相关产品推荐更多 >
万千商家帮你免费找货
0 人在求购买到急需产品
- 详细信息
- 文献和实验
- 技术资料
- 免疫原:
Recombinant N-terminal fragment of human TNF-
- 亚型:
IgM
- 形态:
Liquid
- 保存条件:
Store as concentrated solution. Centrifuge briefly prior to opening vial. For short-term storage (1-2 weeks), store at 4ºC. For long-term storage, aliquot and store at -20ºC or below. Avoid multiple freeze-thaw cycles.
- 克隆性:
Monoclonal
- 标记物:
Unconjugated
- 适应物种:
Human, Mouse, Rat, Zebrafish, Rabbit, Cat, Dog
- 保质期:
12 months from the shipping date of the product.
- 抗原来源:
Human
- 目录编号:
GTX35134
- 级别:
Primary Antibodies
- 库存:
Available
- 供应商:
GeneTex
- 宿主:
Mouse
- 应用范围:
ICC/IF, IHC-P
- 浓度:
0.2 mg/ml (Please refer to the vial label for the specific concentration.)
- 靶点:
TNF alpha
- 抗体英文名:
TNF alpha antibody [TNF706]
- 抗体名:
TNF alpha 抗体 [TNF706]
- 规格:
100 μg
ICC/IF analysis of HepG2 cells using GTX35134 TNF alpha antibody [TNF706].
Green : Primary antibody
Red : nucleus
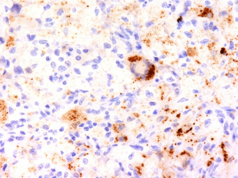
IHC-P analysis of human erdheim-chester disease (also known as polyostotic sclerosing histiocytosis) tissue using GTX35134 TNF alpha antibody [TNF706].
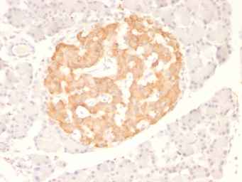
IHC-P analysis of rat pancreas tissue using GTX35134 TNF alpha antibody [TNF706].
风险提示:丁香通仅作为第三方平台,为商家信息发布提供平台空间。用户咨询产品时请注意保护个人信息及财产安全,合理判断,谨慎选购商品,商家和用户对交易行为负责。对于医疗器械类产品,请先查证核实企业经营资质和医疗器械产品注册证情况。
文献和实验Chu J et al., Evid Based Complement Alternat Med 2020 (PMID:32695212)
Detection of TNF and TNF Receptor mRNA in Cells and Tissues
We describe a semiquantitative reverse transcriptase polymerase chain reaction (RT-PCR) technique for the quantification of the messenger RNA of human and murine tumor necrosis factor α (TNFα) and related receptors. This protocol can be adapted
【求助】有什么办法可以阻滞LPS刺激的TNF-alpha分泌?
sonny_zan 我实验的关键步骤,现在就是不知道有什么办法可以阻滞LPS刺激后PBMC分泌TNF-alpha,考虑过用p38 MAPK抑制剂SB203580,后来查到一篇文献说SB203580对LPS刺激后p38 MAPK的活性影响甚微或无。 请各位大侠给点意见啦!我快急死了~~~ xiongran 拿抗体把PBMC表面的TLR4封闭掉试试看! pureclear 可以考虑
Polymorphisms in the promoter of the tumor necrosis factor alpha (TNFα) gene have been reported to affect the transcription rate and the release of this cytokine. Among the best studied, the −238 and −308 polymorphisms have been associated
技术资料暂无技术资料 索取技术资料











