相关产品推荐更多 >

Anti-LAG-3 & PD-1 Reference Antibody (Tebotelimab Biosimilar)(BIO1000SM)-100ug/1mg/5mg
¥2160
Desmocollin 4 Rabbit pAb(bs-9926R)-50ul/100ul/200ul
¥1180
phospho-MST3 (Thr178) Rabbit pAb, HRP conjugated(bs-10684R-HRP)-100ul
¥2980
G protein alpha 16 Rabbit pAb, Biotin conjugated(bs-13248R-Bio)-100ul
¥2980
AFP Rabbit pAb, Biotin conjugated(bs-4821R-Bio)-100ul
¥2980
万千商家帮你免费找货
0 人在求购买到急需产品
- 详细信息
- 技术资料
- 应用范围:
产品信息以Bioss网站为准
- 规格:
50ul/100ul/200ul
| 规格: | 50ul | 产品价格: | ¥1180.0 |
|---|---|---|---|
| 规格: | 100ul | 产品价格: | ¥1980.0 |
| 规格: | 200ul | 产品价格: | ¥2800.0 |
| 产品编号 | bs-11889R |
| 英文名称 | Meis homeobox 3 Rabbit pAb |
| 中文名称 | 同源盒蛋白MEIS3抗体 |
| 英文别名 | Homeobox protein meis3; Meis1 myeloid ecotropic viral integration site 1 homolog 3; Meis1 related protein 2; Meis1-related protein 2 antibodymeis3; MEIS3_HUMAN; MRG2. |
| 产品应用 | IHC-P=1:100-500, IHC-F=1:100-500, IF=1:100-500 Not yet tested in other applications. |
| 交叉反应 | Rat (Mouse, Dog, Rabbit, Sheep) |
| 抗体来源 | Rabbit |
| 免疫原 | KLH conjugated synthetic peptide derived from human Meis homeobox 3 |
| 亚型 | IgG |
| 性状 | Liquid |
| 纯化方法 | affinity purified by Protein A |
| 克隆类型 | Polyclonal |
| 理论分子量 | 41 kDa |
| 浓度 | 1mg/ml |
| 储存液 | 0.01M TBS (pH7.4) with 1% BSA, 0.02% Proclin300 and 50% Glycerol. |
| 研究领域 | Epigenetics and Nuclear Signaling > Transcription > Domain Families > Developmental Families Epigenetics and Nuclear Signaling > Transcription > Transcription Factors Neuroscience > Neurology process > Neurogenesis |
| 亚细胞定位 | Nucleus. |
| 相似性 | Belongs to the TALE/MEIS homeobox family. Contains 1 homeobox DNA-binding domain. |
| 保存条件 | Shipped at 4℃. Store at -20℃ for one year. Avoid repeated freeze/thaw cycles. |
| 注意事项 | This product as supplied is intended for research use only, not for use in human, therapeutic or diagnostic applications. |
| 背景资料 | Hox, Pbx and Meis families of transcription factors form heteromeric complexes and bind DNA through specific homeobox domains. Hox proteins are involved in regulating tissue patterning during development, and are also expressed in lineage- and stage-specific patterns during adult hematopoietic differentiation and in leukemias. The Hox proteins, which include paralog groups 1-10, have a low intrinsic binding affinity for DNA and are instead associated into cooperative DNA binding complexes with Pbx or the Pbx- related Meis proteins, which result in an enhanced Hox-DNA binding affinity and an increased selectivity for the binding site. Both Meis1 and Meis2 (also known as Meis-related gene 1 or Mrg1) are members of the TALE (“three amino acid loop extension”) family of homeodomain-containing proteins. In addition to binding with Hox proteins, Meis1 also forms heterodimers with the ubiquitously expressed Pbx proteins, including Pbx1, Pbx2 and Pbx3, and these complexes contain distinct DNA-binding specificities. Like Hox and Pbx proteins, Meis1 is implicated in oncogenesis, as it is overexpressed as a result of adjacent retroviral insertion in BHX-2 myeloid leukemias. Two Meis-related proteins, Meis2 and Meis3 (also designated Mrg1 and Mrg2, respectively), possess largely similar sequence identity with Meis1 and are expressed in normal tissues and myeloid leukemias. In the pancreas, Meis2 preferentially associates with Pbx1, and together they associate with the pancreas-specific homeodomain factor, Pdx1, to repress Pdx1-induced transcriptional activation. |
| 应用 | 推荐稀释比例 |
| {IHC-P} | {1:100-500} |
| {IHC-F} | {1:100-500} |
| {IF} | {1:100-500} |

