相关产品推荐更多 >
万千商家帮你免费找货
0 人在求购买到急需产品
- 详细信息
- 文献和实验
- 技术资料
- 应用范围:
产品信息以Bioss网站为准
- 规格:
50ul/100ul/200ul
| 规格: | 50ul | 产品价格: | ¥1180.0 |
|---|---|---|---|
| 规格: | 100ul | 产品价格: | ¥1980.0 |
| 规格: | 200ul | 产品价格: | ¥2800.0 |
| 产品编号 | bs-0717R |
| 英文名称 | MAP126 Rabbit pAb |
| 中文名称 | 精子相关抗原5抗体 |
| 英文别名 | Astrin; Deepest; hMAP 126; hMAP126; MAP 126; Mitotic spindle associated protein; Mitotic spindle associated protein p126; Mitotic spindle coiled coil related protein; SPAG 5; SPAG5; Sperm associated antigen 5; Sperm tail protein Spag 5; Sperm tail protein Spag5; SPAG5_HUMAN. |
| 产品应用 | IHC-P=1:100-500, IHC-F=1:100-500, IF=1:100-500, Flow-Cyt=1ug/Test Not yet tested in other applications. |
| 交叉反应 | Human, Rat (Mouse, Dog, Pig, Cow, Horse) |
| 抗体来源 | Rabbit |
| 免疫原 | KLH conjugated synthetic peptide derived from human SPAG5 |
| 亚型 | IgG |
| 性状 | Liquid |
| 纯化方法 | affinity purified by Protein A |
| 克隆类型 | Polyclonal |
| 理论分子量 | 134 kDa |
| 浓度 | 1mg/ml |
| 储存液 | 0.01M TBS (pH7.4) with 1% BSA, 0.02% Proclin300 and 50% Glycerol. |
| 亚基 | Homodimer, with a globular head domain and a long stalk. Homooligomer; the globular head domains associate, resulting in aster-like structures. Binds to microtubules in the mitotic spindle. Interacts with DCLRE1B/Apollo. Part of an astrin (SPAG5)-kinastrin (SKAP) complex containing KNSTRN, SPAG5, PLK1, DYNLL1 and SGOL2. Interacts with KNSTRN. |
| 亚细胞定位 | Cytoplasm. Cytoplasm, cytoskeleton, spindle. Cytoplasm, cytoskeleton, spindle pole. Chromosome, centromere, kinetochore. Note=In a punctate pattern in interphase cells. During mitosis, detected at spindle poles during prophase, throughout the spindle in metaphase and anaphase, and at midzone microtubules in anaphase and telophase. Detected on kinetochores of chromosomes that have congressed. The astrin (SPAG5)-kinastrin (SKAP) complex localizes to the microtubule plus ends. |
