相关产品推荐更多 >
万千商家帮你免费找货
0 人在求购买到急需产品
- 详细信息
- 文献和实验
- 技术资料
- 免疫原:
Peptide with sequence CGFGFRRQGEDNT, from the C Terminus of the protein sequence according to NP_597673.1.
- 亚型:
IgG
- 形态:
Liquid
- 保存条件:
Store as concentrated solution. Centrifuge briefly prior to opening vial. For short-term storage (1-2 weeks), store at 4ºC. For long-term storage, aliquot and store at -20ºC or below. Avoid multiple freeze-thaw cycles.
- 克隆性:
Polyclonal
- 标记物:
Unconjugated
- 适应物种:
Human
- 保质期:
12 months from the shipping date of the product.
- 抗原来源:
Human
- 目录编号:
GTX89612
- 级别:
Primary Antibodies
- 库存:
Available
- 供应商:
GeneTex
- 宿主:
Goat
- 应用范围:
IHC-P
- 浓度:
0.50 mg/ml (Please refer to the vial label for the specific concentration.)
- 靶点:
This antibody is expected to recognise isoform d (NP_597673.1) only.
- 抗体英文名:
XAGE1 (Isoform 1d) / GAGED2 antibody, C-term
- 抗体名:
XAGE1 (Isoform 1d) / GAGED2 抗体, C-term
- 规格:
100 μg
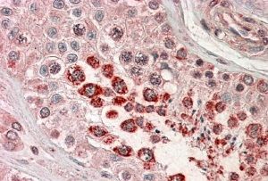
IHC-P analysis of human testis using GTX89612 XAGE1 (Isoform 1d) / GAGED2 antibody, C-term.
Antigen retrieval : citrate buffer pH 6
Dilution : 3.8μg/ml
风险提示:丁香通仅作为第三方平台,为商家信息发布提供平台空间。用户咨询产品时请注意保护个人信息及财产安全,合理判断,谨慎选购商品,商家和用户对交易行为负责。对于医疗器械类产品,请先查证核实企业经营资质和医疗器械产品注册证情况。
文献和实验总蛋白(包括质膜和细胞器膜蛋白),但费时费力。目前,有一种最新型有效的膜蛋白提取工具,并具有高纯度、高特异性、高载量温和提取的优点。是基于1980年科学家在牛眼视网膜中发现的一种命名为Rho1D4的氨基酸序列以及其对应的抗体来作为亲和标签纯化膜蛋白取得了非常好的效果,将Rho1D4抗体链接在琼脂糖或磁珠上,用于亲和层析带有Rho1D4标签的膜蛋白,能近乎完美的解决这些研究难题。1) 什么是Rho1D4?Rho1D4是指在牛眼视网膜细胞内的牛视紫红质C端的最后九位氨基酸。Rho1D4得名于与该序列
secondary antibody review -- data from 99 publications
cytometry used as a control to detect cell responses targeted antigen 7 Alexa Fluor 488 7 Cy3 8 goat IgG Alexa Fluor 488 1:2000 detect antibody binding in human embryonic kidney 293T cells Invitrogen 9 donkey
Antibody AP8435a DUSP4 N-term Antibody AP8456b PPM1D C-term Antibody AP8414a PTPgamma Center Antibody AP8436b DUSP5 C-term Antibody AP8456a PPM1D N-term Antibody AP8426a PTPH1 Center Antibody AP8436a DUSP5 N-term Antibody AP8457b PPM
技术资料暂无技术资料 索取技术资料









![Pyruvate dehydrogenase kinase 1 / PDK1 antibody [N1C3]](https://img1.dxycdn.com/2022/0328/676/4701686027216200453-14.jpg!wh200)

