相关产品推荐更多 >
万千商家帮你免费找货
0 人在求购买到急需产品
- 详细信息
- 文献和实验
- 技术资料
- 应用范围:
产品信息以Bioss网站为准
- 规格:
50ul/100ul/200ul
| 规格: | 50ul | 产品价格: | ¥1180.0 |
|---|---|---|---|
| 规格: | 100ul | 产品价格: | ¥1980.0 |
| 规格: | 200ul | 产品价格: | ¥2800.0 |
| 产品编号 | bs-5717R |
| 英文名称 | Axin 2 Rabbit pAb |
| 中文名称 | 轴抑制蛋白2抗体 |
| 英文别名 | Axil; Axin like protein; Axin-2; Axin-like protein; Axin2; Axis inhibition protein 2; AXIN2_HUMAN; Conductin. |
| 产品应用 | WB=1:500-2000, IHC-P=1:100-500, IHC-F=1:100-500, IF=1:100-500 Not yet tested in other applications. |
| 交叉反应 | Mouse, Rat (Human, Dog, Horse) |
| 抗体来源 | Rabbit |
| 免疫原 | KLH conjugated synthetic peptide derived from human Axin 2 corresponding |
| 亚型 | IgG |
| 性状 | Liquid |
| 纯化方法 | affinity purified by Protein A |
| 克隆类型 | Polyclonal |
| 理论分子量 | 93 kDa |
| 浓度 | 1mg/ml |
| 储存液 | 0.01M TBS (pH7.4) with 1% BSA, 0.02% Proclin300 and 50% Glycerol. |
| 研究领域 | Cancer > Cell cycle > Cell differentiation Cell Biology > Cell Cycle > Cell differentiation Epigenetics and Nuclear Signaling > Transcription > Cancer susceptibility > Proto-oncogenes Neuroscience > Neurology process > Neurogenesis Stem Cells > Signaling Pathways > Wnt > Cytoplasmic |
| 亚基 | Interacts with glycogen synthase kinase-3 beta (GSK3B) and beta-catenin. The interaction between axin and beta-catenin occurs via the armadillo repeats contained in beta-catenin (By similarity). Interacts with SMAD7 and RNF111. Interacts with ANKRD6. |
| 亚细胞定位 | Cytoplasm. |
| 组织特异性 | Expressed in brain and lymphoblast. |
| 翻译后修饰 | Probably phosphorylated by GSK3B and dephosphorylated by PP2A (By similarity). ADP-ribosylated by tankyrase TNKS and TNKS2. Poly-ADP-ribosylated protein is recognized by RNF146, followed by ubiquitination and subsequent activation of the Wnt signaling pathway. Ubiquitinated by RNF146 when poly-ADP-ribosylated, leading to its degradation and subsequent activation of the Wnt signaling pathway. Deubiquitinated by USP34, deubiquitinated downstream of beta-catenin stabilization step: deubiquitination is important Wnt signaling to positively regulate beta-catenin (CTNBB1)-mediated transcription. |
| 相似性 | Contains 1 DIX domain. Contains 1 RGS domain. |
| 功能 | Inhibitor of the Wnt signaling pathway. Down-regulates beta-catenin. Probably facilitate the phosphorylation of beta-catenin and APC by GSK3B (By similarity). |
| 保存条件 | Shipped at 4℃. Store at -20℃ for one year. Avoid repeated freeze/thaw cycles. |
| 注意事项 | This product as supplied is intended for research use only, not for use in human, therapeutic or diagnostic applications. |
| 背景资料 | Inhibitor of the Wnt signaling pathway. Down-regulates beta-catenin. Probably facilitate the phosphorylation of beta-catenin and APC by GSK3B.Involvement in disease:Defects in AXIN2 are involved in colorectal cancer (CRC). They appear to be specifically associated with defective mismatch repair.Defects in AXIN2 are the cause of oligodontia-colorectal cancer syndrome (ODCRCS). Affected individuals manifest severe tooth agenesis and colorectal cancer or precancerous lesions of variable types. |
| 应用 | 推荐稀释比例 |
| {WB} | {1:500-2000} |
| {IHC-P} | {1:100-500} |
| {IHC-F} | {1:100-500} |
| {IF} | {1:100-500} |

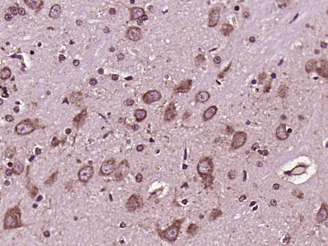
Paraformaldehyde-fixed, paraffin embedded (Rat brain); Antigen retrieval by boiling in sodium citrate buffer (pH6.0) for 15min; Block endogenous peroxidase by 3% hydrogen peroxide for 20 minutes; Blocking buffer (normal goat serum) at 37°C for 30min; Antibody incubation with (Axin 2) Polyclonal Antibody, Unconjugated (bs-5717R) at 1:400 overnight at 4°C, followed by a conjugated secondary antibody (sp-0023) for 20 minutes and DAB staining.