| 组织特异性 | Highly expressed in testis. Detected at low levels in placenta, liver, pancreas, thymus and colon. |
| 功能 | Essential component of the mitotic spindle required for normal chromosome segregation and progression into anaphase. Required for chromosome alignment, normal timing of sister chromatid segregation, and maintenance of spindle pole architecture. The astrin (SPAG5)-kinastrin (SKAP) complex promotes stable microtubule-kinetochore attachments. |
| 保存条件 | Shipped at 4℃. Store at -20℃ for one year. Avoid repeated freeze/thaw cycles. |
| 注意事项 | This product as supplied is intended for research use only, not for use in human, therapeutic or diagnostic applications. |
| 背景资料 | A novel gene product, hMAP126, interacts with p29 in the yeast two-hybrid assay. The subcellular distribution of hMAP126 was localized to the mitotic spindle and is phosphorylated by p34(cdc2) kinase. Human MAP126 is likely involved in the functional and dynamic regulation of mitotic spindles. |
| 应用 | 推荐稀释比例 |
| {IHC-P} | {1:100-500} |
| {IHC-F} | {1:100-500} |
| {IF} | {1:100-500} |
| {Flow-Cyt} | {1ug/Test} |

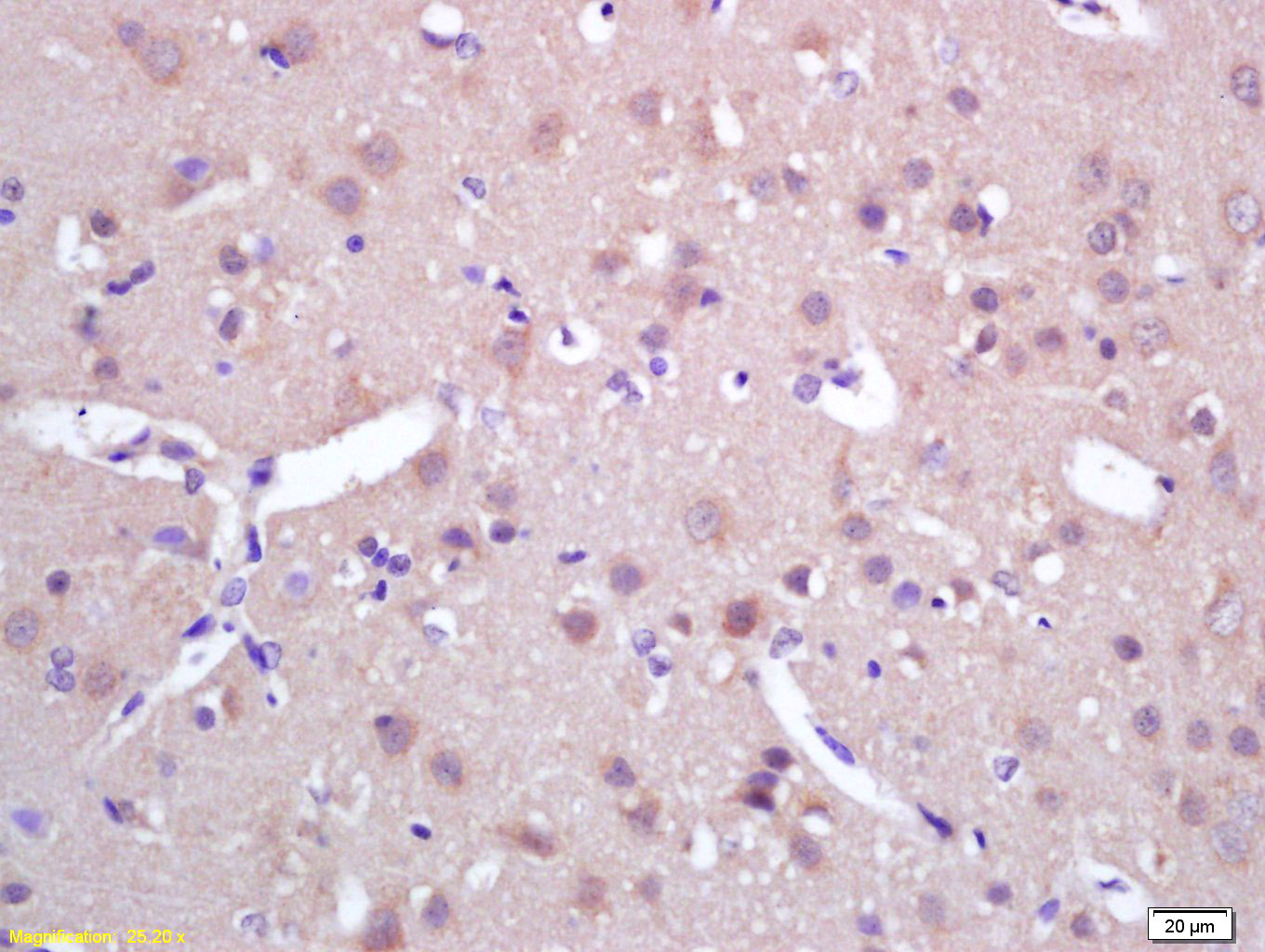
Antigen retrieval: citrate buffer ( 0.01M, pH 6.0 ), Boiling bathing for 15min; Block endogenous peroxidase by 3% Hydrogen peroxide for 30min; Blocking buffer (normal goat serum,C-0005) at 37℃ for 20 min;
Incubation: Anti-SPAG5/MAP126/Astrin Polyclonal Antibody, Unconjugated(bs-0717R) 1:200, overnight at 4°C, followed by conjugation to the secondary antibody(SP-0023) and DAB(C-0010) staining

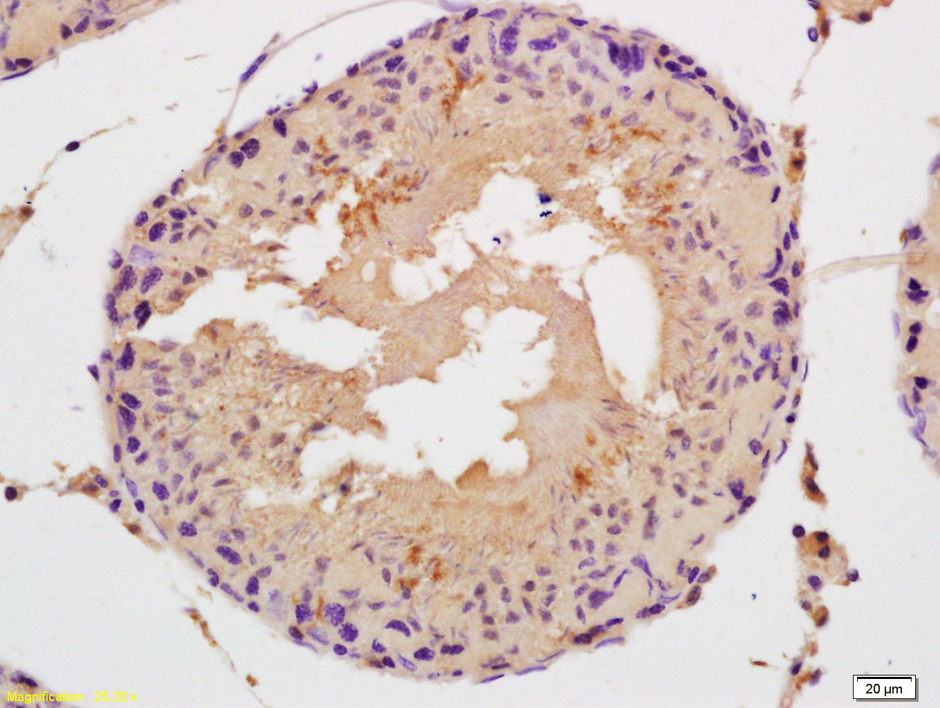
Antigen retrieval: citrate buffer ( 0.01M, pH 6.0 ), Boiling bathing for 15min; Block endogenous peroxidase by 3% Hydrogen peroxide for 30min; Blocking buffer (normal goat serum,C-0005) at 37℃ for 20 min;
