相关产品推荐更多 >
万千商家帮你免费找货
0 人在求购买到急需产品
- 详细信息
- 文献和实验
- 技术资料
- 免疫原:
Recombinant protein encompassing a sequence within the center region of human TSG101. The exact sequence is proprietary.
- 亚型:
IgG
- 形态:
Liquid
- 保存条件:
Store as concentrated solution. Centrifuge briefly prior to opening vial. For short-term storage (1-2 weeks), store at 4ºC. For long-term storage, aliquot and store at -20ºC or below. Avoid multiple freeze-thaw cycles.
- 克隆性:
Polyclonal
- 标记物:
Unconjugated
- 适应物种:
Human, Mouse
- 保质期:
12 months from the shipping date of the product.
- 抗原来源:
Human
- 目录编号:
GTX118736
- 级别:
Primary Antibodies
- 库存:
Available
- 供应商:
GeneTex
- 宿主:
Rabbit
- 应用范围:
WB, IHC-P, IP, ELISA, Sandwich ELISA
- 浓度:
1.09 mg/ml (Please refer to the vial label for the specific concentration.)
- 靶点:
TSG101
- 抗体英文名:
TSG101 antibody
- 抗体名:
TSG101 抗体
- 规格:
100 μl/25 μl
| 规格: | 100 μl | 产品价格: | ¥4000.0 |
|---|---|---|---|
| 规格: | 25 μl | 产品价格: | ¥1700.0 |
Non-transfected (–) and transfected (+) 293T whole cell extracts (30 μg) were separated by 10% SDS-PAGE, and the membrane was blotted with TSG101 antibody (GTX118736) diluted at 1:500. The HRP-conjugated anti-rabbit IgG antibody (GTX213110-01) was used to detect the primary antibody.
Various whole cell extracts (30 μg) were separated by 10% SDS-PAGE, and the membrane was blotted with TSG101 antibody (GTX118736) diluted at 1:1000. The HRP-conjugated anti-rabbit IgG antibody (GTX213110-01) was used to detect the primary antibody.
Immunoprecipitation of TSG101 protein from A549 whole cell extracts using 5 μg of TSG101 antibody (GTX118736).
Western blot analysis was performed using TSG101 antibody (GTX118736) diluted at 1:500.
EasyBlot anti-Rabbit IgG (GTX221666-01) was used as a secondary reagent.
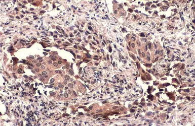
TSG101 antibody detects TSG101 protein at cytoplasm by immunohistochemical analysis.
Sample: Paraffin-embedded human lung cancer.
TSG101 stained by TSG101 antibody (GTX118736) diluted at 1:500.
Antigen Retrieval: Citrate buffer, pH 6.0, 15 min
TSG101 antibody detects TSG101 protein by Western blot analysis.
A. 30 μg U87-MG whole cell lysate/extract
B. 30 μg SK-N-SH whole cell lysate/extract
C. 30 μg IMR32 whole cell lysate/extract
D. 30 μg SK-N-AS whole cell lysate/extract
10 % SDS-PAGE
TSG101 antibody (GTX118736) dilution: 1:500
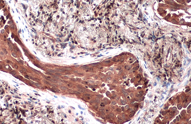
TSG101 antibody detects TSG101 protein at cytoplasm by immunohistochemical analysis.
Sample: Paraffin-embedded human lung cancer.
TSG101 stained by TSG101 antibody (GTX118736) diluted at 1:500.
Antigen Retrieval: Citrate buffer, pH 6.0, 15 min
Various extracts (30 μg) were separated by 10% SDS-PAGE, and the membrane was blotted with TSG101 antibody (GTX118736) diluted at 1:1000. The HRP-conjugated anti-rabbit IgG antibody (GTX213110-01) was used to detect the primary antibody.
ELISA detection of TSG101 using GTX118736 for capture at a concentration of 5 μg/mL and GTX70255 for detection at a concentration of 1.5 μg/mL.
Various whole cell extracts (30 μg) were separated by 10% SDS-PAGE, and the membrane was blotted with TSG101 antibody (GTX118736) diluted at 1:1000. The HRP-conjugated anti-rabbit IgG antibody (GTX213110-01) was used to detect the primary antibody.
风险提示:丁香通仅作为第三方平台,为商家信息发布提供平台空间。用户咨询产品时请注意保护个人信息及财产安全,合理判断,谨慎选购商品,商家和用户对交易行为负责。对于医疗器械类产品,请先查证核实企业经营资质和医疗器械产品注册证情况。
文献和实验Lee HY et al., Oncotarget 2018 (PMID:29568350)
Park J et al., ACS Photonics 2017 (Epub)
Lin MC et al., J Vis Exp 2017 (PMID:28605392)
Urata S et al., J Virol 2015 (PMID:26719243)
Taylor HE et al., J Virol 2014 (PMID:24173214)
Edgar JR et al., Traffic 2014 (PMID:24279430)
Scotti E et al., Mol Cell Biol 2013 (PMID:23382078)
Pasqual G et al., PLoS Pathog 2011 (PMID:21931550)
Chen-Chih Chung et al., Ther Adv Neurol Disord 2020 (PMID:33335563)
Lim K et al., J Extracell Vesicles 2021 (PMID:34874124)
Clerici SP et al., Front Cell Dev Biol 2021 (PMID:34336845)
Chung CC et al., Diagnostics (Basel) 2020 (PMID:32932791)
Park J et al., ACS Photonics 2018 (PMID:29805987)
Jean-Toussaint R et al., J Proteomics 2020 (PMID:31669360)
Song HY et al., Cells 2019 (PMID:30965672)
Chua HH et al., Int J Mol Sci 2019 (PMID:30759747)
Asada K et al., Sci Rep 2018 (PMID:29867148)
Generation of Antibody Molecules Through Antibody Engineering
been overcome to a large extent using genetic-engineering techniques to produce chimeric mouse/human and completely human antibodies. Such an approach is particularly suitable because of the domain structure of the antibody molecule ( 2 ), where functional
The importance of antibody molecules was first recognized in the 1890s, when it was shown that immunity to tetanus and diphtheria was caused by antibodies against the bacterial exotoxins (1 ). Around the same time, it was shown that antisera
General comments: Antibodies, like most proteins, do not like to be freeze-thawed. Avoid repetitive freezing of your solution. The best way to store your antibody is to keep a high protein concentration (>1 mg/ml), add some protease
技术资料暂无技术资料 索取技术资料








![MUC1 antibody [MSVA-672R] HistoMAX](https://custom.dxycdn.com/trademd/upload/pic/2013/11/12/A1383891150.jpg!small.t.1)