Paraformaldehyde-fixed, paraffin embedded (Mouse brain); Antigen retrieval by boiling in sodium citrate buffer (pH6.0) for 15min; Block endogenous peroxidase by 3% hydrogen peroxide for 20 minutes; Blocking buffer (normal goat serum) at 37°C for 30min; Antibody incubation with (Axin 2) Polyclonal Antibody, Unconjugated (bs-5717R) at 1:400 overnight at 4°C, followed by a conjugated secondary antibody (sp-0023) for 20 minutes and DAB staining.

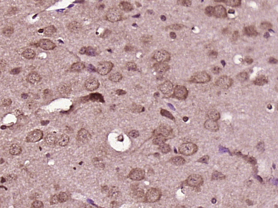
Tissue/cell: rat brain tissue; 4% Paraformaldehyde-fixed and paraffin-embedded;
Antigen retrieval: citrate buffer ( 0.01M, pH 6.0 ), Boiling bathing for 15min; Block endogenous peroxidase by 3% Hydrogen peroxide for 30min; Blocking buffer (normal goat serum,C-0005) at 37℃ for 20 min;
Incubation: Anti-Axin 2 Polyclonal Antibody, Unconjugated(bs-5717R) 1:200, overnight at 4°C, followed by conjugation to the secondary antibody(SP-0023) and DAB(C-0010) staining
Antigen retrieval: citrate buffer ( 0.01M, pH 6.0 ), Boiling bathing for 15min; Block endogenous peroxidase by 3% Hydrogen peroxide for 30min; Blocking buffer (normal goat serum,C-0005) at 37℃ for 20 min;
Incubation: Anti-Axin 2 Polyclonal Antibody, Unconjugated(bs-5717R) 1:200, overnight at 4°C, followed by conjugation to the secondary antibody(SP-0023) and DAB(C-0010) staining

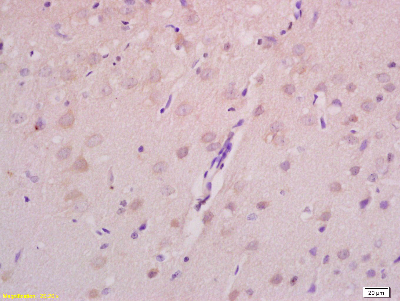
Tissue/cell: rat brain tissue; 4% Paraformaldehyde-fixed and paraffin-embedded;
Antigen retrieval: citrate buffer ( 0.01M, pH 6.0 ), Boiling bathing for 15min; Block endogenous peroxidase by 3% Hydrogen peroxide for 30min; Blocking buffer (normal goat serum,C-0005) at 37℃ for 20 min;
Incubation: Anti-Axin 2 Polyclonal Antibody, Unconjugated(bs-5717R) 1:200, overnight at 4°C, followed by conjugation to the secondary antibody(SP-0023) and DAB(C-0010) staining
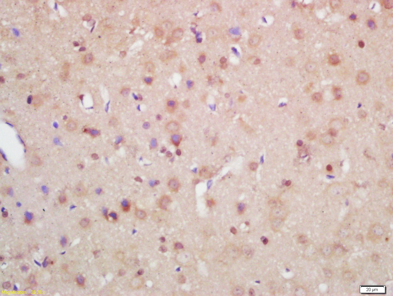
Antigen retrieval: citrate buffer ( 0.01M, pH 6.0 ), Boiling bathing for 15min; Block endogenous peroxidase by 3% Hydrogen peroxide for 30min; Blocking buffer (normal goat serum,C-0005) at 37℃ for 20 min;
Incubation: Anti-Axin 2 Polyclonal Antibody, Unconjugated(bs-5717R) 1:200, overnight at 4°C, followed by conjugation to the secondary antibody(SP-0023) and DAB(C-0010) staining

Sample:
Cerebrum (Mouse) Lysate at 40 ug
Primary: Anti-Axin 2 (bs-5717R) at 1/1000 dilution
Secondary: IRDye800CW Goat Anti-Rabbit IgG at 1/20000 dilution
Predicted band size: 93 kD
Observed band size: 93 kD
Cerebrum (Mouse) Lysate at 40 ug
Primary: Anti-Axin 2 (bs-5717R) at 1/1000 dilution
Secondary: IRDye800CW Goat Anti-Rabbit IgG at 1/20000 dilution
Predicted band size: 93 kD
Observed band size: 93 kD
风险提示:丁香通仅作为第三方平台,为商家信息发布提供平台空间。用户咨询产品时请注意保护个人信息及财产安全,合理判断,谨慎选购商品,商家和用户对交易行为负责。对于医疗器械类产品,请先查证核实企业经营资质和医疗器械产品注册证情况。
文献和实验该产品被引用文献
[IF={{ 3.337 }}] {Zhang X et al. TMED3 Promotes Proliferation and Migration in Breast Cancer Cells by Activating Wnt/β-Catenin Signaling. Onco Targets Ther . 2020 Jun 19;13:5819-5830.} {ICC} {Human}
技术资料暂无技术资料 索取技术资料
文献支持
Axin 2 Rabbit pAb(bs-5717R)-50ul/100ul/200ul
¥1180 - 2800









