相关产品推荐更多 >
万千商家帮你免费找货
0 人在求购买到急需产品
- 详细信息
- 文献和实验
- 技术资料
- 免疫原:
Synthetic Peptide
- 形态:
liquid
- 保存条件:
Store at -20˚C
- 克隆性:
Monoclonal
- 适应物种:
Human;Mouse;Rat
- 保质期:
12 months
- 抗原来源:
Mouse
- 供应商:
南京赛戈巍生物科技有限公司
- 宿主:
Mouse
- 应用范围:
WB IHC
- 靶点:
Uniprot:SwissProt: P0CG47 Human SwissProt: P0CG48 Human SwissProt: P62979 Human SwissProt: P62987 Human SwissProt: P62988 Human
- 抗体英文名:
Ubiquitin Mouse Monoclonal Antibody(5F1)
- 规格:
50ul/100ul
配方:Liquid in PBS containing 50% glycerol, 0.5% BSA and 0.02% sodium azide.
应用详情:Western blotting: 1:1000-1:2000
Immunohistochemistry: 1:100-1:200
图片:

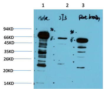
Western blot analysis of 1) Hela Cell Lysate, 2) 3T3 Cell Lysate, 3) Rat Brain Tissue Lysate using Ubiquitin Mouse mAb diluted at 1:1000.
,

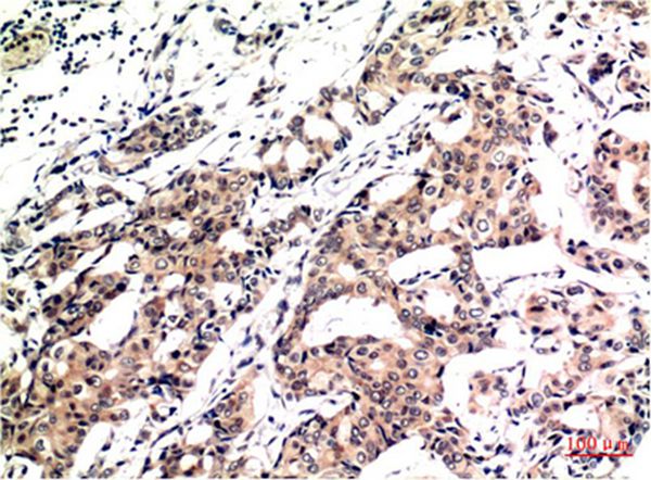
Immunohistochemical analysis of paraffin-embedded Human Breast Carcinoma Tissue using Ubiquitin Mouse mAb diluted at 1:200.
,

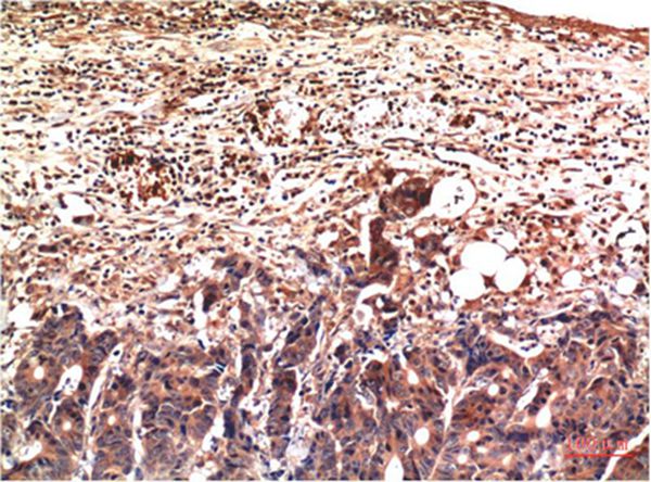
Immunohistochemical analysis of paraffin-embedded Human Stomach Carcinoma Tissue using Ubiquitin Mouse mAb diluted at 1:200.
风险提示:丁香通仅作为第三方平台,为商家信息发布提供平台空间。用户咨询产品时请注意保护个人信息及财产安全,合理判断,谨慎选购商品,商家和用户对交易行为负责。对于医疗器械类产品,请先查证核实企业经营资质和医疗器械产品注册证情况。
文献和实验Rapid Isotyping of Mouse Monoclonal Antibodies
, isotyping is useful to control lot to lot consistency, detect contamination by another antibody, and identify hybridoma switch variants (see Notes 2 –8 for further comment on applications). Table 1 Isotype-Dependent Properties of Monoclonal
Isolation of Human Monoclonal Antibodies Using Guided Selection with Mouse Monoclonal Antibodies
Repertoires of antibody (Ab) V genes derived from nonimmunized human donors (1 ) or made synthetically (2 3 ) have been cloned for display on filamentous bacteriophage as either scFvs or Fabs fused to the minor phage coat protein (pIII
Studies of the Ubiquitin Proteasome System
and Purification of Anti‐Ubiquitin Antibodies Support Protocol 3: Preparation of Ubiquitin Affinity Column Generation of Reagent‐Grade Ubiquitin Activating Enzyme (E1) Basic Protocol 20: Preparation of Wheat E1 in E. coli Basic Protocol 21: Preparation of Mouse E1
技术资料暂无技术资料 索取技术资料





![PHACTR4 Antibody[39597]](https://img1.dxycdn.com/p/s14/2025/0922/359/6146153295428599691.jpg!wh200)
![CCR1 Antibody[46429]](https://img1.dxycdn.com/p/s14/2025/0923/496/0462304380155040791.jpg!wh200)
![BOC Polyclonal Conjugated Antibody[C42679]](https://img1.dxycdn.com/p/s14/2025/0923/278/4431488150116040791.jpg!wh200)
