相关产品推荐更多 >
万千商家帮你免费找货
0 人在求购买到急需产品
- 详细信息
- 文献和实验
- 技术资料
- 免疫原:
Peptide with sequence EEEDSTALVC, from the N Terminus of the protein sequence according to NP_001604.1; NP_001135417.1.
- 亚型:
IgG
- 形态:
Liquid
- 保存条件:
Store as concentrated solution. Centrifuge briefly prior to opening vial. For short-term storage (1-2 weeks), store at 4ºC. For long-term storage, aliquot and store at -20ºC or below. Avoid multiple freeze-thaw cycles.
- 克隆性:
Polyclonal
- 标记物:
Unconjugated
- 适应物种:
Human, Mouse, Rat
- 保质期:
12 months from the shipping date of the product.
- 抗原来源:
Human
- 目录编号:
GTX89701
- 级别:
Primary Antibodies
- 库存:
Available
- 供应商:
GeneTex
- 宿主:
Goat
- 应用范围:
WB, ICC/IF, IHC-P, IHC-Fr
- 浓度:
0.50 mg/ml (Please refer to the vial label for the specific concentration.)
- 靶点:
alpha Smooth Muscle Actin
- 抗体英文名:
alpha Smooth Muscle Actin antibody, N-term
- 抗体名:
alpha Smooth Muscle Actin 抗体, N-term
- 规格:
100 μg
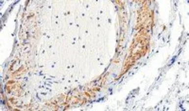
IHC-P analysis of human lung using GTX89701 alpha Smooth Muscle Actin antibody, N-term.
Antigen retrieval : citrate buffer pH 6
Dilution : 3.5μg/ml
WB analysis of HeLa (A) and NIH3T3 (B) cell lysate (35μg protein in RIPA buffer) using GTX89701 alpha Smooth Muscle Actin antibody, N-term.
Dilution : 0.3μg/ml (HeLa) and 1μg/ml (NIH3T3)
WB analysis of human (A) and mouse (B) heart lysate (35μg protein in RIPA buffer) using GTX89701 alpha Smooth Muscle Actin antibody, N-term.
Dilution : 0.1μg/ml (human heart) and 0.3μg/ml (mouse heart)
ICC/IF analysis of PFA fixed HepG2 cells using GTX89701 alpha Smooth Muscle Actin antibody, N-term.
Green : Primary antibody
Blue : DAPI
Negative control : Unimmunized goat IgG
Permeabilization : 0.15% Triton
Dilution : 10μg/ml
WB analysis of human (A) and rat (B) duodenum lysate using GTX89701 alpha Smooth Muscle Actin antibody, N-term.
Dilution : 0.1-0.5μg/ml
Loading : 35μg protein in RIPA buffer
风险提示:丁香通仅作为第三方平台,为商家信息发布提供平台空间。用户咨询产品时请注意保护个人信息及财产安全,合理判断,谨慎选购商品,商家和用户对交易行为负责。对于医疗器械类产品,请先查证核实企业经营资质和医疗器械产品注册证情况。
文献和实验Wang Z et al., Dis Markers 2019 (PMID:31929842)
Zhang P et al., Biochem Biophys Res Commun 2017 (PMID:29198704)
Herrnberger L et al., PLoS One 2014 (PMID:25541982)
Minutoli L et al., J Biomed Sci 2014 (PMID:24606563)
Wu Z et al., EMBO Rep 2023 (PMID:36802267)
Labeling Muscle Actin with N-(1-pyrene)iodoacetamide
Day 0 and 1 Materials 1.0.5 mM ATP,0.2 mM CaCl2,2 mM Tris-HCl,pH 8.0 at 4℃,250 ml for day 0. 2.0.5 mM ATP,2 mM MgCl2,100 mM boric acid,pH 8.3 at 4℃,10 ml. 3.N-(1-pyrene)iodoacetamide (Molecular probes P-29,m.w.385) 4.50Ti tubes,small vial
by reaction with alkaline phosphatase-conjugated goat anti-mouse secondary antibody. Choose the actin pool broadly, however, consider also checking the column fractions by dot blot with mAB 3F2 to identify capping protein. Pool the actin fractions
Isolation and Culture of Human Airway Smooth Muscle Cells
doublings and express smooth muscle cell-specific markers such as myosin heavy chain, myosin light chain kinase, α-actin, caldesmon, and SM22α . In addition, the synthetic function of these cells appears to be comparable to those studied in vivo
技术资料暂无技术资料 索取技术资料











