相关产品推荐更多 >
万千商家帮你免费找货
0 人在求购买到急需产品
- 详细信息
- 文献和实验
- 技术资料
- 免疫原:
The antiserum was produced against synthesized peptide derived from human Aggrecan (320-369).
- 亚型:
IgG
- 形态:
Liquid
- 保存条件:
Store as concentrated solution. Centrifuge briefly prior to opening vial. For short-term storage (1-2 weeks), store at 4ºC. For long-term storage, aliquot and store at -20ºC or below. Avoid multiple freeze-thaw cycles.
- 克隆性:
Polyclonal
- 标记物:
Unconjugated
- 适应物种:
Human
- 保质期:
12 months from the shipping date of the product.
- 抗原来源:
Human
- 目录编号:
GTX86902
- 级别:
Primary Antibodies
- 库存:
Available
- 供应商:
GeneTex
- 宿主:
Rabbit
- 应用范围:
WB, IHC-P
- 浓度:
Batch dependent (Please refer to the vial label for the specific concentration.)
- 靶点:
Aggrecan (cleaved Asp369) antibody detects endogenous levels of fragment of activated Aggrecan resulting from cleavage adjacent to Asp369.
- 抗体英文名:
Aggrecan (cleaved Asp369) antibody
- 抗体名:
Aggrecan (cleaved Asp369) 抗体
- 规格:
100 μg
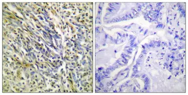
IHC-P analysis of human lung carcinoma tissue using GTX86902 Aggrecan (cleaved Asp369) antibody. The picture on the right is blocked with the synthesized peptide.
WB analysis of Jurkat cells treated with Etoposide 25uM (60mins) lysate using GTX86902 Aggrecan (cleaved Asp369) antibody. The lane on the right is blocked with the synthesized peptide.
风险提示:丁香通仅作为第三方平台,为商家信息发布提供平台空间。用户咨询产品时请注意保护个人信息及财产安全,合理判断,谨慎选购商品,商家和用户对交易行为负责。对于医疗器械类产品,请先查证核实企业经营资质和医疗器械产品注册证情况。
文献和实验Neoepitope Antibodies Against MMP-Cleaved and Aggrecanase-Cleaved Aggrecan
Neoepitope antibodies recognize the newly created N or C terminus of protein degradation products but fail to recognize the same sequence of amino acids present in intact or undigested protein. Aggrecan neoepitope antibodies have been pivotal
Antibodies to MMP-Cleaved Aggrecan
internally as part of the intact protein. This approach has been extremely successful for detecting MMP-derived fragments of aggrecan (the large cartilage proteoglycan) (1 –5 ) and collagen (6 ), since aggrecan and collagen are abundant in cartilage matrix
Proteoglycan Aggrecan-Induced Arthritis: A Murine Autoimmune Model of Rheumatoid Arthritis
. The chapter presents (a) methodological details on how to purify cartilage proteoglycan aggrecan by cesium chloride gradient centrifugation; (b) substitution of this highly purified antigenic/arthritogenic material with a crude cartilage extract obtained
技术资料暂无技术资料 索取技术资料









![Blood Group Lewis a antibody [7LE]](https://img1.dxycdn.com/2022/0328/057/1998910620849300453-14.jpg!wh200)

