相关产品推荐更多 >
万千商家帮你免费找货
0 人在求购买到急需产品
- 详细信息
- 文献和实验
- 技术资料
- 免疫原:
Recombinant fusion protein containing a sequence corresponding to amino acids 325-484 of human SUFU (NP_057253.2).
- 亚型:
IgG
- 形态:
Liquid
- 保存条件:
Store as concentrated solution. Centrifuge briefly prior to opening vial. For short-term storage (1-2 weeks), store at 4ºC. For long-term storage, aliquot and store at -20ºC or below. Avoid multiple freeze-thaw cycles.
- 克隆性:
Polyclonal
- 标记物:
Unconjugated
- 适应物种:
Human, Mouse, Rat
- 保质期:
12 months from the shipping date of the product.
- 抗原来源:
Human
- 目录编号:
GTX33530
- 级别:
Primary Antibodies
- 库存:
Available
- 供应商:
GeneTex
- 宿主:
Rabbit
- 应用范围:
WB, ICC/IF, IHC-P
- 浓度:
Batch dependent (Please refer to the vial label for the specific concentration.)
- 靶点:
Suppressor of Fused
- 抗体英文名:
Suppressor of Fused antibody
- 抗体名:
Suppressor of Fused 抗体
- 规格:
100 μl
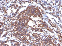
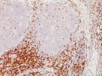
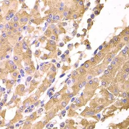
IHC-P analysis of human stomach tissue using GTX33530 Suppressor of Fused antibody.
Dilution : 1:100
WB analysis of various sample lysates using GTX33530 Suppressor of Fused antibody.
Dilution : 1:1000
Loading : 25μg per lane
ICC/IF analysis of MCF7 cells using GTX33530 Suppressor of Fused antibody.
Blue : DAPI
风险提示:丁香通仅作为第三方平台,为商家信息发布提供平台空间。用户咨询产品时请注意保护个人信息及财产安全,合理判断,谨慎选购商品,商家和用户对交易行为负责。对于医疗器械类产品,请先查证核实企业经营资质和医疗器械产品注册证情况。
文献和实验GEX fusion proteins or antisera Combine 15ul lysate with 5ul fused protein (2mg/ml) or 5ul antisera in 0.5ml PLC basic lysis buffer (see Appendix) Incubate ice 1 hr Swell 2mg Glutathione agarose beads (Sigma G-4510) or 2.5mg
Identification of DNA-Binding of Tumor Suppressor Genes by Chromatin Immunoprecipitation
fragment with the protein upon antibody binding. Here we describe a protocol for the immunoprecipitation of transcription factors bound to promoter sequences in cells, and use the p53 tumor suppressor as an example (Fig. 1 ). Fig. 1.
Purification and Characterization of His-Tagged Antibody Fragments
, typically His6 , fused to the recombinant protein. In the case of antibody fragments that are composed of different chains, e.g., Fv and Fab, the site of attachment for the His6 tag has to be carefully chosen, and mild chromatographic conditions
技术资料暂无技术资料 索取技术资料











