相关产品推荐更多 >

ETV2 Rabbit pAb, Cy7 conjugated(bs-12341R-Cy7)-100ul
¥2980
RO60 Rabbit pAb(bs-7116R)-50ul/100ul/200ul
¥1180
SETD3 Rabbit pAb, AP conjugated(bs-19668R-AP)-100ul
¥2980
SP3 Rabbit pAb(bs-7342R)-50ul/100ul/200ul
¥1180
Anti-human Amyloid Beta (Amgen patent Anti-beta amyloid Biosimilar)(BIO0419SM)-1mg/5mg/20mg
¥3200
万千商家帮你免费找货
0 人在求购买到急需产品
- 详细信息
- 文献和实验
- 技术资料
- 应用范围:
产品信息以Bioss网站为准
- 规格:
50ul/100ul/200ul
| 规格: | 50ul | 产品价格: | ¥1180.0 |
|---|---|---|---|
| 规格: | 100ul | 产品价格: | ¥1980.0 |
| 规格: | 200ul | 产品价格: | ¥2800.0 |
| 产品编号 | bs-1336R |
| 英文名称 | BCL2L1 Rabbit pAb |
| 中文名称 | Bcl-xL蛋白抗体 |
| 英文别名 | Apoptosis regulator Bcl X; Apoptosis regulator Bcl-X; Apoptosis regulator BclX; B cell lymphoma 2 like; B2CL1_HUMAN; Bcl 2 like 1 protein; Bcl X; Bcl xL; BCL XL/S; Bcl xS; Bcl-2-like protein 1; Bcl2 Like 1; Bcl2 related gene; Bcl2-L-1; Bcl-xL; Bcl2l1; BCLX; BclXL; BclXs; DKFZp781P2092; PPP1R52; Protein phosphatase 1 regulatory subunit 52; |
| 产品应用 | IHC-P=1:100-500, IHC-F=1:100-500, ICC/IF=1:50-200, IF=1:100-500, Flow-Cyt=1ug/Test Not yet tested in other applications. |
| 交叉反应 | Human, Mouse (Rat, Dog, Pig, Horse, Sheep) |
| 抗体来源 | Rabbit |
| 免疫原 | KLH conjugated synthetic peptide derived from human Bcl-xL |
| 亚型 | IgG |
| 性状 | Liquid |
| 纯化方法 | affinity purified by Protein A |
| 克隆类型 | Polyclonal |
| 理论分子量 | 26 kDa |
| 浓度 | 1mg/ml |
| 储存液 | 0.01M TBS (pH7.4) with 1% BSA, 0.02% Proclin300 and 50% Glycerol. |
| 研究领域 | Cancer > Cancer Metabolism > Response to hypoxia Cancer > Cell Death > Apoptosis > Apoptosis Markers > Bcl 2 family Cancer > Cell Death > Apoptosis > Metabolism Cancer > Invasion/microenvironment > Apoptosis > Bcl 2 family Cancer > Oncoproteins/suppressors > Oncoproteins > Cell survival & death Cancer > Tumor biomarkers > Oncoproteins Cell Biology > Apoptosis > Intracellular > Bcl2 Family Metabolism > Pathways and Processes > Metabolism processes > Apoptosis Metabolism > Pathways and Processes > Metabolism processes > Hypoxia Metabolism > Pathways and Processes > Mitochondrial Metabolism > Mitochondrial markers Metabolism > Types of disease > Cancer Signal Transduction > Metabolism > Mitochondrial |
| 亚基 | Homodimer. Isoform Bcl-X(L) forms heterodimers with BAX, BAK or BCL2. Heterodimerization with BAX does not seem to be required for anti-apoptotic activity. Interacts with BCL2L11. Interacts with DMN1L; the interaction stimulates the GTPase activity of DMN1L in synapses and increases the number of axonal mitochondria and the size and number of synaptic vesicle clusters. Interacts with BAD and BBC3. Interacts (isoform Bcl-X(L)) with SIVA1 (isoform 1); the interaction inhibits the anti-apoptotic activity. Interacts with BECN1 and PGAM5. Interacts (isoform Bcl-X(L)) with BAX (isoform Sigma). Isoform Bcl-X(L) interacts with IKZF3. Interacts with HEBP2. |
| 亚细胞定位 | Mitochondrion membrane; Single-pass membrane protein. Nucleus membrane; Single-pass membrane protein; Cytoplasmic side. Cytoplasm, cytoskeleton, centrosome. Note=Mitochondrial membranes and perinuclear envelope. Localizes to the centrosome when phosphorylated at Ser-49. |
| 组织特异性 | Bcl-X(S) is expressed at high levels in cells that undergo a high rate of turnover, such as developing lymphocytes. In contrast, Bcl-X(L) is found in tissues containing long-lived postmitotic cells, such as adult brain. |
| 翻译后修饰 | Proteolytically cleaved by caspases during apoptosis. The cleaved protein, lacking the BH4 motif, has pro-apoptotic activity.
