相关产品推荐更多 >
万千商家帮你免费找货
0 人在求购买到急需产品
- 详细信息
- 文献和实验
- 技术资料
- 免疫原:
Fusion protein corresponding to a region derived from internal residues of human tumor necrosis factor
- 形态:
liquid
- 保存条件:
Store at -20˚C
- 克隆性:
Polyclonal
- 适应物种:
Human
- 保质期:
12 months
- 抗原来源:
Rabbit
- 供应商:
南京赛戈巍生物科技有限公司
- 宿主:
Rabbit
- 应用范围:
IHC
- 靶点:
Uniprot:P01375
- 抗体英文名:
TNF Antibody
- 规格:
50ul/100ul
配方:Rabbit IgG in pH7.3 PBS, 0.05% NaN3, 50% Glycerol.
应用详情:Immunohistochemistry: 1:25-1:100
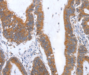
图片:

Immunohistochemical analysis of paraffin-embedded Human colon cancer tissue using #35963 at dilution 1/35.
,

Immunohistochemical analysis of paraffin-embedded Human esophagus cancer tissue using #35963 at dilution 1/35.
风险提示:丁香通仅作为第三方平台,为商家信息发布提供平台空间。用户咨询产品时请注意保护个人信息及财产安全,合理判断,谨慎选购商品,商家和用户对交易行为负责。对于医疗器械类产品,请先查证核实企业经营资质和医疗器械产品注册证情况。
文献和实验Tumor necrosis factor-α (TNF-α) is a cytokine (CK) that possesses a wide variety of biological activities, including potent antitumor activities (1 ) and immunomodulatory properties mediated through its binding to two TNF receptors (p55
Detection of TNF and TNF Receptor mRNA in Cells and Tissues
We describe a semiquantitative reverse transcriptase polymerase chain reaction (RT-PCR) technique for the quantification of the messenger RNA of human and murine tumor necrosis factor α (TNFα) and related receptors. This protocol can be adapted
Polymorphisms in the promoter of the tumor necrosis factor alpha (TNFα) gene have been reported to affect the transcription rate and the release of this cytokine. Among the best studied, the −238 and −308 polymorphisms have been associated
技术资料暂无技术资料 索取技术资料






![SARA Conjugated Antibody[C57070]](https://img1.dxycdn.com/p/s14/2025/0922/632/2321321568067599691.jpg!wh200)
![RB(Phospho-Ser811) antibody[12173]](https://img1.dxycdn.com/p/s14/2025/0922/359/6146153295428599691.jpg!wh200)
![CST3 Conjugated Antibody[C36752]](https://img1.dxycdn.com/p/s14/2025/0923/278/4431488150116040791.jpg!wh200)

