相关产品推荐更多 >
万千商家帮你免费找货
0 人在求购买到急需产品
- 详细信息
- 文献和实验
- 技术资料
- 免疫原:
Full length human recombinant protein of human ID3 (NP_002158) produced in HEK293T cell.
- 亚型:
IgG1
- 形态:
Liquid
- 保存条件:
Store as concentrated solution. Centrifuge briefly prior to opening vial. For short-term storage (1-2 weeks), store at 4ºC. For long-term storage, aliquot and store at -20ºC or below. Avoid multiple freeze-thaw cycles.
- 克隆性:
Monoclonal
- 标记物:
Unconjugated
- 适应物种:
Human, Dog
- 保质期:
12 months from the shipping date of the product.
- 抗原来源:
Human
- 目录编号:
GTX84325
- 级别:
Primary Antibodies
- 库存:
Available
- 供应商:
GeneTex
- 宿主:
Mouse
- 应用范围:
WB, IHC-P, FACS
- 浓度:
0.61 mg/ml (Please refer to the vial label for the specific concentration.)
- 靶点:
ID3
- 抗体英文名:
ID3 antibody [10D3]
- 抗体名:
ID3 抗体 [10D3]
- 规格:
100 μl
WB analysis of various cell lines using GTX84325 ID3 antibody [10D3].
Loading : 10 ug per lane
Dilution : 1:200
FACS analysis of HeLa cells using GTX84325 ID3 antibody [10D3].
Red : Primary antibody
Blue : Negative control antibody
FACS analysis of Jurkat cells using GTX84325 ID3 antibody [10D3].
Red : Primary antibody
Blue : Negative control antibody
WB analysis of HEK293T cells transfected with ID3 plasmid (Right) or empty vector (Left) for 48 hrs using GTX84325 ID3 antibody [10D3].
Loading : 5 ug per lane
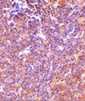
IHC-P analysis of human liver tissue using GTX84325 ID3 antibody [10D3].
Antigen retrieval : Heat-induced epitope retrieval by 10mM citrate buffer, pH6.0, 100ºC for 10min.
风险提示:丁香通仅作为第三方平台,为商家信息发布提供平台空间。用户咨询产品时请注意保护个人信息及财产安全,合理判断,谨慎选购商品,商家和用户对交易行为负责。对于医疗器械类产品,请先查证核实企业经营资质和医疗器械产品注册证情况。
文献和实验上海西唐生物科技有限公司 021-55229872, 65333639 www.westang.com 人分化抑制因子 ( ID3 )ELISA 试剂盒 ( 用于血清、血浆、细胞培养上清液和其它生物体液内 ) 原理 本实验采用双抗体夹心 ABC-ELISA 法。用抗人 ID3 单抗包被于酶标板上,标准品和样品中的 ID3与单抗结合,加入生物素化的抗人 ID3 ,形成
【进展|热点】分享参加6th International Symposium on CD1 and NKT Cells后的感想
, USA (Short Talk) Role of Id3 in Thymic NKT Cell Maturation J. Christoph Vahl, Max Plank Institute Martinsried, Germany (Short Talk) Probing Valpha1 4i-inherent autoreactivity by a peripheral TCR switch Sebastian Joyce, Vanderbilt University
[资源] 所有的看家基因(housekeeping genes)列表+引物设计服务
, 1; barrier to autointegration factor (BCRP1), mRNA 1303 NM_000214 Homo sapiens jagged 1 (Alagille syndrome) (JAG1), mRNA 536 NM_002167 Homo sapiens inhibitor of DNA binding 3, dominant negative helix-loop-helix protein (ID3), mRNA 1192 NM_001664 Homo
技术资料暂无技术资料 索取技术资料