Phosphorylated on Ser-62 by CDK1. This phosphorylation is partial in normal mitotic cells, but complete in G2-arrested cells upon DNA-damage, thus promoting subsequent apoptosis probably by triggering caspases-mediated proteolysis. Phosphorylated by PLK3, leading to regulate the G2 checkpoint and progression to cytokinesis during mitosis. Phosphorylation at Ser-49 appears during the S phase and G2, disappears rapidly in early mitosis during prometaphase, metaphase and early anaphase, and re-appears during telophase and cytokinesis. |
| 相似性 | Belongs to the Bcl-2 family. |
| 功能 | Potent inhibitor of cell death. Inhibits activation of caspases (By similarity). Appears to regulate cell death by blocking the voltage-dependent anion channnel (VDAC) by binding to it and preventing the release of the caspase activator, CYC1, from the mitochondrial membrane.
Isoform Bcl-X(S) promotes apoptosis. |
| 保存条件 | Shipped at 4℃. Store at -20℃ for one year. Avoid repeated freeze/thaw cycles. |
| 注意事项 | This product as supplied is intended for research use only, not for use in human, therapeutic or diagnostic applications. |
| 背景资料 | bs-1336P is one synthetic peptide derived from human Bcl-xL. The protein encoded by this gene belongs to the BCL-2 protein family. BCL-2 family members form hetero- or homodimers and act as anti- or pro-apoptotic regulators that are involved in a wide variety of cellular activities. The proteins encoded by this gene are located at the outer mitochondrial membrane, and have been shown to regulate outer mitochondrial membrane channel (VDAC) opening. VDAC regulates mitochondrial membrane potential, and thus controls the production of reactive oxygen species and release of cytochrome C by mitochondria, both of which are the potent inducers of cell apoptosis. Two alternatively spliced transcript variants, which encode distinct isoforms, have been reported. The longer isoform acts as an apoptotic inhibitor and the shorter form acts as an apoptotic activator. [provided by RefSeq, Jul 2008]. |
| 应用 | 推荐稀释比例 |
| {IHC-P} | {1:100-500} |
| {IHC-F} | {1:100-500} |
| {ICC/IF} | {1:50-200} |
| {IF} | {1:100-500} |
| {Flow-Cyt} | {1ug/Test} |




Primary Antibody (green line): Rabbit Anti-Bcl-xL antibody (bs-1336R)
Dilution: 1ug/Test;
Secondary Antibody : Goat anti-rabbit IgG-FITC
Dilution: 0.5ug/Test.
Protocol
The cells were fixed with 4% PFA (10min at room temperature)and then permeabilized with 0.1% PBST for 20 min at room temperature.The cells were then incubated in 5%BSA to block non-specific protein-protein interactions for 30 min at room temperature .Cells stained with Primary Antibody for 30 min at room temperature. The secondary antibody used for 40 min at room temperature. Acquisition of 20,000 events was performed.


Primary Antibody (green line): Rabbit Anti-Bcl-xL antibody (bs-1336R)
Dilution: 1μg /10^6 cells;
Isotype Control Antibody (orange line): Rabbit IgG .
Secondary Antibody : Goat anti-rabbit IgG-AF647
Dilution: 1μg /test.
