相关产品推荐更多 >
万千商家帮你免费找货
0 人在求购买到急需产品
- 详细信息
- 文献和实验
- 技术资料
- 免疫原:
Recombinant fusion protein containing a sequence corresponding to amino acids 76-285 of human TNFSF13B (NP_006564.1).
- 亚型:
IgG
- 形态:
Liquid
- 保存条件:
Store as concentrated solution. Centrifuge briefly prior to opening vial. For short-term storage (1-2 weeks), store at 4ºC. For long-term storage, aliquot and store at -20ºC or below. Avoid multiple freeze-thaw cycles.
- 克隆性:
Polyclonal
- 标记物:
Unconjugated
- 适应物种:
Human, Mouse
- 保质期:
12 months from the shipping date of the product.
- 抗原来源:
Human
- 目录编号:
GTX33032
- 级别:
Primary Antibodies
- 库存:
Available
- 供应商:
GeneTex
- 宿主:
Rabbit
- 应用范围:
WB, IHC-P
- 浓度:
Batch dependent (Please refer to the vial label for the specific concentration.)
- 靶点:
BAFF
- 抗体英文名:
BAFF antibody
- 抗体名:
BAFF 抗体
- 规格:
100 μl
WB analysis of various sample lysates using GTX33032 BAFF antibody. The signal was developed with ECL plus-Enhanced.
Dilution : 1:1000
Loading : 25μg per lane
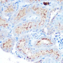
IHC-P analysis of mouse kidney tissue using GTX33032 BAFF antibody.
Dilution : 1:100
风险提示:丁香通仅作为第三方平台,为商家信息发布提供平台空间。用户咨询产品时请注意保护个人信息及财产安全,合理判断,谨慎选购商品,商家和用户对交易行为负责。对于医疗器械类产品,请先查证核实企业经营资质和医疗器械产品注册证情况。
文献和实验人B细胞活化因子(BAFF) 酶联免疫 分析( ELISA ) 试剂 盒使用说明书 本试剂仅供研究使用 目的:本试剂盒用于测定人血清,血浆及相关液体样本中 B细胞活化因子(BAFF)的 含量。 实验原理 : 本试剂盒应用双抗体夹心法测定 标本 中 人 B细胞活化因子(BAFF) 水平。用纯化的 人 B细胞活化因子(BAFF) 抗体包被微孔板,制成固相抗体,往包被单抗的微孔中依次加入 B细胞活化因子(BAFF) ,再与HRP
Generation of Antibody Molecules Through Antibody Engineering
been overcome to a large extent using genetic-engineering techniques to produce chimeric mouse/human and completely human antibodies. Such an approach is particularly suitable because of the domain structure of the antibody molecule ( 2 ), where functional
上海西唐生物科技有限公司 021-55229872, 65333639 www.westang.com 人B 淋巴细胞刺激因子 (BAFF)ELISA 试剂盒 ( 用于血清、血浆、细胞培养上清液和其它生物体液内 ) 原理 本实验采用双抗体夹心 ABC-ELISA 法。用抗人 BAFF( BAFF/BLyS/TNFSF13B ) 单抗包被于酶标板上,标准品和样品中的 BAFF
技术资料暂无技术资料 索取技术资料











