万千商家帮你免费找货
0 人在求购买到急需产品
- 详细信息
- 询价记录
- 文献和实验
- 技术资料
- 服务名称:
番红O固绿染色实验服务
- 提供商:
晶莱生物
- 规格:
样本
番红O固绿染色服务介绍
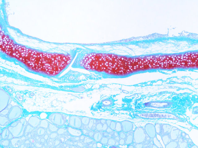
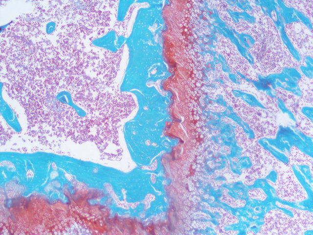
番红O固绿染色(软骨)在涉及关节软骨及软骨下骨的形态学研究中,常需要联合使用多种染料以显示其组织学结构。其中,起源于上世纪60年代的番红O(safranin O)-固绿(fast green)染色因可以直观反映关节软骨、软骨下骨和骨组织的结构而备受青睐。软骨呈红色,成骨呈绿色。
番红O固绿染色实验意义
番红O固绿染色染色是针对软骨及植物进行染色的方法,此方法简易,节约时间、用具器皿及药品,染色清晰。
实验步骤:
1.软骨染色步骤:
①骨组织固定、脱钙,制成石蜡切片。
②切片常规脱蜡至水。
③入新鲜配制的weigert染液染色。
④流水冲洗。
⑤酸性乙醇分化液分化。
⑥蒸馏水洗。
⑦在固绿染色液内浸染。
⑧蒸馏水洗。
⑨入番红O染液内浸染。
⑩蒸馏水洗。
⑪用乙酸溶液洗涤切片,以便去除残留的固绿,再用蒸馏水洗。
⑫分别用95%乙醇、无水乙醇脱水。
⑬二甲苯透明,中性树脂封固。
⑭镜检。
2.植物染色步骤:
①标本的处理:固定,切成石蜡切片。
②粘片。
③脱蜡:二甲苯→50%二甲苯+50%乙醇→100%乙醇→95%乙醇→85%乙醇→70%乙醇→50%乙醇→30%乙醇→水。
④入番红O染色液染色。
⑤酸性乙醇分化液分化15s。
⑥脱色:35%乙醇→50%乙醇→70%乙醇→80%乙醇。
⑦水洗1min。
⑧入固绿染色液内浸染,蒸馏水洗1min。
⑨无水乙醇脱水3-5min,无水乙醇脱水,50%二甲苯+50%乙醇透明5min,二甲苯5min。
⑩树脂封固。
染色结果:
(1)软骨染色结果:
软骨基质深红色;软骨细胞核蓝色;细胞浆、肌肉、胶原纤维及骨组织呈灰绿色。
(2)植物染色结果:
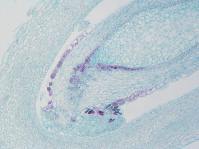
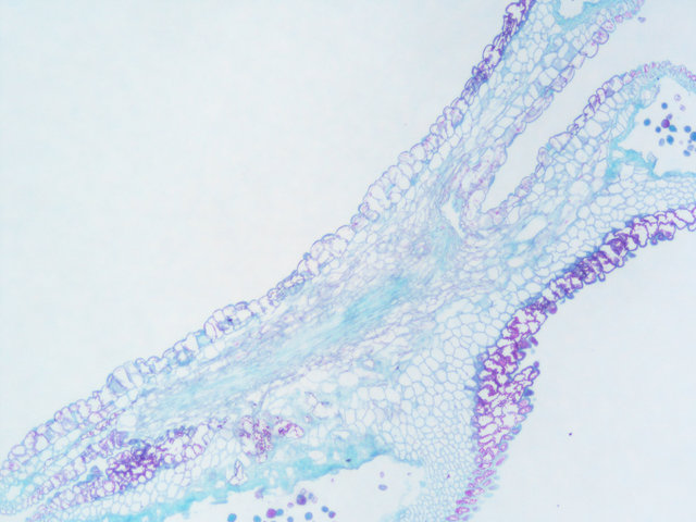
木质化、木栓化的细胞壁染成红色;纤维素细胞壁染成绿色;导管染成红色,筛管染成绿色。
实验技巧:
(1)软骨染色:
固绿与胶原纤维结合,不宜褪色,番红o-固绿染色的分化很关键,分化过度容易导致切片不着色,分化不足易导致切片着色过深。
(2)植物染色:
番红染色后,在50%乙醇中脱色需经实践,如果脱色不够绿色会不好染;脱色过度会导致红色过淡,甚至全部绿色。
番红O固绿染色样片参考:






晶莱生物病理类实验服务总览表
| 类别 | 服务项目 | 备注 | 说明 |
| 制 片 前 处 理 |
石蜡包埋 | 包埋1块 | 固定后组织按客户要求取材,脱水,包埋成蜡块(进口石蜡) |
| 特殊包埋(细胞、材料、眼球等) | 包埋1块 | 包埋要求难度较高(含特殊位置取材) | |
| 石蜡组织芯片 | 阵列点位包埋 | 客户提供供体蜡块及标本信息 | |
| 软化(肝硬化、皮肤结痂、植物等) | 1块标本软化 | 较为坚硬组织软化处理 | |
| 骨组织脱钙(小) | 1块标本脱钙 | 最大面≤2cm²骨组织脱钙 | |