Protocol
The cells were fixed with 4% PFA (10min at room temperature)and then permeabilized with 90% ice-cold methanol for 20 min at-20℃. The cells were then incubated in 5%BSA to block non-specific protein-protein interactions for 30 min at at room temperature .Cells stained with Primary Antibody for 30 min at room temperature. The secondary antibody used for 40 min at room temperature. Acquisition of 20,000 events was performed.
风险提示:丁香通仅作为第三方平台,为商家信息发布提供平台空间。用户咨询产品时请注意保护个人信息及财产安全,合理判断,谨慎选购商品,商家和用户对交易行为负责。对于医疗器械类产品,请先查证核实企业经营资质和医疗器械产品注册证情况。
文献和实验[IF={{ 6.354 }}] {Hao, Yanan. et al. Gut microbiota-testis axis: FMT improves systemic and testicular micro-environment to increase semen quality in type 1 diabetes. MOL MED. 2022 Dec;28(1):1-17} {IF} {Mouse}
[IF={{ 5.23 }}] {Zhao, Yong, et al. "Hydrogen Sulfide and/or Ammonia Reduces Spermatozoa Motility through AMPK/AKT Related Pathways." Scientific Reports 6 (2016): 37884.} {WB} {="Pig"}
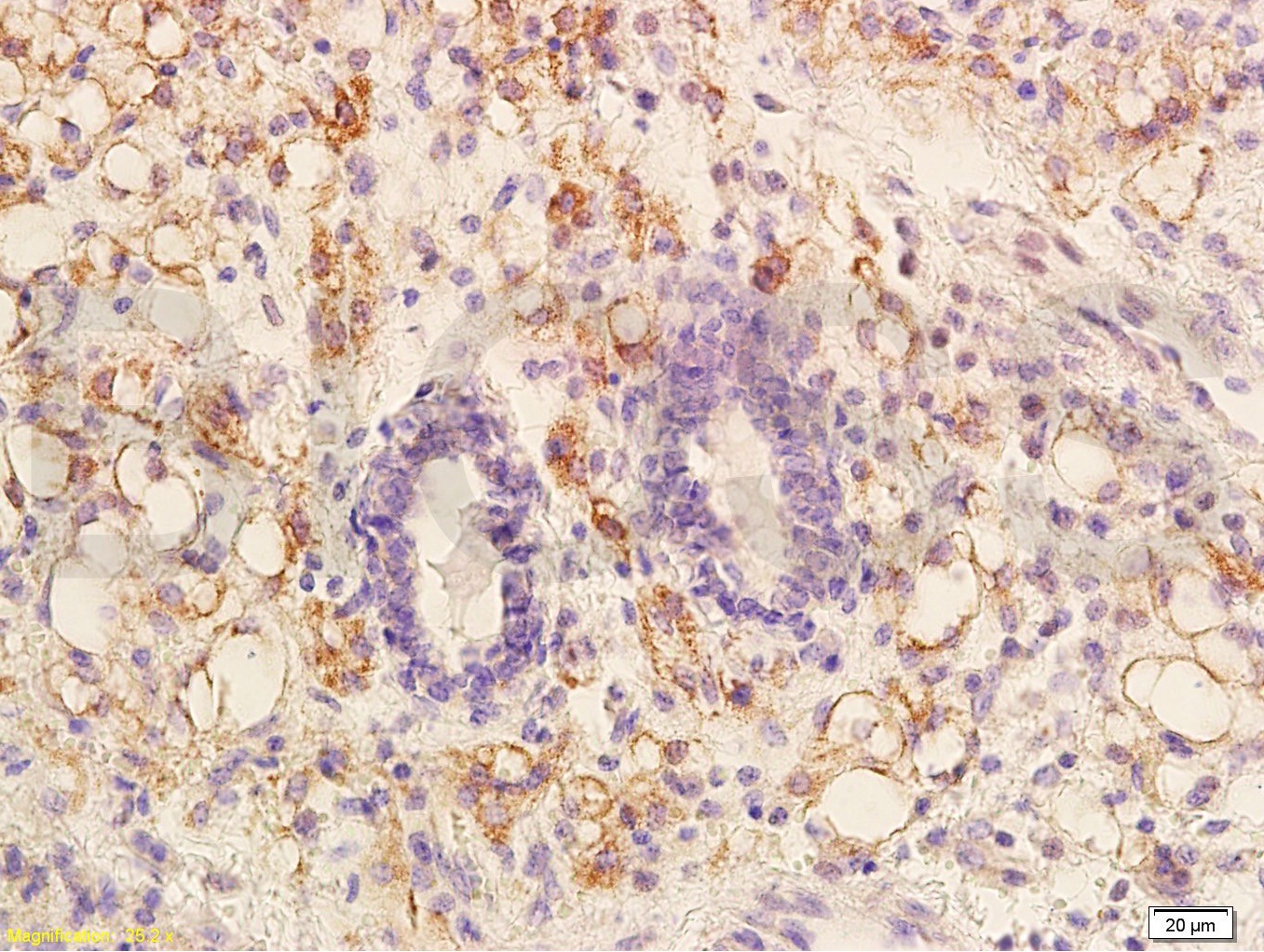
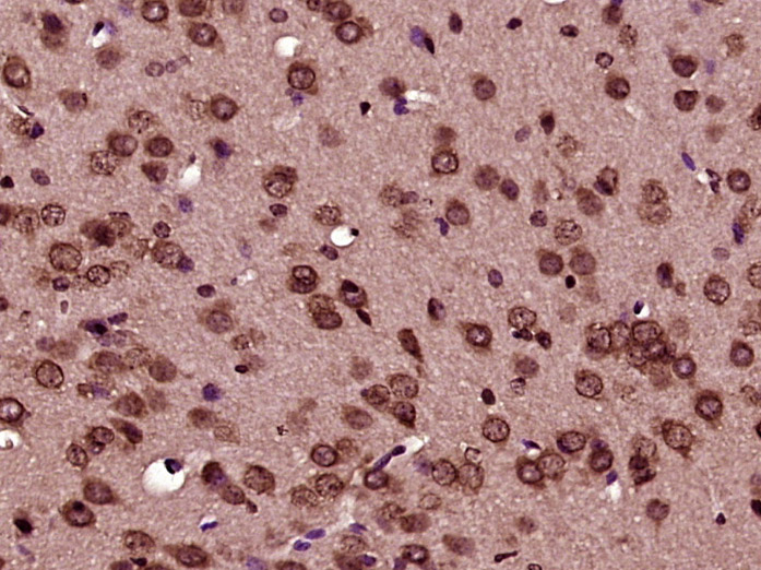
[IF={{ 4.2 }}] {Zhang, Weidong, et al. "Decrease in male mouse fertility by hydrogen sulfide and/or ammonia can Be inheritable." Chemosphere (2017).} {IHC} {="Mouse"}
