相关产品推荐更多 >
万千商家帮你免费找货
0 人在求购买到急需产品
- 详细信息
- 文献和实验
- 技术资料
- 免疫原:
Recombinant protein encompassing a sequence within the center region of human Casein Kinase 1 alpha 1L. The exact sequence is proprietary.
- 亚型:
IgG
- 形态:
Liquid
- 保存条件:
Store as concentrated solution. Centrifuge briefly prior to opening vial. For short-term storage (1-2 weeks), store at 4ºC. For long-term storage, aliquot and store at -20ºC or below. Avoid multiple freeze-thaw cycles.
- 克隆性:
Polyclonal
- 标记物:
Unconjugated
- 适应物种:
Human, Rat, Zebrafish
- 保质期:
12 months from the shipping date of the product.
- 抗原来源:
Human
- 目录编号:
GTX105584
- 级别:
Primary Antibodies
- 库存:
Available
- 供应商:
GeneTex
- 宿主:
Rabbit
- 应用范围:
WB, ICC/IF, IHC-P, IHC-Wm
- 浓度:
0.53 mg/ml (Please refer to the vial label for the specific concentration.)
- 靶点:
Casein Kinase 1 alpha 1L
- 抗体英文名:
Casein Kinase 1 alpha 1L antibody
- 抗体名:
Casein Kinase 1 alpha 1L 抗体
- 规格:
100 μl/25 μl
| 规格: | 100 μl | 产品价格: | ¥4000.0 |
|---|---|---|---|
| 规格: | 25 μl | 产品价格: | ¥1700.0 |
Immunofluorescent image of a cross-section of a zebrafish embryo using Casein Kinase 1 alpha 1L antibody (GTX105584) at a 1:200 dilution. Casein Kinase 1 alpha 1L is localized in neurons in the spinal cord. Casein Kinase 1 alpha 1L (Green)(This image was provided courtesy of the Schilling Lab at UC, Irvine.)
Sample (30 ug of whole cell lysate)
A: A549
10% SDS PAGE
GTX105584 diluted at 1:500
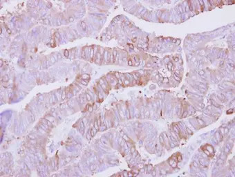
Immunohistochemical analysis of paraffin-embedded human colon carcinoma, using Casein Kinase 1 alpha 1L(GTX105584) antibody at 1:500 dilution.
Antigen Retrieval: Trilogy™ (EDTA based, pH 8.0) buffer, 15min
Casein Kinase 1 alpha 1L antibody detects CSNK1A1L protein by Western blot analysis.
A. 50 μg rat thymus lysate/extract
10 % SDS-PAGE
Casein Kinase 1 alpha 1L antibody (GTX105584) dilution: 1:500
Casein Kinase 1 alpha 1L antibody detects CSNK1A1L protein at cytoplasm by immunofluorescent analysis.
Sample: HeLa cells were fixed in ice-cold MeOH for 5 min.
Green: CSNK1A1L protein stained by Casein Kinase 1 alpha 1L antibody (GTX105584) diluted at 1:500.
Blue: Hoechst 33342 staining.
风险提示:丁香通仅作为第三方平台,为商家信息发布提供平台空间。用户咨询产品时请注意保护个人信息及财产安全,合理判断,谨慎选购商品,商家和用户对交易行为负责。对于医疗器械类产品,请先查证核实企业经营资质和医疗器械产品注册证情况。
文献和实验Using Phospho‐Motif Antibodies to Determine Kinase Substrates
comprising both the phosphorylated residue and the surrounding residues that determine kinase specificity, with degenerate residues taking up the remaining positions. Currently, several categories of phospho?motif antibody are commercially available
-Glycine transfer buffer (e.g. Novex) 100% methanol Blocking solution containing casein (e.g., Pierce) Wash Solution I (for 1L: 1g Ovalbumin (Sigma), 1g Dry milk, 1 ml Tween-20 (Bio-Rad), 100 ml 10X PBS, 900 ml distilled water
-6 Casein Kinase I epsilon and delta (CKI-epsilon and CKI-delta) (17) 520-538 AACUGGGGAAGAAGGGCAACC HEK
技术资料暂无技术资料 索取技术资料





![SLUG antibody [2H5]](https://img1.dxycdn.com/2022/0328/548/7037100041857500453-14.jpg!wh200)




