相关产品推荐更多 >
万千商家帮你免费找货
0 人在求购买到急需产品
- 详细信息
- 文献和实验
- 技术资料
- 免疫原:
A synthesized peptide derived from human TLR4
- 形态:
liquid
- 保存条件:
Store at -20˚C
- 克隆性:
Polyclonal
- 适应物种:
Human;Mouse;Rat
- 保质期:
12 months
- 抗原来源:
Rabbit
- 供应商:
南京赛戈巍生物科技有限公司
- 宿主:
Rabbit
- 应用范围:
WB IHC
- 靶点:
Uniprot:O00206
- 抗体英文名:
TLR4 Antibody
- 规格:
50ul/100ul
配方:Rabbit IgG in phosphate buffered saline , pH 7.4, 150mM NaCl, 0.02% sodium azide and 50% glycerol.
应用详情:
Western blotting: 1:500-1:2000
Immunofluorescence: 1:50-1:200
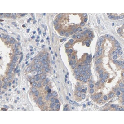
图片:

Western blot analysis of TLR4 expression in Hela whole cell lysates,The lane on the left is treated with the antigen-specific peptide.
,

Immunohistochemical analysis of paraffin-embedded human prostate tissue using TLR4 Antibody
风险提示:丁香通仅作为第三方平台,为商家信息发布提供平台空间。用户咨询产品时请注意保护个人信息及财产安全,合理判断,谨慎选购商品,商家和用户对交易行为负责。对于医疗器械类产品,请先查证核实企业经营资质和医疗器械产品注册证情况。
文献和实验因为journal club要讲文章 顺便儿拿来和大家讨论下 Hmgb1调节TLR4介导的angiogenesis 最近才开始关注这个蛋白。这篇文章已经在线发表在atvb上,由中山医眼科中心完成的工作。 Hmgb1不仅可以作为一种nuclear factor, 而且还可以作为cytokine来介导感染引起的炎症,免疫损伤。Hmgb1已经在sepsis, arthritis, 肿瘤和其他多种疾病中明确了其作用。Hmgb1可以结合tlr2/4,并且通过MyD88依赖性信号通路促进
Generation of Antibody Molecules Through Antibody Engineering
been overcome to a large extent using genetic-engineering techniques to produce chimeric mouse/human and completely human antibodies. Such an approach is particularly suitable because of the domain structure of the antibody molecule ( 2 ), where functional
人 Toll 样受体 4(TLR4) 酶联免疫分析 试剂盒使用说明书 本试剂仅供研究使用 目的:本试剂盒用于测定人血清,细胞上清及相关液体样本中 Toll 样受体4(TLR4) 的含量。 实验原理: 本试剂盒应用双抗体夹心法测定标本中 人 Toll 样受体4(TLR4) 水平。用纯化的人 Toll 样受体4(TLR4) 抗体包被微孔板,制成固相抗体,往包被单抗的微孔中依次加入 Toll 样受体4(TLR4
技术资料暂无技术资料 索取技术资料





![CHST15 Polyclonal Antibody[31652]](https://img1.dxycdn.com/p/s14/2025/0923/305/2150219664296040791.jpg!wh200)

![Phospho-PPAR Gamma (ser273) Polyclonal Antibody Biotin Conjugated[C92260Bio]](https://img1.dxycdn.com/p/s14/2025/0922/498/0460884283108299691.jpg!wh200)
![TNFSF13 antibody[38224]](https://img1.dxycdn.com/p/s14/2025/0922/359/6146153295428599691.jpg!wh200)

