相关产品推荐更多 >

CORO2B Rabbit pAb(bs-13997R)-50ul/100ul/200ul
¥1180
AMPK alpha 2 Rabbit pAb, AP conjugated(bs-22270R-AP)-100ul
¥2980
POFUT2 Rabbit pAb, HRP conjugated(bs-12751R-HRP)-100ul
¥2980
Creatine Kinase MB Rabbit pAb, AP conjugated(bs-14049R-AP)-100ul
¥2980
Dopamine D5 receptor Rabbit pAb(bs-1747R)-50ul/100ul/200ul
¥1180
万千商家帮你免费找货
0 人在求购买到急需产品
- 详细信息
- 文献和实验
- 技术资料
- 应用范围:
产品信息以Bioss网站为准
- 规格:
50ul/100ul/200ul
| 规格: | 50ul | 产品价格: | ¥1180.0 |
|---|---|---|---|
| 规格: | 100ul | 产品价格: | ¥1980.0 |
| 规格: | 200ul | 产品价格: | ¥2800.0 |
| 产品编号 | bs-12676R |
| 英文名称 | PRAM1 Rabbit pAb |
| 中文名称 | PRAM1蛋白抗体 |
| 英文别名 | PML RAR; PML RARA regulated adaptor molecule 1; PML RARA target gene encoding an Adaptor Molecule 1; PML-RARA-regulated adapter molecule 1; PRAM 1; PRAM; PRAM-1; PRAM_HUMAN; PRAM1. |
| 产品应用 | IHC-P=1:100-500, IHC-F=1:100-500, IF=1:100-500 Not yet tested in other applications. |
| 交叉反应 | Human (Mouse, Rat, Dog, Pig, Cow, Horse, Sheep) |
| 抗体来源 | Rabbit |
| 免疫原 | KLH conjugated synthetic peptide derived from human PRAM1 |
| 亚型 | IgG |
| 性状 | Liquid |
| 纯化方法 | affinity purified by Protein A |
| 克隆类型 | Polyclonal |
| 理论分子量 | 79 kDa |
| 浓度 | 1mg/ml |
| 储存液 | 0.01M TBS (pH7.4) with 1% BSA, 0.02% Proclin300 and 50% Glycerol. |
| 研究领域 | Signal Transduction > Adapters > Cytoplasmic |
| 组织特异性 | Expressed in peripheral blood leukocytes and bone marrow. Expressed in monocytes, and to a lesser extent in granulocytes and lymphocytes. Not expressed in non hematopoietic tissues except in lung. |
| 翻译后修饰 | May be phosphorylated on tyrosines. |
| 相似性 | Contains 1 SH3 domain. |
| 功能 | May be involved in myeloid differentiation. May be involved in integrin signaling in neutrophils. Binds to PtdIns(4)P. |
| 保存条件 | Shipped at 4℃. Store at -20℃ for one year. Avoid repeated freeze/thaw cycles. |
| 注意事项 | This product as supplied is intended for research use only, not for use in human, therapeutic or diagnostic applications. |
| 背景资料 | Complete remission of acute promyelocytic leukemia can be achieved by treating patients with retinoic acid, and PML-RAR-a (promyelocytic leukemia-retinoic acid receptor alpha fusion protein) plays a major role in mediating retinoic acid effects in leukemia cells. The retinoic acid-induced gene, PRAM-1 (PML-RAR-a target gene encoding an adaptor molecule 1) encodes an adaptor protein which is expressed and modulated during normal human myelopoiesis. PRAM-1 expression is hindered by expression of PML-RAR-a. The 718 amino acid PRAM-1 protein contains eight N-terminal proline-rich repeats and several proline residues that are clustered as type I or type II SH3 recognition motifs. PRAM-1 demonstrates expression in hematopoietic tissues and lung. |
| 应用 | 推荐稀释比例 |
| {IHC-P} | {1:100-500} |
| {IHC-F} | {1:100-500} |
| {IF} | {1:100-500} |

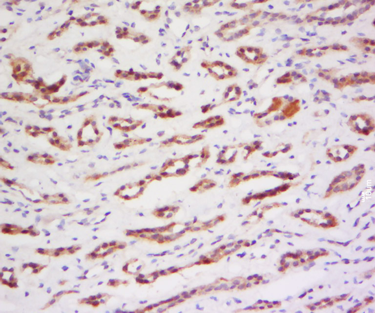
Antigen retrieval: citrate buffer ( 0.01M, pH 6.0 ), Boiling bathing for 15min; Block endogenous peroxidase by 3% Hydrogen peroxide for 30min; Blocking buffer (normal goat serum,C-0005) at 37℃ for 20 min;
Incubation: Anti-PRAM1 Polyclonal Antibody, Unconjugated(bs-12676R) 1:200, overnight at 4°C, followed by conjugation to the secondary antibody(SP-0023) and DAB(C-0010) staining
风险提示:丁香通仅作为第三方平台,为商家信息发布提供平台空间。用户咨询产品时请注意保护个人信息及财产安全,合理判断,谨慎选购商品,商家和用户对交易行为负责。对于医疗器械类产品,请先查证核实企业经营资质和医疗器械产品注册证情况。
文献和实验= NAL), appears to form upon oxidative cyclization of the nonfluorescent 2:1 lysine-HNE Michael adduct-Schiff base cross-link (Scheme 1). Polyclonal antibody (PAb) to the NAL-HNE fluorophore was raised in rabbit and found to be highly specific
GE Healthcare Benzamidine Sepharose™ 6B is p-aminobenzamidine covalently attached to Sepharose 6B by the epoxy coupling method. p-Aminobenzamidine (PAB), is a synthetic inhibitor of trypsin-like serine protease. Trypsin and trypsin
Nucleic Acid Programmable Protein Arrays: Versatile Tools for Array‐Based Functional Protein Studies
.g., Sigma) 50 mg/ml bis‐sulfosuccinimdylsuberate (BS3 ;Pierce, cat. no. PI 21580) in dimethylsulfoxide (DMSO) 5 mg/ml
技术资料暂无技术资料 索取技术资料