Incubation: Anti-SPAG5/MAP126/Astrin Polyclonal Antibody, Unconjugated(bs-0717R) 1:200, overnight at 4°C, followed by conjugation to the secondary antibody(SP-0023) and DAB(C-0010) staining

Primary Antibody (green line): Rabbit Anti-MAP126 antibody (bs-0717R)
Dilution:1ug/Test;
Secondary Antibody(white blue line): Goat anti-rabbit IgG-FITC
Dilution: 0.5ug/Test.
Isotype control(orange line): Normal Rabbit IgG
Protocol
The cells were fixed with 4% PFA (10min at room temperature)and then permeabilized with 90% ice-cold methanol for 20 min at -20℃, The cells were then incubated in 5%BSA to block non-specific protein-protein interactions for 30 min at room temperature .Cells stained with Primary Antibody for 30 min at room temperature. The secondary antibody used for 40 min at room temperature. Acquisition of 20,000 events was performed.
风险提示:丁香通仅作为第三方平台,为商家信息发布提供平台空间。用户咨询产品时请注意保护个人信息及财产安全,合理判断,谨慎选购商品,商家和用户对交易行为负责。对于医疗器械类产品,请先查证核实企业经营资质和医疗器械产品注册证情况。
文献和实验= NAL), appears to form upon oxidative cyclization of the nonfluorescent 2:1 lysine-HNE Michael adduct-Schiff base cross-link (Scheme 1). Polyclonal antibody (PAb) to the NAL-HNE fluorophore was raised in rabbit and found to be highly specific
GE Healthcare Benzamidine Sepharose™ 6B is p-aminobenzamidine covalently attached to Sepharose 6B by the epoxy coupling method. p-Aminobenzamidine (PAB), is a synthetic inhibitor of trypsin-like serine protease. Trypsin and trypsin
Nucleic Acid Programmable Protein Arrays: Versatile Tools for Array‐Based Functional Protein Studies
.g., Sigma) 50 mg/ml bis‐sulfosuccinimdylsuberate (BS3 ;Pierce, cat. no. PI 21580) in dimethylsulfoxide (DMSO) 5 mg/ml
技术资料暂无技术资料 索取技术资料