[IF={{ 3.932 }}] {Jing Chen. et al. Apatinib enhances the anti-tumor effect of paclitaxel via the PI3K/p65/Bcl-xl pathway in triple-negative breast cancer. Ann Transl Med. 2021 Jun; 9(12): 1001} {WB} {Human}
[IF={{ 3.85 }}] {Wang, Yandi, et al. "Regulation of steroid hormones and energy status with cysteamine and its effect on spermatogenesis." Toxicology and Applied Pharmacology (2016).} {IHC} {="Sheep"}
= NAL), appears to form upon oxidative cyclization of the nonfluorescent 2:1 lysine-HNE Michael adduct-Schiff base cross-link (Scheme 1). Polyclonal antibody (PAb) to the NAL-HNE fluorophore was raised in rabbit and found to be highly specific
GE Healthcare Benzamidine Sepharose™ 6B is p-aminobenzamidine covalently attached to Sepharose 6B by the epoxy coupling method. p-Aminobenzamidine (PAB), is a synthetic inhibitor of trypsin-like serine protease. Trypsin and trypsin
Nucleic Acid Programmable Protein Arrays: Versatile Tools for Array‐Based Functional Protein Studies
.g., Sigma) 50 mg/ml bis‐sulfosuccinimdylsuberate (BS3 ;Pierce, cat. no. PI 21580) in dimethylsulfoxide (DMSO) 5 mg/ml
技术资料暂无技术资料 索取技术资料






