相关产品推荐更多 >

Granzyme A Rabbit pAb(bs-2578R)-50ul/100ul/200ul
¥1180
Ceramide glucosyltransferase Rabbit pAb, HRP conjugated(bs-8593R-HRP)-100ul
¥2980
CKMT Rabbit pAb(bs-6522R)-50ul/100ul/200ul
¥1180
human CD3 Mouse mAb, PE-Cy5.5 conjugated(bsm-30092M-PE-Cy5.5)-25T/50T/100T
¥1080
FAM98A Rabbit pAb, Cy5 conjugated(bs-11012R-Cy5)-100ul
¥2980
万千商家帮你免费找货
0 人在求购买到急需产品
- 详细信息
- 文献和实验
- 技术资料
- 应用范围:
产品信息以Bioss网站为准
- 规格:
50ul/100ul/200ul
| 规格: | 50ul | 产品价格: | ¥1180.0 |
|---|---|---|---|
| 规格: | 100ul | 产品价格: | ¥1980.0 |
| 规格: | 200ul | 产品价格: | ¥2800.0 |
| 产品编号 | bs-4461R |
| 英文名称 | SEMA3G Rabbit pAb |
| 中文名称 | 臂板蛋白3G抗体 |
| 英文别名 | FLJ00014; MGC119473; Sem2; SEM3G_HUMAN; Sema domain immunoglobulin domain(Ig) short basic domain secreted(semaphorin) 3G; Sema3g; Semaphorin 3G; Semaphorin sem2; Semaphorin-3G. |
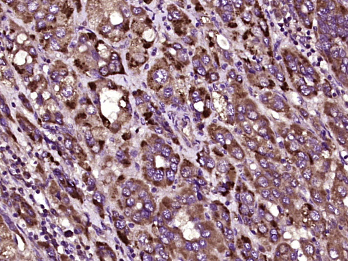
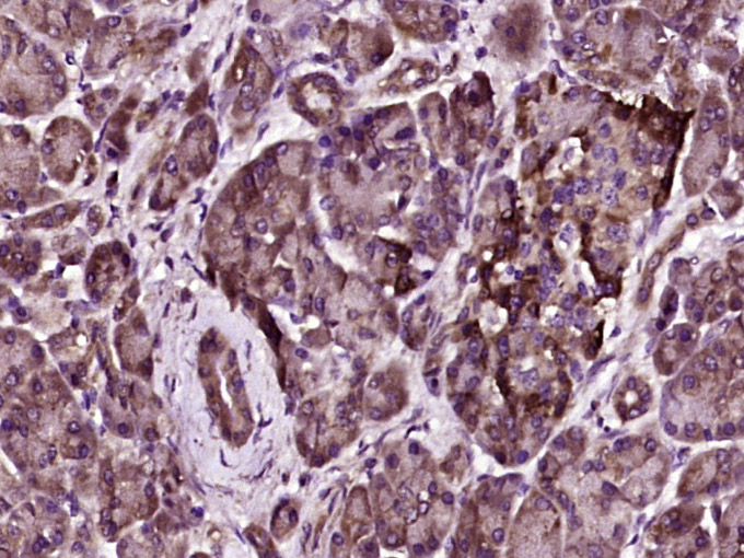
| 产品应用 | IHC-P=1:100-500, IHC-F=1:100-500, IF=1:100-500 Not yet tested in other applications. |
| 交叉反应 | Human (Mouse, Rat) |
| 抗体来源 | Rabbit |
| 免疫原 | KLH conjugated synthetic peptide derived from human SEMA3G |
| 亚型 | IgG |
| 性状 | Liquid |
| 纯化方法 | affinity purified by Protein A |
| 克隆类型 | Polyclonal |
| 理论分子量 | 87 kDa |
| 浓度 | 1mg/ml |
| 储存液 | Preservative: 0.02% Proclin300, Constituents: 1% BSA, 0.01M PBS, pH7.4. |
| 研究领域 | Immunology > Immunoglobulins > Receptors |
| 亚细胞定位 | Secreted. |
| 相似性 | Belongs to the semaphorin family. Contains 1 Ig-like C2-type (immunoglobulin-like) domain. Contains 1 Sema domain. |
| 功能 | Has chemorepulsive activities for sympathetic axons. Ligand of NRP2. |
| 保存条件 | Shipped at 4℃. Store at -20℃ for one year. Avoid repeated freeze/thaw cycles. |
| 注意事项 | This product as supplied is intended for research use only, not for use in human, therapeutic or diagnostic applications. |
| 背景资料 | The transcription of this gene is activated by PPAR-gamma, and the resulting protein product plays a role in endothelial cell migration. Expression of this gene also inhibits tumor cell migration and invasion. [provided by RefSeq, Jul 2016] |
| 应用 | 推荐稀释比例 |
| {IHC-P} | {1:100-500} |
| {IHC-F} | {1:100-500} |
| {IF} | {1:100-500} |


风险提示:丁香通仅作为第三方平台,为商家信息发布提供平台空间。用户咨询产品时请注意保护个人信息及财产安全,合理判断,谨慎选购商品,商家和用户对交易行为负责。对于医疗器械类产品,请先查证核实企业经营资质和医疗器械产品注册证情况。
文献和实验= NAL), appears to form upon oxidative cyclization of the nonfluorescent 2:1 lysine-HNE Michael adduct-Schiff base cross-link (Scheme 1). Polyclonal antibody (PAb) to the NAL-HNE fluorophore was raised in rabbit and found to be highly specific
GE Healthcare Benzamidine Sepharose™ 6B is p-aminobenzamidine covalently attached to Sepharose 6B by the epoxy coupling method. p-Aminobenzamidine (PAB), is a synthetic inhibitor of trypsin-like serine protease. Trypsin and trypsin
Nucleic Acid Programmable Protein Arrays: Versatile Tools for Array‐Based Functional Protein Studies
.g., Sigma) 50 mg/ml bis‐sulfosuccinimdylsuberate (BS3 ;Pierce, cat. no. PI 21580) in dimethylsulfoxide (DMSO) 5 mg/ml
技术资料暂无技术资料 索取技术资料