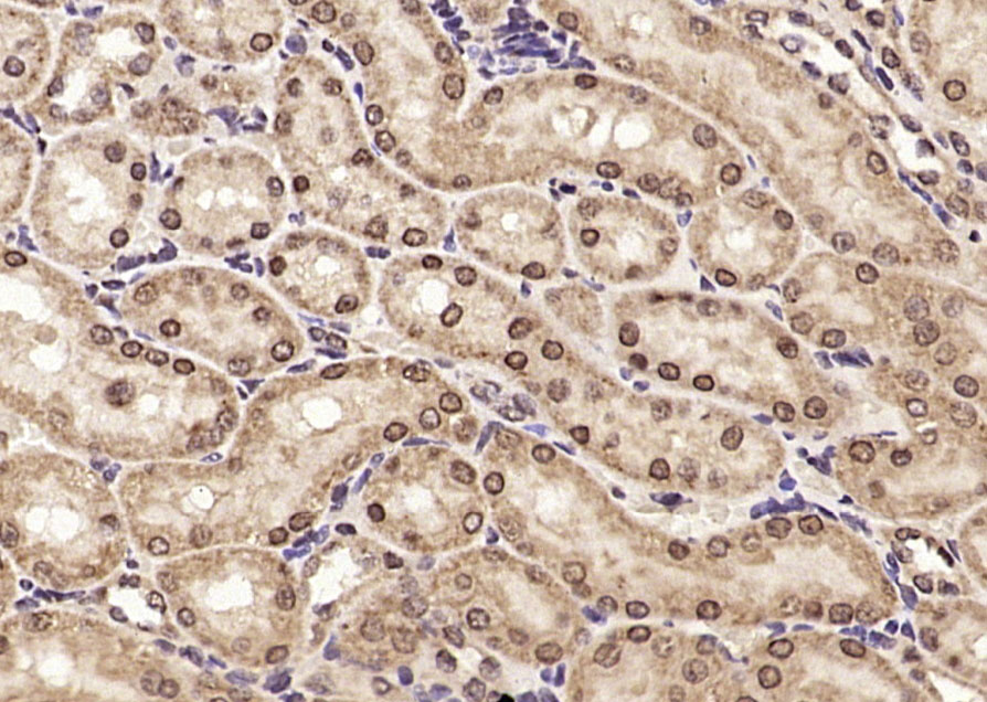
Paraformaldehyde-fixed, paraffin embedded (rat kidney); Antigen retrieval by microwave in sodium citrate buffer (pH6.0) ; Block endogenous peroxidase by 3% hydrogen peroxide for 30 minutes; Blocking buffer (3% BSA) at RT for 30min; Antibody incubation with (Meis homeobox 3) Polyclonal Antibody, Unconjugated (bs-11889R) at 1:400 overnight at 4℃, followed by conjugation to the secondary antibody (labeled with HRP)and DAB staining.

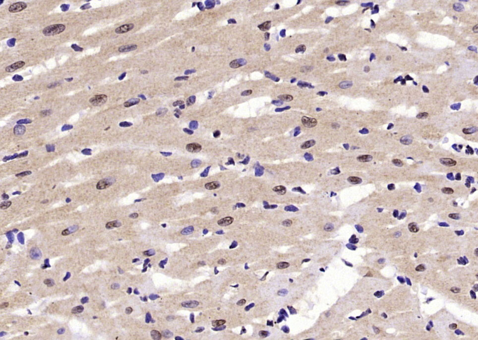
Paraformaldehyde-fixed, paraffin embedded (rat heart); Antigen retrieval by microwave in sodium citrate buffer (pH6.0) ; Block endogenous peroxidase by 3% hydrogen peroxide for 30 minutes; Blocking buffer (3% BSA) at RT for 30min; Antibody incubation with (Meis homeobox 3) Polyclonal Antibody, Unconjugated (bs-11889R) at 1:400 overnight at 4℃, followed by conjugation to the secondary antibody (labeled with HRP)and DAB staining.
风险提示:丁香通仅作为第三方平台,为商家信息发布提供平台空间。用户咨询产品时请注意保护个人信息及财产安全,合理判断,谨慎选购商品,商家和用户对交易行为负责。对于医疗器械类产品,请先查证核实企业经营资质和医疗器械产品注册证情况。
技术资料暂无技术资料 索取技术资料
Meis homeobox 3 Rabbit pAb(bs-11889R)-50ul/100ul/200ul
¥1180 - 2800