| 骨组织脱钙(大) | 1块标本脱钙 | 最大面>2cm²骨组织脱钙 | |
| 骨组织EDTA脱钙(小) | 1块标本脱钙 | 最大面≤2cm²骨组织EDTA脱钙 | |
| 骨组织EDTA脱钙(大) | 1块标本脱钙 | 最大面>2cm²骨组织EDTA脱钙 | |
| 石蜡白片 | 石蜡白片1片 | 组织防脱载玻片石蜡白片 | |
| 冰冻组织制备 | 冰冻包埋及前处理 | 4%多.聚.甲.醛固定的组织或OCT包裹的新鲜组织(-80℃或液氮内保存,干冰运输) | |
| 冰冻切片 | 冰冻组织切片1片 | 同一组织连续切片3张以上免制备费 | |
| 染 色 |
HE染色 | 染色含切片 | 苏木.精-伊红染色法,观察组织形态 |
| 油红O染色 | 染色含冰冻切片 | 4%多.聚.甲.醛固定,冰冻切片。对组织内脂质(如脂滴)染色 | |
| 番红O固绿染色 | 染色含切片 | 常用于植物、软骨组织形态染色 | |
| Masson染色 | 染色含切片 | 观察组织纤维化和肌纤维的鉴别及组织纤维化程度 | |
| 天狼猩红染色 | 染色含切片 | 观察组织纤维化程度,及偏振光进行胶原亚型的分区 | |
| PAS糖原染色 | 染色含切片 | 观察肝脏、肌肉等组织内糖原的变化;肠胃肺支气管等杯状细胞酸性粘液物质变化 | |
| 阿利新蓝染色 | 染色含切片 | 常用于软骨组织或早幼粒细胞、巨核细胞染色 | |
| 甲苯.胺蓝染色 | 染色含切片 | 观察软骨组织形态或组织内肥大细胞的数量及分布 | |
| 尼氏染色 | 染色含切片 | 观察脑或脊髓等中枢神经系统内神经元尼氏体的变化 | |
| LFB髓鞘染色 | 染色含切片 | 观察神经髓鞘的形态及变化 | |
| 普鲁士蓝染色 | 染色含切片 | 常用于吞噬细胞内铁粒子的含量和定位 | |
| VG染色 | 染色含切片 | 显示组织胶原纤维及肌纤维的形态及变化 | |
| EVG染色 | 染色含切片 | 观察血管弹性纤维的形态及变化 | |
| VonKossa染色 | 染色含切片 | 观察组织内病理性钙沉积情况 | |
| 刚果红染色 | 染色含切片 | 一般用于组织淀粉样变染色 | |
| 维多利亚蓝染色 | 染色含切片 | 用于弹力纤维染色 | |
| 免疫 组化 |
免疫组化预式 | 染色含切片 | 试两个一抗浓度后拍照 |
| 免疫组化正式 | 染色含切片 | 客户提供一抗,常用二抗公司提供 | |
| 免疫组化芯片 | 染色含切片 | 免疫组化组织芯片染色 | |
| 免疫荧光(石蜡-单标) | 染色含切片和拍照 | 需实验前商定拍照倍数及视野 | |
| 免疫荧光(石蜡-双标) | 染色含切片和拍照 | 需实验前商定拍照倍数及视野 | |
| 免疫荧光(冰冻-单标) | 染色含冰冻切片和拍照 | 需实验前商定拍照倍数及视野 | |
| 免疫荧光(冰冻-双标) | 染色含冰冻切片和拍照 | 需实验前商定拍照倍数及视野 | |
| 抗体代购 | 详情请咨询工作人员 | ||
| Tunel | Tunel(POD自带试剂盒) | 染色含切片 | 细胞凋亡染色,客户需提供Tunel试剂盒 |
| Tunel(公司提供试剂盒) | 细胞凋亡染色,公司提供罗氏POD Tunel试剂盒 | ||
| 凋亡试剂盒代购 | 染色含切片 | 详情请咨询工作人员 |
晶莱病理实验室:长沙实验室;北京实验室;提前预约免费上门取样!
