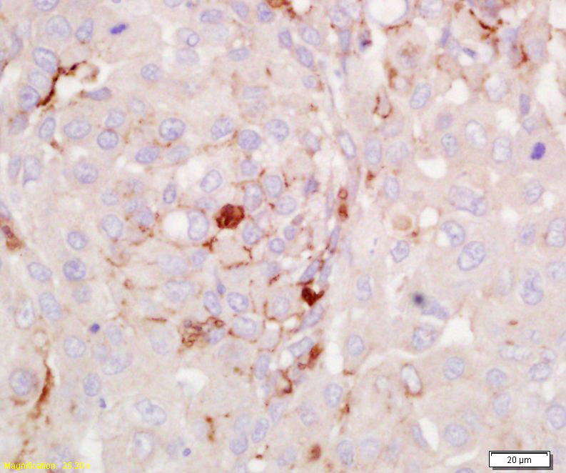
Antigen retrieval: citrate buffer ( 0.01M, pH 6.0 ), Boiling bathing for 15min; Block endogenous peroxidase by 3% Hydrogen peroxide for 30min; Blocking buffer (normal goat serum,C-0005) at 37℃ for 20 min;
Incubation: Anti-RGS2 Polyclonal Antibody, Unconjugated(bs-0492R) 1:200, overnight at 4°C, followed by conjugation to the secondary antibody(SP-0023) and DAB(C-0010) staining
风险提示:丁香通仅作为第三方平台,为商家信息发布提供平台空间。用户咨询产品时请注意保护个人信息及财产安全,合理判断,谨慎选购商品,商家和用户对交易行为负责。对于医疗器械类产品,请先查证核实企业经营资质和医疗器械产品注册证情况。
文献和实验= NAL), appears to form upon oxidative cyclization of the nonfluorescent 2:1 lysine-HNE Michael adduct-Schiff base cross-link (Scheme 1). Polyclonal antibody (PAb) to the NAL-HNE fluorophore was raised in rabbit and found to be highly specific
GE Healthcare Benzamidine Sepharose™ 6B is p-aminobenzamidine covalently attached to Sepharose 6B by the epoxy coupling method. p-Aminobenzamidine (PAB), is a synthetic inhibitor of trypsin-like serine protease. Trypsin and trypsin
Nucleic Acid Programmable Protein Arrays: Versatile Tools for Array‐Based Functional Protein Studies
.g., Sigma) 50 mg/ml bis‐sulfosuccinimdylsuberate (BS3 ;Pierce, cat. no. PI 21580) in dimethylsulfoxide (DMSO) 5 mg/ml
技术资料暂无技术资料 索取技术资料






