相关产品推荐更多 >
万千商家帮你免费找货
0 人在求购买到急需产品
- 详细信息
- 询价记录
- 文献和实验
- 技术资料
- 库存:
100万
- 供应商:
匹拓生物
- 肿瘤类型:
是
- 细胞类型:
适用于科研
- ATCC Number:
ATCC-HTB-38
- 品系:
详询
- 组织来源:
结肠
- 相关疾病:
结直肠腺癌疾病44岁女白种人
- 物种来源:
人
- 免疫类型:
详询
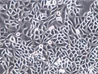
- 细胞形态:
上皮样
- 是否是肿瘤细胞:
是
- 器官来源:
人
- 运输方式:
快递
- 年限:
不限
- 生长状态:
贴壁
- 英文名:
HT29


该细胞是1964年由FoghJ用移植培养方法和含15%FBS的F12培养液从原发性肿瘤分离的。近来,已建株的培养细胞用含血清的McCoy's5a培养基培养。该细胞系在裸鼠中成瘤,也能在类固醇处理的地鼠中成瘤。该细胞可合成IgA、CEA、TGFβ结合蛋白和黏液素;表达尿激酶受体,但没有检测到血浆酶原活性;不表达CD4,但细胞表面表达半乳糖神经酰胺(HIV的可能替代受体)。该细胞系癌基因c-myc、K-ras、H-ras、N-ras、Myb、sis、fos阳性;p53基因过表达,并且在273位密码子处发。
风险提示:丁香通仅作为第三方平台,为商家信息发布提供平台空间。用户咨询产品时请注意保护个人信息及财产安全,合理判断,谨慎选购商品,商家和用户对交易行为负责。对于医疗器械类产品,请先查证核实企业经营资质和医疗器械产品注册证情况。
- 作者
- 内容
- 询问日期
文献和实验该产品被引用文献
*发表【中文论文】请标注:由上海匹拓生物科技有限公司提供;
*发表【英文论文】请标注:From Shanghai Pituo Biotechnology Co., Ltd.
文献支持
HT29细胞、人结肠癌细胞;HT-29、HT-29
¥1350