更多病理学实验服务内容详情请咨询晶莱生物!
晶莱生物服务流程
收费标准/服务周期/提供结果:
欢迎咨询详谈,我们会根据您的方案及需求制定详细的服务协议。
更多实验技术服务请浏览网站其他内容,或来电咨询!
做实验,找晶莱!您的科研生涯,我们一路相伴!
【平台项目开展范围】慢病毒,腺病毒,RNAi类,分子生物实验,病理实验,免疫学实验,细胞实验,动物实验,蛋白组学实验,芯片类实验,并为广大客户朋友们提供课题设计指导、基金申请指导等服务。
【北京公司】北京经济技术开发区科创十三街12号院德为科技园1号楼5层
【长沙公司】长沙市高新区麓谷大道627号新长海中心A1-1203室
【晶莱生物】已开展了数千个实验外包项目。我们专注于医学课题研究,已从课题申请、方案设计、试剂采购、模型构造、标本检测、数据分析,各个环节积累了数千个成功案例经验,为数千个来自临床的科研工作者解决了大量的科研问题。更多相关实验服务信息请咨询晶莱生物
风险提示:丁香通仅作为第三方平台,为商家信息发布提供平台空间。用户咨询产品时请注意保护个人信息及财产安全,合理判断,谨慎选购商品,商家和用户对交易行为负责。对于医疗器械类产品,请先查证核实企业经营资质和医疗器械产品注册证情况。
- 作者
- 内容
- 询问日期
文献和实验背景:真核生物的基因组DNA以染色质的形式存在,研究蛋白质与DNA在染色质环境下的相互作用是阐明真核生物基因表达机制的基本途径。与传统的EMSA技术相比,染色质免疫沉淀技术(CHIP)能真实完整地反映结合在DNA序列上的调控蛋白,是目前研究体内DNA与蛋白质相互作用的最佳方法。原理:是在活细胞状态下以甲醛固定蛋白质-DNA复合物,超声将其随机切断为一定长度范围内的染色质小片段,然后加入目的蛋白抗体,通过抗体沉淀靶蛋白-DNA复合物,通过洗脱的方法得到富集的靶蛋白-DNA复合物,特异性地富集目的
成正比。 目前 ELISA 法应用 1、免疫酶染色各种细胞内成份的定位。 2、研究抗酶抗体的合成。 3、显现微量的免疫沉淀反应。 4、定量检测体液中抗原或抗体成份。 小优 ELISA 实验检测服务 优宁维公司提供空白板,buffer 缓冲液等 客户只需提供样本 小优结果形式:统计结果,实验流程,全程提供疑问解答 优宁维是专业的抗体公司,我们的实验服务团队是由博士后领衔的团队。我们实验室拥有先进的实验仪器平台,服务的价格是实惠亲民
质分子所带的净电荷多少不同。如在生理条件下,整个蛋白质所带负电荷多,则为酸性蛋白质;带正电荷多,则为碱性蛋白质。据此,可将标本经三氯醋酸处理提出核酸后,用不同pH值的固绿染液分别染色,细胞内的酸性蛋白和碱性蛋白质显示出来。 (二)方法 1.以破坏脊髓法处死蟾蜍,将其腹面向上放人蜡盘中,剪开胸腔,打开心包。小心将心脏剪一小口,取心脏血一滴滴在干净载玻片一端,推片,按此法制备二张血涂片,室温晾干。 2. 将涂片作好标记放在70%乙醇中固定5分钟,室温
技术资料暂无技术资料 索取技术资料










