相关产品推荐更多 >
万千商家帮你免费找货
0 人在求购买到急需产品
- 详细信息
- 文献和实验
- 技术资料
- 免疫原:
KLH-conjugated synthetic peptide encompassing a sequence within the C-term region of RagA/B. The exact sequence is proprietary.
- 亚型:
IgG
- 形态:
Liquid
- 保存条件:
Store as concentrated solution. Centrifuge briefly prior to opening vial. For short-term storage (1-2 weeks), store at 4ºC. For long-term storage, aliquot and store at -20ºC or below. Avoid multiple freeze-thaw cycles.
- 克隆性:
Polyclonal
- 标记物:
Unconjugated
- 适应物种:
Human, Mouse, Rat
- 保质期:
12 months from the shipping date of the product.
- 抗原来源:
Human
- 目录编号:
GTX55848
- 级别:
Primary Antibodies
- 库存:
Available
- 供应商:
GeneTex
- 宿主:
Rabbit
- 应用范围:
WB, IHC-P
- 浓度:
Batch dependent (Please refer to the vial label for the specific concentration.)
- 靶点:
RagA/B
- 抗体英文名:
RagA/B antibody
- 抗体名:
RagA/B 抗体
- 规格:
100 μl
WB analysis of mouse lung (A), rat testis (B) whole cell lysates using GTX55848 RagA/B antibody.
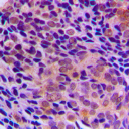
IHC-P analysis of formalin fixed human prostate cancer tissue section using GTX55848 RagA/B antibody.
Antigen retrieval : Heat mediated antigen retrieval with sodium citrate buffer (pH 6.0)
风险提示:丁香通仅作为第三方平台,为商家信息发布提供平台空间。用户咨询产品时请注意保护个人信息及财产安全,合理判断,谨慎选购商品,商家和用户对交易行为负责。对于医疗器械类产品,请先查证核实企业经营资质和医疗器械产品注册证情况。
文献和实验Detection of Hepatitis B Virus X Antigen by Immunohistochemistry and Western Blotting
The genome of hepatitis B virus (HBV) is a partially double-stranded DNA molecule within virus particles that is approx 3.2 kbp long (1 ,2 ). It has four open reading frames, all on one strand, that encode the surface antigen or envelope
Abrogation of p53-Induced Apoptosis by the Hepatitis B Virus X Gene
Hepatocellular carcinoma (HCC) is one of the most prevalent malignant diseases worldwide and has become a leading cause for cancer-related deaths in adults from Asia and sub-Saharan Africa (1 ). The DNA tumor virus hepatitis B virus (HBV
8.0) in clean 16x125mm polypropylene test tube. If needed, adjust pH to 8.0 using 0.5M carbonate buffer. 2. Prepare fresh, 1mg/mL of either NHS-FITC in DMSO or 1mg/mL NHS-LC-Biotin in DH2O. If FITC coupling, add 75uL of FITC/DMSO solution to Antibody
技术资料暂无技术资料 索取技术资料











