相关产品推荐更多 >
万千商家帮你免费找货
0 人在求购买到急需产品
- 详细信息
- 文献和实验
- 技术资料
- 免疫原:
Purified recombinant fragment of human CRTC3 expressed in E. Coli.
- 亚型:
IgG1
- 形态:
Liquid
- 保存条件:
Store as concentrated solution. Centrifuge briefly prior to opening vial. For short-term storage (1-2 weeks), store at 4ºC. For long-term storage, aliquot and store at -20ºC or below. Avoid multiple freeze-thaw cycles.
- 克隆性:
Monoclonal
- 标记物:
Unconjugated
- 适应物种:
Human, Monkey
- 保质期:
12 months from the shipping date of the product.
- 抗原来源:
Human
- 目录编号:
GTX60400
- 级别:
Primary Antibodies
- 库存:
Available
- 供应商:
GeneTex
- 宿主:
Mouse
- 应用范围:
WB, ICC/IF, IHC-P, ELISA
- 靶点:
CRTC3
- 抗体英文名:
CRTC3 antibody [5G9]
- 抗体名:
CRTC3 抗体 [5G9]
- 规格:
100 μl
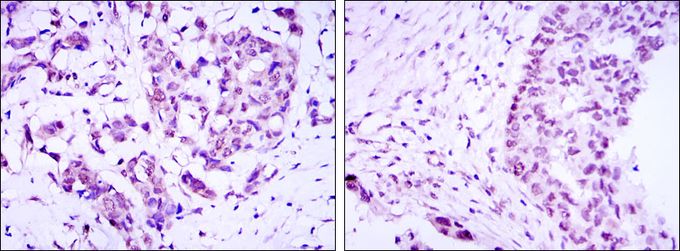
IHC-P analysis of breast cancer (left) and ovarian cancer (right) using GTX60400 CRTC3 antibody [5G9].
ICC/IF analysis of NTERA-2 cells using GTX60400 CRTC3 antibody [5G9].
Green : CRTC3
Red: Actin filaments
ELISA analysis of antigen using GTX60400 CRTC3 antibody [5G9].
Red : Control antigen 100ng
Purple : Antigen 10ng
Green : Antigen 50ng
Blue : Antigen 100ng
WB analysis of HeLa (1), Jurkat (2), Cos7 (3) and MCF-7 (4) cell lysate using GTX60400 CRTC3 antibody [5G9].
IHC-P analysis of lung cancer (left) and esophagus cancer (right) using GTX60400 CRTC3 antibody [5G9].
风险提示:丁香通仅作为第三方平台,为商家信息发布提供平台空间。用户咨询产品时请注意保护个人信息及财产安全,合理判断,谨慎选购商品,商家和用户对交易行为负责。对于医疗器械类产品,请先查证核实企业经营资质和医疗器械产品注册证情况。
文献和实验Notes on Making Rat x Y3 Monoclonal Antibody Producing Hybridomas
are very stable - even in long term large scale cultures (bioreactors). b) High levels of monoclonal antibody secretion in culture - often 100 micrograms per ml of ordinary tissue culture, without recloning, and up to 5 milligrams per ml in hollow fibre
【共享】Methods in molecular biology 下载
://mihd.net/9sd6uy Vol 45 Monoclonal Antibody Protocols http://rapidshare.com/files/10764903/045-monoclonal_antibody_protocols.pdf Vol 46 Diagnostic Bacteriology Protocols http://rapidshare.com/files/10765237/046-Diagnostic_Bacteriology_Protocols
挑选14个克隆进行筛选,结果发现14个克隆均能与靶抗原有反应,其中以4(E4F4)、5(E5F5)、6(G4)、7(G5)、11(G9)克隆颜色较深,挑取6号克隆,利用APAAP法进一步检测其结合活性。结果显示,克隆6的表达产物能和Daudi细胞特异结合。克隆6的测序结果和氨基酸序列分析表明该基因序列完全符合PDB库中抗体所具有的若干保守的框架氨基酸的特点,该序列是一抗体基因序列。2、抗CD20嵌合抗体Fab和F(ab)2的表达与纯化SDS-PAGE电泳结果表明Protein G可有效纯化Fab
技术资料暂无技术资料 索取技术资料





![Influenza A virus H3N2 HA (Hemagglutinin) antibody [AT1B7]](https://img1.dxycdn.com/2022/0328/593/9460102725900500453-14.jpg!wh200)
![ODC antibody [ODC1/485]](https://img1.dxycdn.com/2022/0328/601/0086891750970700453-14.jpg!wh200)

![TdT antibody [SEN28]](https://img1.dxycdn.com/2022/0328/585/9090992975587700453-14.jpg!wh200)


