相关产品推荐更多 >
万千商家帮你免费找货
0 人在求购买到急需产品
- 详细信息
- 文献和实验
- 技术资料
- 免疫原:
Recombinant full-length human CDKN1A protein
- 亚型:
IgG
- 形态:
Liquid
- 保存条件:
Store as concentrated solution. Centrifuge briefly prior to opening vial. Store at 4ºC.
- 克隆性:
Monoclonal
- 标记物:
Unconjugated
- 适应物种:
Human
- 保质期:
12 months from the shipping date of the product.
- 抗原来源:
Human
- 目录编号:
GTX02619
- 级别:
Primary Antibodies
- 库存:
Available
- 供应商:
GeneTex
- 宿主:
Rabbit
- 应用范围:
WB, IHC-P
- 浓度:
200 μg/ml (Please refer to the vial label for the specific concentration.)
- 靶点:
This antibody is highly specific to p21 and shows no cross-reaction with other closely related mitotic inhibitors.,We do not recommend use of this product for Mouse,Rat.
- 抗体英文名:
p21 Cip1 antibody [CIP1/2275R]
- 抗体名:
p21 Cip1 抗体 [CIP1/2275R]
- 规格:
100 μg
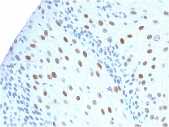
IHC-P analysis of human urothelial carcinoma section using GTX02619 p21 Cip1 antibody [CIP1/2275R].
WB analysis of HeLa whole cell lysate using GTX02619 p21 Cip1 antibody [CIP1/2275R].
风险提示:丁香通仅作为第三方平台,为商家信息发布提供平台空间。用户咨询产品时请注意保护个人信息及财产安全,合理判断,谨慎选购商品,商家和用户对交易行为负责。对于医疗器械类产品,请先查证核实企业经营资质和医疗器械产品注册证情况。
文献和实验Analysis of p21CDKN1A Recruitment to DNA Excision Repair Foci in the UV-Induced DNA Damage Response
The cyclin-dependent kinase (CDK) inhibitor p21CDKN1A (also known as p21waf1/cip1 ) is a well known player of the G1 and G2 phase cell cycle checkpoints, which are activated in response to DNA damage. In addition, p21 interacts directly
-induced responses, including a down-regulation of the cyclin-dependent kinase (Cdk2) inhibitors p21CIP1 and p27KIP1 , while attachment to P-L-L did not. We conclude that engagement of the FN-receptor integrin α5β1 induces integrin signaling regulating
Microarray Approaches for Analysis of Cell Cycle Regulatory Genes
pRB SBF (Swi4, Swi6) E2F-1, E2F-2 MBF (Mbp1, Swi6)
技术资料暂无技术资料 索取技术资料





![VEGFA antibody [4G3]](https://img1.dxycdn.com/2022/0328/867/7176708909387500453-14.jpg!wh200)


![IL34 antibody [1D12]](https://img1.dxycdn.com/2022/0328/208/9253937687627500453-14.jpg!wh200)
![Integrin beta 1 / CD29 antibody [3B6]](https://img1.dxycdn.com/2022/0328/929/6105975979813500453-14.jpg!wh200)
